несъемник. расширенная версия.
в прошлый четверг состоялся очередной (второй) контрольный визит после снятия. на этот раз мне наконец уделили время и обнаружили, что на НЧ задние зубы начали разбегаться. я-то это давно заметила, но на первом контрольном приеме орт по этому поводу ничего не сказала, поэтому я решила, что так оно и должно быть. тем более образующиеся щели никому кроме меня не видны, а чистить их - одно удовольствие. но, видимо, это не очень здорово, потому что орт решила мне пару зубов на НЧ "шинировать". в итоге дополнительные несъемники были прилеплены на 4-5 зубы с обеих сторон. все счастье обошлось в 600 руб., при том что целый несъемник стоит у нас 4000 руб. с ортом распрощались до сентября. если верить ее обещаниям, данным в день снятия, в сентябре я должна распрощаться с пластинкой и обзавестись несъемником на ВЧ.
а пока я приступила к залечиванию своих клиновидных дефектов. удовольствие оказалось не из дешевых, накопления тают на глазах. в это воскресенье с болью в сердце и жабой на шее отдала почти 7 000 рублей за 3 залеченных зуба. осталось починить еще 7-8. проделываю на ремне новую дырочку, это лето опять работаю на зубы.
Комментарии
Зато нет угрозы располнеть
Sky_girl, клиновидный лечат абсолютно так же, как обычный кариес. никакой разницы я не заметила, за исключением того, что после того, как отпускает наркоз, может болеть десна. по стоимости тарифицируется как неглубокий кариес.
OLCH, ага. и нет угрозы съездить в отпуск, нет угрозы накупить кучу шмоточек, нет угрозы загулять-затусить ))) на самом деле прибедняюсь, конечно, отпуск уже оплачен, да и на остальное деньги найдутся. но масштаб затрат на лечение заставляет меня грустить.
грустить с ровными зубами после снятия чревато побоями от людей все еще носящих/таскающих БС
honey +1
ну знаете, бывают ситуации когда живые завидуют мертвым ))) это патетично выражаясь. а вообще я живой пример того, что с брекетами затягивать не надо. потому что если все вовремя, то снимаешь бс и радуешься ровным зубам. а если на старости лет - то снимаешь, а потом еще столько же исправляешь последствия многолетней кривизны зубов.
и вообще я сегодня из соседней ветки узнала, что живу в аду с пластинкой, так что не бейте меня.
А я клиновидный дефект свой не трогаю. Это все-таки некариозная патология. У меня он не растет, поэтому решила не трогать как можно дольше. После покупки ирригатора зубы перестали быть слишком чувствительными. Раньше я даже прикоснуться к клиновидному не могла, а сейчас вообще о нем не вспоминаю.
значит тут "не бейте меня я с пластинкой", а там "пластинка это совсем не страшно"? так что видели видели, читали читали, и вообще не че нам тут
honey +1
Ого, посмотрела фотки клиновидного дефекта зубов... оказывается страшная штука. Интересно, от чего она появляется...
Nelsi, появляется в большинстве случаев из-за перенагрузки на зуб. У меня он как раз на клыке, которые неровно стоит.
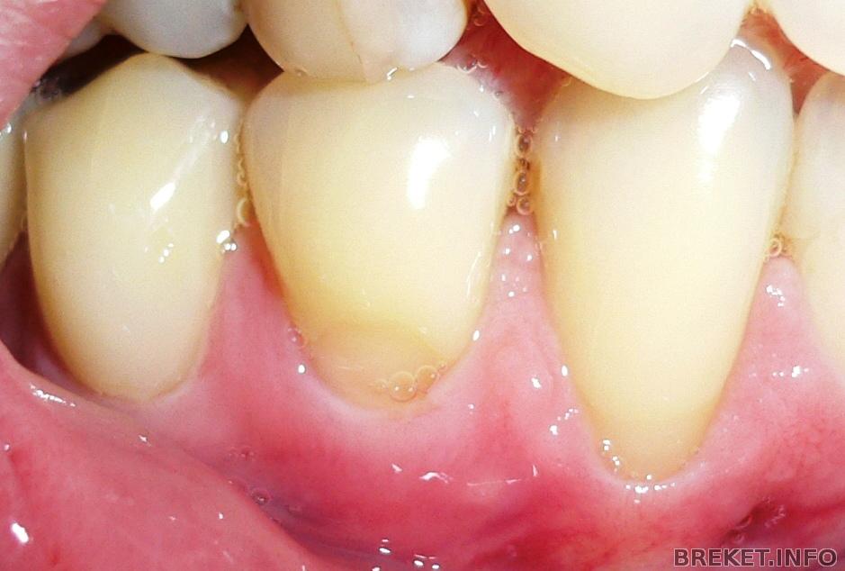
Девушки,объясните...клиновидный дефект и рецессия - это одно и то же?
У меня рецессии, а на одном зубе такая сильная,что ямка образовалась между коронковой частью и шейкой....это и есть этот дефект? Или нет?(
evangelina, ага =)
рецессия это убыль десны, клиновидный дефект это нарушение эмали грубо говоря... может это обычная ступенька от коронковой части зуба к шейке? клиновидный дефект вообще тяжело с чем-то другим спутать))
Ляпота, я их тоже трогать не хотела. их штук 10 у меня - зачем их трогать? кстати, меня они после установки бс вообще перестали беспокоить, чувствительность сошла на нет, так что острой необходимости их залечивать не было.но терапевт уболтала, что санация челюстей, в том числе лечение клиновидных дефектов, необходимо для здоровья остальных зубов. я хотела коронку на мертвый зуб ставить, но она сказала, что сначала лучше залечить дефекты, потому что слепок лучше снимать с новой формой зубов, ну и т.д., и т.п. в общем, врачей я всегда слушаюсь, попадаю под их влияние, ну и запустила этот процесс борьбы с дефектами, практически против своей воли. теперь уже назад дороги нет, надо доделывать.
evangelina, по описанию, похоже, оно и есть. у меня тоже именно ямки и именно в этой части зубов.
друзья, я к вам за советом. до недавнего времени была у меня мысль сэкономить на зуболечении за счет всевозможных акций и купонов. походив по клиникам, поняла, что никакой экономии не получается, потому что каждый новый врач пишет свою формулу, находит свой новый кариес, и в итоге лечение может стать бесконечным. в итоге приняла волевое решение вернуться в свою клинику, где ставила бс и имплант, и там уже лечиться до конца, согласно их формуле и по полному ценнику. план лечения составили, клиновидные мои пересчитали, на число визитов примерно поделили.
но жаба-то душит. натыкаюсь сегодня на очередной купон, за 780 руб. лечение на 6 000 руб. клиника рядом с домом. вот сижу соблазняюсь. понятно, что на эти 6000 мне вылечат максимум пару дефектов, возможно, еще и приплатить придется, но экономия в любом случае на лицо. в моей клинике два дефекта обойдутся минимум в 3-4 тысячи. с другой стороны уже приняла решение не метаться. я в раздумьях. что посоветуете?
если парочку дефектов из оставшихся вылечить на стороне, это вообще этично и все такое?
Sonya, я вообще считаю, что по купонам только чистку делать можно... Хотя многие и БС ставят... не знаешь на что наткнешься =)
Skoll,да я вот тоже понять не могу,что это....
Sonya,а у тебя на фото не видно их?
evangelina, не, не видно, губами закрыты. могу попробовать сфоткать свой самый глубокий дефект, пока не залечила. а когда касаетесь своих рецессий - чувствуется? если да - то скорее всего дефект, он очень чувствительный. может реагировать на холодное, сладкое т.п.
рецессия тоже чувствительная. Но в ней не застревает зубочистка, в отличие от дефекта. У меня на фото есть и рецессия и клиновидный дефект.
Sonya,если не сложно)) хоть сравнить,что и как))
чувствуется, да! холодное,сладкое и прочее((
Skoll, у тебя рецессия внизу,у меня такие же...а вот эта фигня на ВЧ на четверке, сравнить невозможно...То ли зуб сильно вышел наружу,то ли вот такая фигня...но запломбировать явно можно...(
У меня один клиновидный дефект и одна рецессия. Фото рецессии есть у меня в альбомах. А клиновидный дефект выглядит примерно также, как и фотографии, которые показывает гугл))) И то, и другое было раньше чувствительным, но все-таки клиновидный дефект более чувствительный и у него явно видна пораженная область. При рецессии, как правило, эмаль остается целой, а при клиновидном травмируется.
Sonya, не советую по купонам лечить зубы. И вообще по купонам можно МАКСИМУМ чистку делать. По купонам можно смело фотографироваться, идти в музей и покупать носки, но никак не лечить зубы. Хотя фотографироваться тоже лучше не стоит, работала я на купоны прошлым летом. Ух...
вчера попыталась пофоткать свой зуб с дефектом, прониклась великим уважением ко всем, кто тут выкладывает фотографии своих зубов. справилась только с посторонней помощью, но фотки все равно не ахти. вечером скину. я так поняла, что дефект проще всего определить не внешне, а на ощупь. маленькая впадинка на эмали даже пальцем нащупывается.
что касается лечения по купону. то я практиковала это дважды, одну из поставленных таким образом пломб при последнем осмотре мой терапевт как-то даже особо выделил, сказал, что очень хорошая. не знаю, в чем это выражается, но к той клинике, где я ее ставила, прониклась дополнительным доверием.
а если не касаться качества (акции ведь могут проводиться и в проверенных местах), то на практике экономия получается минимальной. у клиник хитрые схемы, за счет которых выгода не превышает 1-2 тысяч рублей, что при общей сумме лечения тысяч в 20 вообще не стоит метаний. в общем, остаюсь у своих.
Sonya, вот у меня примерно такой же клиновидный дефект. А рядышком - это тоже клиновидный? Больше похоже на рецессию.
Ляпота, рядышком, справа, да. у меня все остальные выглядят именно так, едва заметные. но все доктора в один голос говорят, что именно дефекты, а не рецессия. да и я нащупываю легкий провал. а вот на 44 дефект бесспорный и выдающийся.
Sonya, мне тоже раньше говорили, что это все клиновидный дефект, но когда к пародонтологу грамотному попала, он объяснил что к чему. Я раньше думала, что это одно и то же у меня)))
Sonya,спасибо!
Теперь вижу разницу! Все-таки кажется,что справа-рецессия,а вот слева-клиновидный...Значит,у меня клиновидный на клыке внизу,а на остальных куча рецессий((
Просто у меня прямо точно,как у тебя справа,врачи сказали-рецессия...
А тот зубик красиво заделали!)
ладно, я попробую поставить под сомнение диагноз клыку. как раз в воскресенье иду лечить его и свой хрестоматийный клиновидный, так что фото прощальное. по клыку ногтем поводила - не нащупала скола эмали. а вот на верхних, похоже, дефекты без вариантов. ноготь абсолютно четко соскакивает со ступеньки и проваливается в углубление.
кстати, а рецессия как лечится?
"кстати, а рецессия как лечится?"
При рецессии зуб не травмирован, он здоров, но есть убыль десны около его шейки. Это не лечится, можно разве что эстетику восстановить, если это видно (пересаживание нового лоскута с неба). Но очень часто рецессия возникает из-за сильной нагрузки на костную ткань и десну и вот эту нагрузку нужно исключить. Делается это операбельным путем. Рецессия не закроется, но прогрессировать не будет. У меня как раз эта операция была, но у меня рецессия закрываться будет со временем, потому что мне еще пришивали лоскут искусственной матрицы.


Дааа, лечение зубов удовольствие не из дешевых. Я когда собиралась только устанавливать БС, была морально готова к тому что придётся потратить часть скопленных денег на лечение. Думала , где-то кариес залечат, да камень почистят, но не угадала. Мне ещё несколько операций на деснах сделали, на которые ушло почти 30тыс.рублей :smile48:На ВЧ у меня ещё оставались средства, поэтому сейчас я озадачена поиском средств на установку БС на НЧ.
ещё у меня вопросик, каким образом вам лечат клиновидный дефект, т.к у меня он тоже имеется???