ИРИСКИ - ЗЛО
ну всю жизнь думала, что ириски достают пломбы всем, кроме меня.
дождалась) переубедилась)
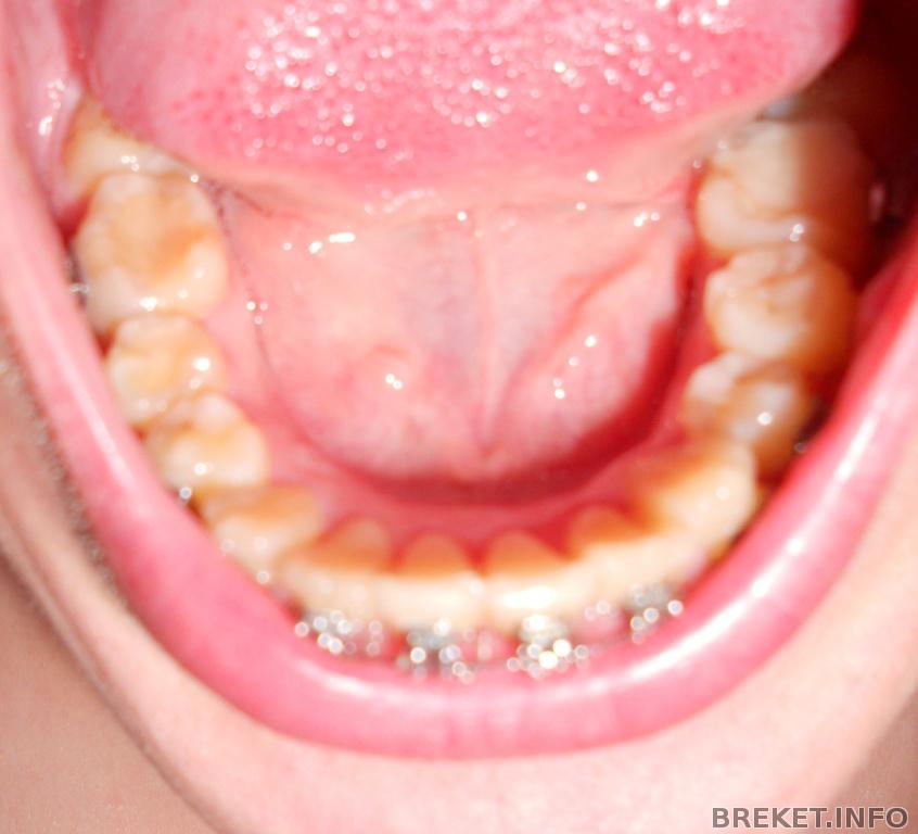
дважды нарощенный зуб отвалалися вчера. зуб получился полый) какой кошмар. я не знаю, как на нем еще держится брекет. послезавтра к орту, я не успею заново наростить. придется этот ужас врачу показывать.
Комментарии
я тоже так не верила, не верила, пока под новый год жевательный мармелад не вытащил мне пломбу)) и ровно через месяц он же вытащил и еще на одном зубе)))
На моем последнем приеме к орту пришел мальчик и сказал, что у него откололся кусочек зуба (7-ка или 6-ка) и что он его уже нарастил у стоматолога. Орт его поругал и сказал, чтобы в следующий раз он ничего не делал до приема в таких случаях. Говорит, что нужно сначала орту показать, а потом что-либо делать. Так что даже не знаю, как лучше.
cake_lime, это шестерка у меня. рот широко у меня не открывается, я об этом уже как-то писала. если получится что-то путное, где будет выидно, выложу обязательно)
Ляпота, сначала к орту иду, в любом случае. спасибо за совет.)
kolbasa300gr, теперь мармелада буду бояться тоже) так это неприятно. вобще кошмар.
ух как вас угораздило.



мне хочется фоточки) хочу увидеть как это)