Всем привет!
давненько не писала, решила отметится)
сегодня уже в который раз посетила орта) поменяли дугу на ВЧ, на НЧ только на следующий прием) спросила у орта, что же делает новая дуга, закрепляющая ли она. орт ответила, что да, уже почти, следующая дуга будет квадратная(?!) ![]()
также ношу тяги. но что меня больше всего радует, что к новому году уже снимут) но мне и сейчас нравится)
я заметила, что в самом начале лечения я была готова только исправлять положение зубов на ВЧ, но со временем хочется все лучшего и лучшего результата) чем дальше в лес, тем больше дров)
я так и не научилась делать коллажи, но вот:
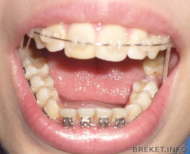
НЧ 1 день:
и НЧ сейчас 2мес 9дней:
немного покопавшись по закромам компьютера нашла фотки с зубами до брекетов:
и сейчас ВЧ спустя 7 месяцев ношения:
увидела в ленте запись, Кто знает как вертят зубы вокруг оси? :DDD Polyaa можно присмотреться и заметить, что у меня тоже одна единичка повернута. но это видно только на фото. в жизни все почти идеально)
запись получилась какая то сумбурная, писать я не умею)
и вопрос не по теме абсолютно: люди, те кто носят контактные линзы, какими увлажняющими каплями для глаз вы пользуетесь? стала ощущать дискомфорт к вечеру от ношения линз. ношу уже год, такое впервые. помогите кто сможет)
Комментарии
я капала Blink Contacts от Amo..
Viccu, +1! я тоже этими каплями пользуюсь. ВЧ уже очень красивая!
ВЧ - заглядение! Так держать, не давайте зубам спуску до самого нового года!
Про контактные линзы: я тоже ношу их, прозрачные, уже года три. От сухости и дискомфорта, как ни удивительно, очень хорошо помогает "Натуральная слеза", а раствор у меня самый обычный, Renu. У моей сестры (там стаж ношения линз побольше) тоже возникла проблема с увлажнением, но она нашла выход - одноразовые линзы! И действительно, они на протяжении 14-16 часов остаются увлажнёнными, глаза значительно меньше устают.
спасибо большое) за советы) я тоже подумывала купить Натуральную слезу)










Да, на ВЧ изменения очень заметны, все красивенько так
Если и правда перед новым годом снимут, будет подарок в виде шикарной улыбки. Скорейшего снятия!!1
На вопрос не по теме: Ношу контактные линзы уже лет 9 . Первые три года тоже никакого дискомфорта, брала линзы, которые носятся пол года, носила полный срок, если только не порвутся, могла с утра в инстик их одевать потом вечером в клуб в них же шла, часов до 5 утра и к 8 утра снова в инстик одевала. Сейчас пара часов и в глазах как будто песка насыпали,(линзы тоже приходится часто менять) без капель никак, особенно в помещении, на улице могу долго в них находиться. Я пробовала разные капли, разницы между ними не заметила, хотя растворы не все люблю. Слышала, что надо брать раствор и капли одного производителя, или покупать разные и сравнивать ощущения. Ну или со свои офтальмологом посоветоваться))))