9 месяцев
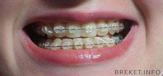
всем приветик!сегодня у меня небольшой праздник - 9 месяцев брекетам на ВЧ и остается тоже 9 месяцев (обещали мне полтора года ношения, надеюсь, что не больше). последние 2 месяца носила пружинки между единичками и двойками на ВЧ, они сделали свое дело и непослушная двойка развернулась. на последнем приеме пружинки сняли и выдала мне орт тяги...носить с тройки на Вч на тройку НЧ с другой стороны(на фото). вот переживаю, не поедут ли обратно мои двойки без пружинок, ведь теперь на них опять давят с других сторон зубы...и еще когда тяги на зубах, получается, что они давят на двойку и теоретически она может развернуться обратно..(по фото видно).как вы думаете, могут развернуться обратно???каждые 5 минут бегаю к зеркалу и проверяю
. и еще вопросик, когда сдвигают немного центр, у кого сколько времени это заняло?
P.S. на фото челюсти какие-то кривые, это обман зрения,криво сфоткалась
Комментарии
Mari_ya, спасибочки за ответ, немного успокоилась. только вот думаю не рано ли сняли пружинки, зубы не до конца развернулись((((или может они потом развернутся еще..
а Вы долго носили пружинки?
Где-то достаточно долго(4-5 мес), потому что нужно было освободить около 6-7 мм, чтоб зуб целый влез. А где-то буквально месяц. Они быстро достаточно работают, так что не переживайте) Сколько Вы их носили?
Зубы встанут ровно и без пружин, если там есть капелька места, чтоб им развернуться. А у Вас это место должно быть, Вы ж их относили)


Ну вообще после снятия пружин ничего не возвращается на место) Мной такого не было замечено)) По крайней мере я их носила штук 6-7 в разных местах, сейчас осталась только одна. Зубы стоят ровно, ничего не сдвигается)
Я думаю, орт знает, что делает.
Кстати, форма зубоы мне оч нравится!)