Кто куда! %-)
Не успела я порадоваться быстрому ходу выпрямления моих кривулин и расслабиться до 23.06 - установки БС на НЧ, - как это беспокойное хозяйство подбросило новых забот
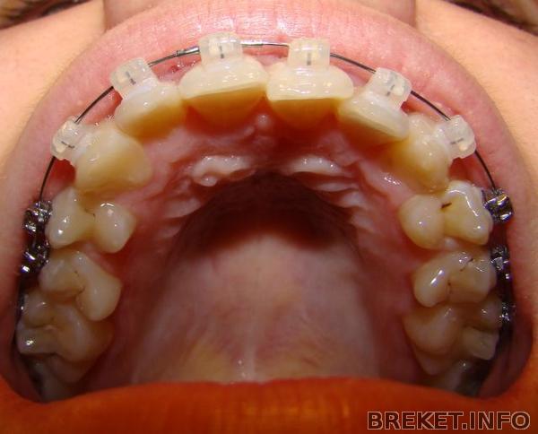
Как говорится, кто в лес, кто по дрова! Двоечки радуют - послушно встают на места. А вот единичка, которая изначально была чуть сзади, начала решительно проталкиваться вперёд, поравнялась со своей соседкой, но... на этом не остановилась, и теперь сама выдаётся вперёд из общего ряда!
И кто её просил так усердствовать?? Причём на достигнутом она не останавливается - вот разогналась-то! Ползёт дальше вперёд...
Очень хорошо понимаю, что зубы далеко не сразу встают в нужную позицию, но чего уж так радикально? Вразумить их надо, тщательной и безжалостной дополнительно чисткой всем арсеналом ёршиков ![]()
Ещё слева дуга начала колоть щёку, но терпимо, а если ватку подложить - и вовсе никаких проблем. Думаю, не стоит к ортофее из-за этого рваться. Но вот спросить бы про эту резвую единичку... Может, дугу менять пора, а? Она относительно распрямилась, да и больше месяца прошло... Хотя кому-то и через 3 месяца только меняют, знаю-знаю. ![]()
Комментарии
Makzomira, спасибо! Я тоже склоняюсь к тому, чтобы всё-таки забежать в клинику, поинтересоваться... И пусть тогда дугу с краю "откусят" сразу. Посмотрим, что за выходные с единицей будет, может, зря я придираюсь
если дуга колет, то лучше сразу сходить к орту. не перестанет)
JimmyRock, да дело не в дуге, она меня меньше всего беспокоит в этой ситуации. К тому же, щека уже привыкла. Так и в прошлый раз было, с дугой подолгу не церемонюсь)
А кто знает, что этой еденичке вздумалось... Захотелось и ей побыть немножко впереди, ведь всю жизнь была не на первом плане
Мне кажется, что все встанет на место, Вы ведь только недавно начали лечение ![]()
Я почему то недосчиталась семерок (вроде вдалеке в тени виднеются воьмерочки). Вам что то удаляли?
Nelsi, привет! ![]()
Да, единичка, видимо, не из робких попалась, впереди планеты всей вполне комфортно себя чувствует)) Но теперь мне кажется, что она понемногу выравниваться начала... или я просто привыкла к этому положению
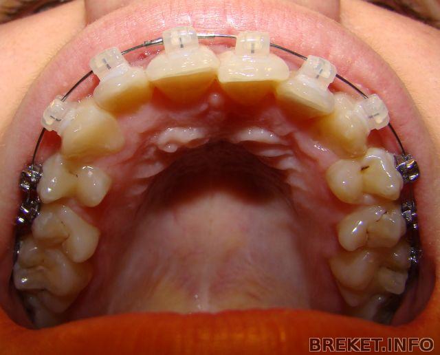
Стоило на неё пожаловаться - больше вперёд не лезет, вот какое действенное средство! ![]()
Нет, вдалеке виднеются именно семёрки, а восьмерки ещё не вылезли, хотя на снимках видно все 4. Расположены они вроде бы ровно, пока их не трогали... Лечимся без удаления



Хороший результат!У меня не было такой ситуации при наклеенном брекете, зуб полз только когда брекет отлетел,но!если он действительно быстро начал ползти вперед,это ненормально, значит что-то надо подправить в БС, поэтому лучше навестить доктора