Вопрос про десну...
Ребятки, здравствуйте))) Меня беспокоит один момент касающийся десны на ВЧ. Дело в том, что перед установкой БС, ортофея отправила меня к парадонтологу, подлечить воспалённые дёсны, и залечить образовавшиеся зубодесневые карманы. Лечение, скажу вам оказалось не самым приятным и простым. Врач делала мне лоскутные разрезы с внешней и внутренней стороны десны, как бы отгибала десну, тем самым ,оголяя, корень зуба полностью, затем что-то спиливала, откалывала, проводила различные манипуляции. Я в общем то с трудом представляю что она там делала, помню только окровавленные хирургические перчатки и брызги моей крови на её белоснежном халате.
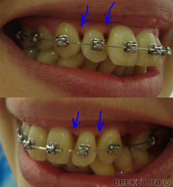
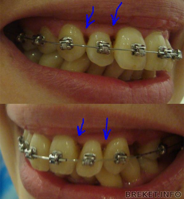
Потом специальными нитками она зашивала мне десну, снимала швы через 10 дней. После этих операций у меня теперь отсутствуют десневые сосочки,что мне не очень то нравится, вот как это выглядит:
У кого такое было скажите, сосочки восстановятся или так всё и останется??? Просто смотрится как будто кариес между зубов
Комментарии
а у парадонтолога может можно узнать? желательно того же, окровавленного))
вообще, у меня нет проблем с деснами, тьфу-тьфу-тьфу, но мои выровненные теперь уже 2ки тоже немного образуют треугольнички возле десны. это, скорей всего, ИМХО, связано с формой 2ек. убирается сепарацией и наращиванием. но это мое предположение)
Ирчи, да-да, что-то где-то было......Но я уже не помню где и у кого, вот и спросила у народа. Тоже надеюсь, что восстановятся, уже два месяца прошло , а изменений нет... ну буду ждать....
Skoll, я у неё спрашивала пару раз, она мне что -то не внятное отвечала, вот в этом месяце надо на осмотр к ней, пойду буду спрашивать настойчиво
LaFleur, согласна , тут ещё и форма зубов роль играет. У меня тоже есть мысли по поводу сепарации, это надо будет у ортофеи спросить, меня вообще все зубы в зоне улыбки не устраивают, форма в частности, в июле приём у ортофеи попробую у неё что-нибудь вытрясти по этому поводу.


Sky, ого творили с тобой, брызги крови.. ужастики
кажется на днях здесь читала, что восстанавливаются сосочки