Четвёртая неделя, а я радуюсь!!!
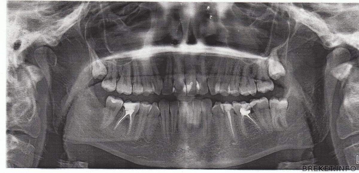
Вот она четвёртая неделя уже подходит к концу моего ношения железочек! Впечатления отличные. Только еда застряёт. Совсем никаких проблем! Чистятся легко. Ничего не трёт (перестало на второй день. быстро адаптировалась). Тройка уже тронулась окупировать свободное место от четвёрки) начну с маленькой предистории. Решилась на установку БС спустя 6 лет после первого ортодонтического лечения (пластинка на ВЧ и только. Помогла, но не очень, ибо скупченность порядочная, а места маловато, но в тот момент я не решилась на удаление и ношение еще одного года как минимум, железок и уже несъемных). А тут многие факторы подтянули меня к тому, что мне это необходимо! А началось всё с мысли : "Мне нужен Голливуд любым способом"... вернее в способах-то я вот как раз и ограничилась, думая, что протезист исправит без ортодонта, но я ошибалась. Из-за поворота передних зубов моя зубная фея развела руками, мол: Иди к ортодонту или смирись с этим! Выслушала я от неё три лекции по поводу моих безумных идей в стиле : "Выровнять ряд за счет протезирования без ортодонтического лечения". Короче, больше распиналась. Уже б давно ходила с ровненькими зубками, если бы столько не очковала. НО! Всё-таки доочковалась до верного решения, ибо этот год оказался весьма продуктивным (даже не знаю в хорошем или плохом смысле) для принятия этого решения. Лекции моей феи по поводу невозможности Голливуда без ортодонтии, здравого смысла , восьмерка на НЧ, разболевшая всю челюсть своим эффектным выходом (которую в итоге пришлось удалить из-за близкого положения к семерке. Была ретенированной и давила на корни так, что болело всё: голова, обе челюсти, глаза, уши. Стреляло так, что думала: ну всё! Первая мировая зубная началась) и под конец еще воспаленная десна с абсцессом между депульпированным шестым зубом и седьмым на той же стороне. К тому же за полгода до этого моя фея порадовала меня, что четверки на ВЧ поражены кариесом и опоясаны тёмными пятнами и спасти их уже нельзя. Мол, пока не болят - ходи, а потом удалишь. если че. Вобщем, представив себя без двух четверок со скупченностью во фронтальных зубах при этом, я пришла в ужас. Но опасаясь за восьмёрки , я не спешила к ортодонту. Ибо одну восьмерку удалила по вынужденным обстоятельствам, а вот вторую полуретинированную терять не хотелась. Сделала панораму и узрела, что на верхней тоже пошли восьмерки вширь на выход и боязнь моя стала еще сильнее.
