Перемены к лучшему
После 4х лет бесполезного ношения пластинки на верхней челюсти я всё-таки решила поменять ортодонта. На нижней челюсти всё было не так долго - я носила брекеты 1,5 года и всё стало идеально ровно. С нч брекеты мне уже сняли. Основная проблема у меня с верхней челюстью.
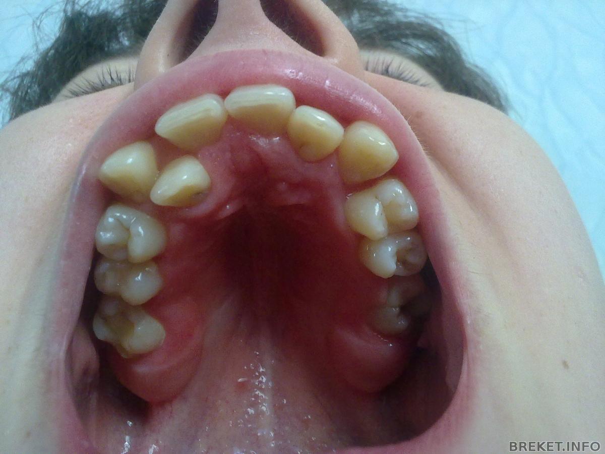
вот так было до лечения пластинками.
Александр Михайлович (мой прежний врач) обещал мне поставить брекеты на вч ещё год назад. Всё говорил, что это последняя пластинка... И ставил новые. Сейчас я ношу наверное уже седьмую пластинку за всё лечение. Страшно подумать, ведь я уже четвертый год хожу к нему.
Вот так сейчас:
Недавно я встретила одну свою знакомую, которая раньше тоже лечилась у моего прежнего ортодонта. Так эта девочка после двух лет ушла от него к другому врачу. И теперь ей скоро уже снимут брекеты. Зубы у неё такие ровные... Идеальные просто. И тогда я окончательно решила записаться на прием к другому врачу. Мне стало так жалко того времени, которое я потеряла, нося пластинки.
Я ходила в две клиники. Одна находится в Муроме. (туда ходит моя одноклассница бывшая). А вторая клиника находится у нас, в Выксе. Туда врач приезжает из нижнего новгорода всего 2 раза в месяц. И эта клиника по-дороже, чем в муроме.
Меня сразу направили на полный снимок обоих челюстей. По нему мне в муроме сказали, что пластинки мне носить уже бесполезно
что мне надо ставить брекеты. И не обычные железные, а Даймоны, потому что они дают хорошее расширение челюстей. И ещё стоматолог сказала, что мне зря сняли брекеты с нижней челюсти, и скорее всего, придется ставить снова. После этих слов я так разозлилась на своего прежнего ортодонта... Ведь он снял мне брекеты с низу раньше времени...
Потом я ходила на прием в выксунскую клинику к приезжиму доктору. Он мне сказал, что надо удалять ещё один зуб. И это при том условии, что у меня уже удалены по 2 зуба на обеих челюстях. А ещё он сказал, что если какой-то врач мне пообещал сделать без удаления, то лучше мне идти к нему.
Так я решила, что буду ставить брекеты в муроме. Мне 5 мая там сделали слепки и фотографии, и составили план лечения.
Надеюсь, скоро стану обладательницей идеальной улыбки.
Комментарии
Я 2 месяца ходила с пластинкой,очень надоела она мне,а тут 4 года
Если есть возможность выложи в альбом фото пластинок, дочке (9 лет) летом тоже пойдём пластинку заказывать,у неё с левой стороны на ВЧ вместо клыка 4-ка вылезла,вот попытаемся пластинкой место освободить для него,может без БС обойдёмся.
вот для меня понятно даже что здесь пластинка не поможет, как же врач то не понял этого?? или он так деньги вытягивает...
Стало чуточку лучше, но это как капля в море. Уже бы давно все исправили. Жесть, конечно... Ставить брекеты на одну челюсть, не сделав вторую - это вообще нонсенс.
Жесть, конечно, ваш бывший ортодонт
эх... жаль конечно 4-х лет... давно бы уже с ровными зубами была...
Кстати, привет почти землякам )))
Однозначно врач дибил!!!! Как это так вверху с такой скученностью, с таким видимым смещением центра и нехваткой места для двоек ставить пластинку и после 1-го года продолжать ту же хрень??? в 18-то лет!!! я понимаю тебе б 12 было!!! это просто голову этому орту оторвать надо!!!! Реально! Это прям уму не постижимо! И главное на низ поставил зачем-то, а верх он думал что заговорами исправиться?
и еще у меня вопрос. какие тебе зубы удалили? по первому фото и по фото нижней челюсти у тебя всего 24 зуба. в норме 32, обычно удаляют восьмерки (зубы мудрости) и четверки(следующие после клыка), но тебе на ВЧ четверки не удаляли вроде (судя по фото). Или тебе их удалили на много раньше? А восьмерки у тебя видимо не выросли еще. Так? Или не так?
напиши в каком возрасте тебе удалили четверки? или если не четверки то какие зубы были удалены и когда? В каком состоянии у тебя восьмерки? Это надо по снимку посмотреть. Зародидись ли они у тебя вообще?
Однозначно тебе будут ставить БС на обе челюсти. Не переживай о том, что твой бывший хм... (даже врачем его не хочется называть) снял тебе брекеты с НЧ, так как новый врач полюбасу бы тебе все переклеил на свой манер, так как у каждого врача свое видение (поверь у меня в этом есть опыт, тк мне пришлось сменить врача из-за переезда). Да и судя по фото, нижняя челюсть выровняна не идеально. Клыки не ровно стоят. А еще ведь и прикус правильно свести надо, так что иди к проверенному подругой врачу! И удачного лечения тебе! И терпения на пути к красивой улыбке! Пиши и выставляй фото!
У орта забрать все что оплачивалось. И сообщить в сообветствующий орган о недостаточной квалификации(если такой конечно есть). Ладно, когда мне лет 12-15 было - то пластинки были единственным доступным средством - бреки ставили только за границей или в дорогущих клиниках. В оставшихся от советского союза в наследие больничках врачи просто еще не знали других средств. Но в наш-то новый век быть таким динозавром, как этот орт - недопустимо. После 12-13, когда вросли коренные зубы,пластинки мало чем помогут. Требуйте обратно деньги.
Но главное - не сдавайтесь - вас ждет великолепная улыбка! Удачи в лечении
Я вот еще не понимаю логики врача. Сначала пластинка, а потом он все-равно собирался брекеты поставить. Где смысл? Не понимаю...
Про расширение челюстей: брекеты НЕ расширяют челюсть, они могут только расширить зубной ряд))) это разные вещи)
mashathunder первый раз я пришла к ортодонту в 17 лет
Linka а Вы откуда?
Tatushka мне удалили две "шестерки" сверху. Они были кариозные и две здоровые "четверки" снизу. Это было сразу перед пластинкой и брекетами, 4 года назад. В 17 лет. Восьмерки еще не выросли (только одна показалась). Расположены хорошо, удалять не будут.
Ляпота пластинкой мой прежний ортодонт и пытался расширить челюсть верхнюю, потому что она была Уже нижней. А потом хотел поставить брекеты и выровнять зубы. Пластинка сделала свое дело - верхняя челюсть расширилась, но брекеты почему-то он всё откладывал.
Завтра установка! Даже не верится...
Ой как вспомню эти пластинки, а не верится, что я могла когда-то посчитать,что они реально могут что-то исправить
Юльчелос, а мне что-то, но исправила.. не, ну конечно я бросила ее носить и в итоге кривули конечно. но когда удалили 4-ки, пластинка хорошо опустила мне клыки
А мне вот совершенно ничего не исправила...
видимо ей сложно вытолкнуть 2-ки или еще что-то сделать.. Но вот опускает зубы она хорошо
Ок)поверю на слово))))






блин. 4 года пластинок.. убиться.
я бы давно ноги от такого врача сделала.
во сколько лет вы начали их носить?