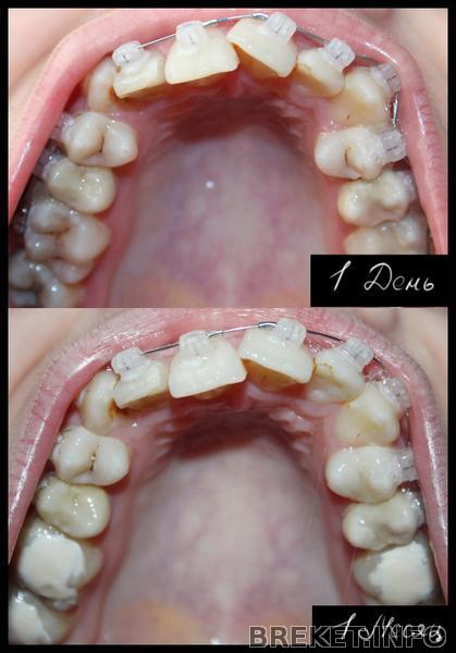
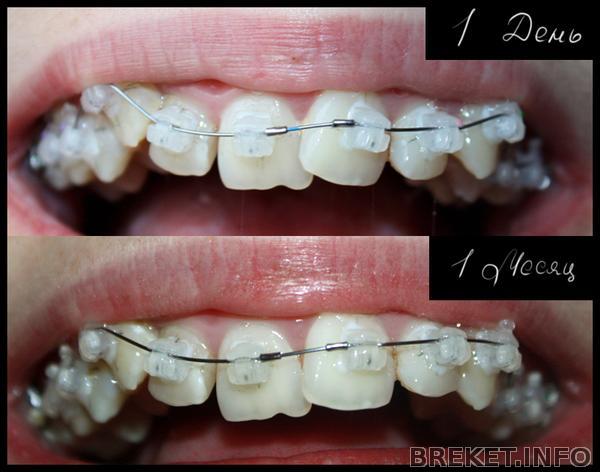
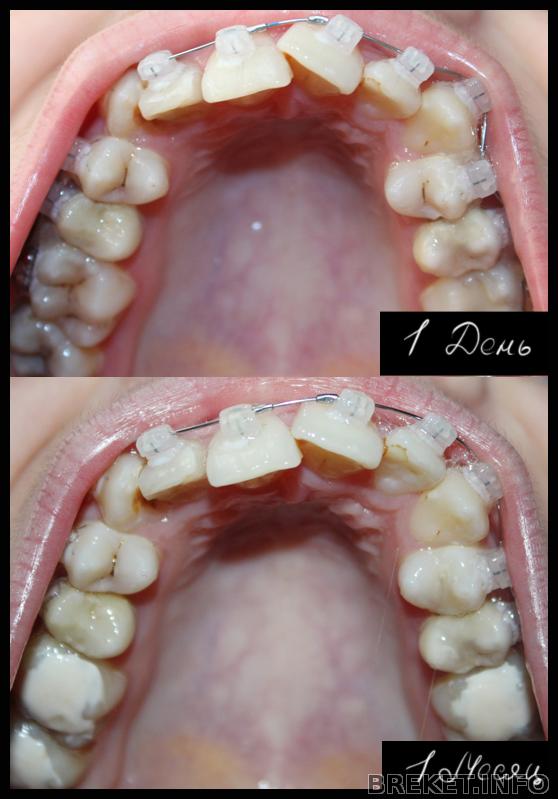
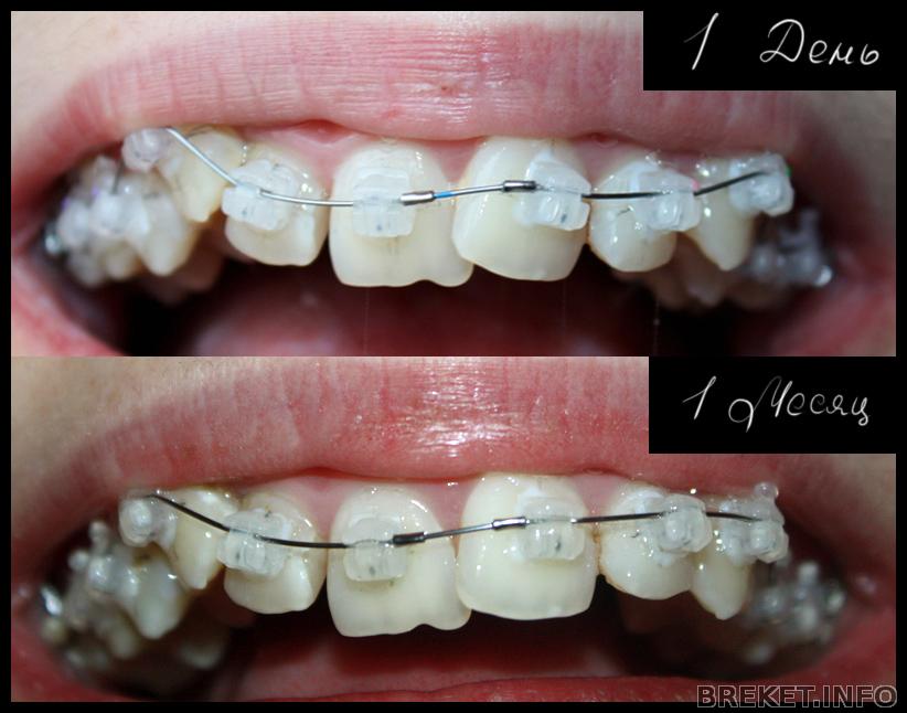
1 месяц. Отчет
Вот и наступил первый месяц. Не скажу что ждала долго, настолько привыкла - будто всю жизнь с ними)
Ждала только если приема. Мне сказали придти через месяц. Явилась)
Залечили 2 зубика и.. поставили надкусочные пломбы. Это кошмар, я вам говорю)))
Жевать еще не умею, да и не вкусно теперь так)
Зубки немного двинулись, что очень радует. Думаю сейчас еще быстрее пойдут, т.к. из-за прикуса зубам на ВЧ мешали двигаться зубы на НЧ.
Сумбур. Извините. Просто спешу, а отметиться-то надо)
Комментарии
такие белые..) красивые зубки)
Линка, спасибо огромное)
Пенелопа, белее кстати стали..от обильной чистки) спасибо.
Результат есть)) а вы без удаления выравниваете?
пока да, как видно. и сегодня зашел разговор, что вообще ничего удалять не придется (не считая 8-ки)
спасиибо
Поздравляю нас с месяцем
я вообще не верю....как быстро время летит!)результат заметен) а тебе дугу меняли?)
ты права) незаметно))))) не меняли мне ничего - сказали еще эта вовсю работает)))
а у тебя как? изменения есть?)))
да! по дуге особенно замечаю) я так уже привыкла к брекетам)
кстати..зубки больше не побаливают?)
везет) а мне еще долго ждать придется
да, побаливают, то одни то другие. не разберешь)))))
зубки двигаются, зубки молодцы!! и всего за месяц!! умнички
дааа, только для клыка места нет...а это значит что все еще будет долго. и это печально)
Доброго вечера! С брекетами 3-ий день, поставили на обе челюсти. На нижнюю тоже сделали эти самые надкусочные пломбы (их предназначение мне орт не объяснила). Что-то жевать нет никакой возможности
Скажите, пожалуйста, как у Вас с этим? Что кушаете и как? Спасибо. Результат у Вас заметен, прям очень-очень!!!!!!!!!!!! Неужели и у меня все встанет на место..................
Первые дни тяжеловато наверное)))
У меня соприкасаются 6-7 зубы, как-то по-маленечку пытаюсь, с каждым днем все проще. Сильно пережевывать не получается!
Я просто по натуре очень быстро ко всему привыкаю. Может поэтому проще)
Ой спасиибо))
Зато сейчас стоит все и ничего не болит(
Купила сегодня блендер
. Теперь могу кушать все!!!!!!!!!!!!!!!



Изменения заметны ))) так держать )))