Как всё долго...
Всем привет
))) Сходила сегодня на очередной приём к ортофее.Она посмотрела и говорит:"Что же у вас всё так медленно,никак не хотят двойки двигаться,всё сопротивляются,и дуга уже такая сильная стоит,а они всё на месте стоят?!"
Что-то подкрутила,на правой 2-ке,на НЧ подтянула резиновую цепочку (не знаю как правильно называется),в результате у неё отлетела щёчная трубка на правой 6-ке,а цепочка порвалась,приклеила назад трубку, а цепочку натянула только до 5-ки.Сказала придти через 2-3 недели.Я немного расстроилась
.Как на сайт не зайду у всех какие-то сдвиги,продвижения а у меня всё стоит на мёртвой точке.
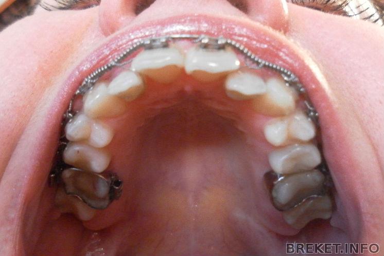
Я вот думаю может им всё-таки места не хватает,на фото видно,что они уже впритык стоят,но опять же врачу виднее.
Ну,вот теперь у меня благополучно отвалилась щёчная трубка,которую орт мне сегодня сама случайно оторвала,а затем приклеила,видать плохо,до этого проблем не было.Завтра снова в клинику,как мне это всё надоело
Комментарии
Места вроде хватает. Думаю зубки разгоняются и скоро кааак двинутся на места.
А полчему вам брекеты не клеют на них? Сейчас там как я понимаю что-то типа кнопок?
Ксен,ортофея говорит рано ещё на них брекеты клеить, далеко от дуги стоят.На них ничего нет,как я понимаю они обмотаны чем то похожим на лигатуру,а сзади залеплены надкусочной пломбой.
Nataliiiii,просто когда сам врач тебе говорит,что всё очень долго у тебя происходит,конечно расстроишься((( Она самав "шоке"что за 4 месяца у меня такие маленькие изменения.
Прикус не знаю какой(
У меня вообще назад ни один зуб не уходил, все в ряду стояли, только чуть развернутые, и то только на 3 месяц результат пошёл. И до сих пор места с трудом хватает. А у вас....им реально некуда влезать!
Зарина, не стоит раньше времени расстраиваться.
У меня до сих пор правые тройка и четверка упрямятся, просто нереально долго двигаются, разворачивались долго, щель затянуть не смогли - такое впечатление, что не они двигаются к остальным зубам, а остальные зубы тянут к себе О,о
Mrs. El,спасибо) Мне тут администратор в клинике,говорит,что бы я просила посильнее всё затягивать,раз у меня всё так долго.Мол у них одна пациентка есть такая,каждые три дня к ним бегала и просила,что-то делать с зубками
(терпела боль),когда на место все встали успокоилась и теперь ходит на приём только для закрепления результата.Я говорю,нееет,спасибо пусть всё идёт своим чередом,и так в организм вмешиваемся)))


у тебя всего 3 месяца прошло, не переживай! все будет, потихонечку. У всех по-разному, у кого-то за 2 месяца уже голивуд, а кто-то 3 года мучается! так что терпения и терпения! а прикус какой у тебя?