пол года- результаты :-)
Всем привет!)
Когда заходишь сюда редко, время летит быстрее. Сейчас вспоминаю как первые 2 месяца каждый день тут "торчала"- хотелось чтобы время шло быстрее.Лучше когда на этом не зацикливаешься.
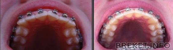
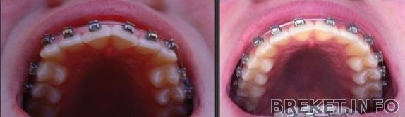
ВОт моей БС на ВЧ сегодня ровно пол года! Дата!!! )))) ![]()
2 месяца носила тяги на клыках, орт сказала что очень хороший результат, сейчас уже не ношу.
На следующем приеме, орт сказала, что поставит мне последнюю дугу( но потом может опять поставить другую что то там как то так... я немного не поняла, ну вобщем это не значит что скоро мне уже все снимать, НЕТ.) ![]()
Вот фото, на скорую руку:
А вот немного фото в повседневной жизни:
Комментарии
О Боже! Они идеальны!
Хорошо получается) но вопрос: мне кажется, или все же между НЧ и ВЧ есть щель?
Tochka,спасибо огромное!) Да улыбка стала шире, я теперь улыбаюсь постоянно,совсем не стесняюсь как раньше
)
Nady, да ладно, вовсе не идеальны, просто стали чуть ровнее ![]()
Mari_ya, спасибо)
Да челюсти с одной стороны хорошо смыкаются, а с другой вот что то не очень, я раньше кстати не замечала!спасибо вам, в следующий раз спрошу у орта, что делать, может тяги опять даст носить))
Отличный результат)))
Katrinn, очень приятно, спасибо
)
Так красиво! Отлично!
Такое бывает часто, когда зубки в ряд становятся) я думаю, орт всё идит и обязательно уберет это)
Машик,спасибо огромное!)
Mari_ya, ну конечно, все исправим, и будет Голливуд!!!
а я тоже постоянно тут сижу....ох... =))
сразу видно изменния!!))молодец!!!)и зубки твои)
хорошие фотки) красивая улыбка
Янина8, спасибо огромное! Очень приятно
Завидую!!!
Всё отлично! И за такой срок! Просто прелесть
Mel сама не верю, что все так круто))
тьфутьфутьфу





Красота!!!
И улыбка шире стала.
Поздравляю Вас, я так даже изъянов не вижу, хоть убейте)))