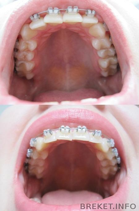
Брекеты- это бывает и красиво! Фотосессия моих зубок:)
Вот и прошло 1,5 месяца моего лечения. Пока на первой дуге сидим, мечтаю о дуге посильнее! Выкладываю фото ДО и сейчас
Комментарии
Спасибо!
Да, это керамика Clarity SL, но зачем мне эти пазы железные поставили до сих пор не пойму..все эстетику портят:( С брекетами плюс есть большой- зубы стали белоснежные от постоянного ухода и применения ирригатора
Marines - правильно, зубки стали белее и ухоженнее!!!
Какая красота у Вас)
У вас и до брекетов было все довольно симпатичненько) А после снятия будет идеально просто!
И с брекетами очень красиво
Металлические пазы для улучшения скольжения дуги, и снижения трения, то есть для улучьшения скорости процесса.
Clarity-одна из лучших керамик в мире) слова моего орта. У меня стоят Clarity, только лигатурные) обожаю их
Супер. Просто супер.








красиво смотрится. это керамические с металлическим пазом? такие же хочу)) если бы у меня были такие зубы, я не стала бы ставить брекеты)