Лоханулась
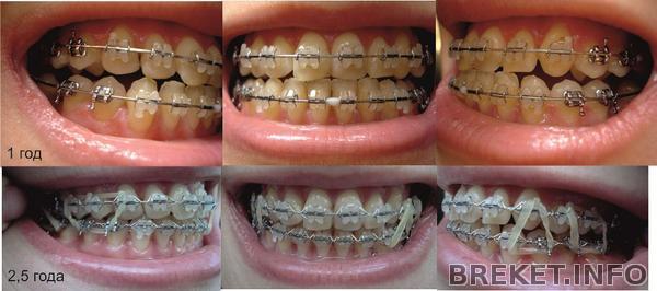
Проходила энное количество дней с отклеившимся от единицы брекетом и даже этого не заметила!!! как можно было не увидеть/не услышать/не почувствовать до сих пор не понимаю. Это было первое отклеивание за два с половиной года)) и надеюсь последнее, я уж постараюсь=)
Промежутки от всех удаленных шестерок закрылись полностью, итого на этот процесс был потрачен 1 год и 3 месяца. Теперь у меня начинается паранойя по поводу того, что семерки и восьмерки вернутся на свои места после снятия
Я тут недавно радовалась, что могу есть, зевать, кусать и т.д. с тягами. Теперь, с новыми, меньшими по диаметру, тягами, тоже могу, но эти гадкие резинки постоянно рвутся при попытках открыть рот пошире. Так что облом мне теперь. И диета. И кеторол на ужин
Всем удачи!)))
Комментарии
Центр и правда идеальный!
Когда плнируете снятие?
да сочувствую........мне скоро предстоит такие носить ..не представляю как я буду есть с ними ...или их надо перед едой снимать????))))) подскажи плиз......))))
Anetka, Ксен, со средней линией все-таки есть проблемы
У меня НЧ уезжает влево и одно время я училась держать ее правильно и смыкать зубы так, чтобы центры совпадали. В итоге научилась и могу закрыть рот и держать НЧ так, чтобы все было ровно, НО... только пока я об этом помню))) как только забываю про зубы, НЧ снова уезжает влево. Вот и не знаю, как мне сделать так, чтобы она все время была там, где надо.
Anetka, кстати, я заметила, что из-за вынужденной диеты, ем теперь в два раза больше, когда снимаю тяги и мне это ой как не нравится))
Ксен, надеюсь, что нашу третью с брекетами годовщину мне уже отмечать не придется, то есть я наивно верю в то, что избавлюсь от них до конца года) Но пока что зубы не смыкаются, прикус плохой, поэтому терпеливо ношу дальше
десислава, спасибо за сочувствие) перед едой и чисткой зубов их надо снимать) Это я обленилась, поэтому ела раньше в тягах, не снимая их, когда они были слабее. Теперь такой фокус не проходит - резиночки рвутся.


зато у тебя центр такой ровненький!
мои тяги тоже рвутся, когда рот открываю широко, ни поесть, ни зевнуть, ех (( а снимать все время таааааак лень! вот и приходится тоже на вынужденной диете сидеть)