Народ! Кому-нибудь удаляли единичку на НЧ???
У меня назрел вопрос!
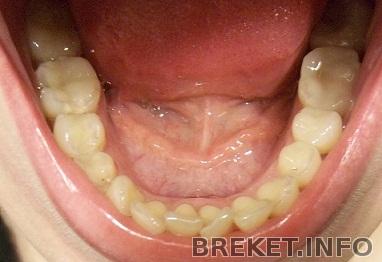
За день до посещения ортодонта посмотрела в зеркало и подумала, что удалить одну четверку с НЧ и только одну это ппц! Две удалить - слишком много! Т.к. потом появятся огромные промежутки, которые будет ну неееечем закрыть, ибо на НЧ в отличии ВЧ фронтальные зубы горааааздо меньше в размерах и имеют трапецевидную форму.
Поэтому орт сказала, что на НЧ полюбому одну и только одну.
Пришла на прием, спросила за железные кольца на шестерках и вообще за БС на НЧ. Она еще раз пересмотрела ситуацию там и сказала, что наверное будем удалять какой-нибудь передний. "Например вон тот торчащий!" Ибо таки удалить премоляр - это всё поедет ассиметрично в другую сторону, а у меня итак присутствует ассиметрия созданная восьмерками. Ну и вобщем хрень будет. Проще удалить единичку, которая найболее всех выпихнута из ряда. Я с ней абсоютно согласилась, ибо сама хотела толкнуть такую идею. Фотку моего веера прилагаю.
Если у кого была такая ситуация, расскажите как и почему и что после этого вышло! Плииииз! Очень благодарна.
Комментарии
Нет сильной скупченности? Да у меня зуб на зубе! Плечами друг-друга так потолкали.
Вот пример немного с высоты их положения, чтобы виднее было как они конкурировали))) Хоть из ряда никого не выгнали)))Дело в том, что удалять уже поздно, ибо один восьмёр разросся и уже не мешает. Он уже толкнул челюсть. Второй удален еще в апреле, поскольку приносил неудобство прорастанием. То бишь удаление восьмерок уже не помочь. А БС будет толкать моляры очень долго и нудно на прежнее место. Тем более ВЧ уже постепенно пристроилась под НЧ смыканием.
Нет. Клыки удалять вообще запретно. Однажды был в моей жизни доктор-варвар, который предложил совершить такое преступление с моими клыками на ВЧ. Клыки держат симетрию и форму лица вообще.
Вот, что здоровые - это и жалко, но без удаления не обойтись. Четверку удалять одну - тоже варварство, ибо тогда симетрия пихнется в ряд удаленной и будет караул!!! А две удалить, чтобы симетрия была - не миновать дыр. Вобщем, аут.
Не такая уж и жуткая скученность
У меня на ВЧ все хуже было, некоторые зубы стояли боком, пятерка была задвинута внутрь и ничего, обошлись без удалений.
В процессе лечения зубной ряд часто расширяется, ну в крайнем случае сепарацию нескольких зубов можно сделать, к тому же если у Вас трапециевидные зубы. Но зачем удалять здоровые единички, влияющие на симметрию и общий вид улыбки?
Кстати, есть такая полезная штука, как расчет. Ортодонт сидит с моделью челюсти, снимками и линейкой и прикидывает, хватит ли зубам места. Я свою ортшу застала как-то за этим занятием, она почему-то ортокад не очень уважает:) Если сомневаетесь в своем враче - сходите к другим, попросите сделать этот самый расчет.
Mel, это далеко не самая страшная скученность, серьезно Вам говорю.. Всё в ряду. Да, недостаток места есть, но он компенсируется без удалений при умениях орта..
Почему Вы считаете, что удалением восьмерки не помочь? Ортодонт не предложила Вам как вариант избавится от восьмерки и различными преспособлениями просто вернуть центр на место? Тем самым у Вас не будет ассиметрии, которая получится из-за удаления единицы (ну или четверки) и появится место, за счет которого Вы избавитесь от скученности.
А как Вы себе представляете удаление единицы, при которой вся семметрия будет сохранена?) Резцы для эстетики так же важны, как и клыки для функциональности... Почему Вы так уверены, что без удаления никак? Тут лечат вещи похуже без удаления)
Конечно, решать Вам. Но как человек, повидавший дофига ортов, скажу: совет Вам орт дала крайне странный. Опять же, в ступор ставит слово "например".
Дело в том, что удалять уже поздно, ибо один восьмёр разросся и уже не мешает. Он уже толкнул челюсть.
мне моя орт так же говорила про мою восьмерку, из-за которой у меня центр поехал.
однако я настаивала на удалении. через год лечения-таки настояла. и вот сегодня уже 4й день после удаления, ничем иначе как чудо я это назвать не могу - зубы поехали! поехали в нужною сторону!
я бы на вашем месте восьмерку удалила. места от нее хватить чтобы челюсть "расправить". а удалив единичку, что с асимметрией делать будете?
"Ибо таки удалить премоляр - это всё поедет ассиметрично в другую сторону, а у меня итак присутствует ассиметрия созданная восьмерками. " - а без одной единичке с тремя зубами по центру это не ассиметрия??
"Нет сильной скупченности? Да у меня зуб на зубе! Плечами друг-друга так потолкали."
глядя на мои фотки до, могу заявить, у вас сильной скученности НЕТ! посмотрите на мою НЧ
http://breket.info/images/image169539 - мне и то НИЧЕГО там не удаляли, и даже зуб, стоящий вторым (!!) рядом и в мыслях не было удалить.
http://breket.info/images/image12683
Я вообще не пойму- зачем нормальные фронтальные зубы дергать????!!!!
Посмотрите на мою фотку
http://breket.info/images/image195823
Я ради того, чтобы разогнать скученность во фронтальной части НЧ все это и затеяла. Удалением восьмерок вопрос дополнительного пространства и решился. Не советую. Все поправимо удалением восьмерок.
Проконсультируйтесь еще у другого ортодонта. Правильного вам принятия решения!
Ну зубы нетолько из-за скученности удаляют же. Из-за наклона еще - впихнуть можно, но выйдут вперед.
Или из-за не сочетания с ВЧ - если все впихнуть, то НЧ выйдет вперед ВЧ.
Я видела два примера удаления единички на НЧ, один на слепке и второй живьем знаю. Ну не бросается это в глаза вообще - если пальцем только показать, то можно заметить.
Anetka, у вас вообще ситуация супер просто. Но у вас можно за счет расширения челюстной дуги, а у меня сама дуга идеальна. Буду, конечно, умолять не удалять передний, но восьмерки удалять я не хочу еще больше. Фея сказала, что ввосьмеркой ситуацию не спасти, когда она уже выросла и заняла место. У меня асиметрия идет справа, где восьмерка уже удалена. Так получилось. Буду настаивать, чтобы ровнять железками эту сторону, хотя не особо верю в подвижность моляров, что они уступят место положенным зубам назад.
И вообще вопрос с восьмерками я фее поставила наперекос, что готова пожертвовать любыми кроме восьмерок и троек. Нижние фронтальные не так заметны, как верхние. Там у меня вообще центр ушел из-за того, что один передний в ряду, а второго боком подвинул выпирать (опять же трапеции).
Можно спросить о сепарации, но боюсь этого, как огня из-за чувствительности зубов.
Моя фея не коновал на самом деле. Ибо она вообще против лишнего удаления. Я вон ей все тычу второй премоляр с ВЧ, что, мол, несиметрично будет, если не удалить второй, а она твердо настаивает, что пока рано судить о премоляре и "Давай сперва не удалим, а там посмотрим что будет, тогда и решим". Я ей доверяю, поскольку она никогда не ставит предвзято за цель удаление, как самое первое в лечении. С этим "например" она меня подколола. Любит она это делать, поэтому не стоит обращать внимание на это) Этот вопрос пока стоит у меня в голове, ибо я реально промелькнула его в мысли раньше неё. Премоляры жалко да и один из них удалить тоже не выход.
Вот так вот. Буду что-то решать, спорить, искать противоядие )))
Спасибо всем за ответы и поддержку. Легче воспринимать и анализировать ситуацию, когда есть почва под ногами
)))
Skoll, вот этого я и боюсь, что когда они начнут становится дугой, то будут по-кошачьи смыкатся передние с передними и гейм овэр, хотя если глянуть на мою челюсть при смыкании, то места кажется много, НО это пока тройка не приехала на место четверки и еще не удалена вторая четверка с ВЧ. Стоит под вопросом.
http://breket.info/images/image207095 я тоже тогда свой ужас скину сюда)
справа на фото зуб, который вырос просто в десне(5-ка), и который с радостью хотели удалить все орты до моего. Слева на фото видно, как в разные стороны смотря четверка и пятерка.
Сейчас НЧ 5,5 месяцев. Все зубы стоят идеально, под выросшую в десне 5-ку появилось место. Подключаем ее на ближайшем приеме или через месяц, как решит орт. Удаляли только 8-ки.
Вот интересно, а почему Вы так не хотите удалять восьмерку? Если фея знает, что такое миниимпланты, а еще лучше-многопетлевая техника, то пожертвуйте Вы только этой восьмеркой..
Mari_ya, и пятерки вернули в ряд??
Нет, я не могу отказатся от восьмерок. Они мне сакрально дороги. Вот корни у меня свободно стоят, а крупные коронки не позволяют сильно разогнатся. Вот не доверяю я перемещению моляров. Ну слииишком это тяжело. особенно в моем случае. Они глубоко сидят и очень достаточно тесно!
Mel, она сама в ряд вернулась прямо по ходу того, как появлялось место
На одном из ближайших приемов налепят на нее брекет, чтоб стояла в ряду идеально, сейчас она немного назад смотрит.
Кстати, напрасно.. моляры двигаются не очень-то уж медленно. Может, конечно, мне повезло, но место под эту пятерку (около 6 мм) освободилось месяца за 3-4. Соотвественно, двигали 6-ку и 7-ку пружинами. Все моляры сидят глубоко, но постоянная небольшая сила действует и на них)
какая скученность!?у вас что зубы лишние есть???прям бесят такие решения врачей!!!у меня посмотрите фотки, и то ни одного не удаляли, а результат классный. Много конечно придется потерпеть и срок ношения увеличивается, но не удалять же!подумайте тысячу раз перед опрометчивым поступком
Марина59, у тебя наклон зубов был внутрь, конечно нельзя удалять, все в ряд поставили, и наклон стал как надо - чуть наружу, а если бы он изначально был чуть наружу при скученности, то и тебе удаляли бы.
на этой фотке хорошо видно, какой у меня был наклон наружу после того, как зубки встали все в ряд. тягами и сепарацией все убрали.
http://breket.info/images/image169436
Mel, мне все ваши единички покоя не дают - посмотрите фото Natalia1039 - тоже очень ярко!
расскажу свой случай: скученность на НЧ, двойки за зубным рядом. Мне удаляли восьмерки (ретинированные), они подпирали ряд. В общем, по факту можно сказать что мне выравнивали без удаления, расширели зубной ряд и впихнули зубы, была проблема с наклоном, нехватало место и мне делали сепарацию, подпилили двойки и единички. Если честно, я бы не согласилась удалять единицу, она сама по себе маленькая, значит речь идет о выигрыше маленького расстояния, а это решается сепарацией, как писали выше.
Вот как было:
А вот как сейчас:
Natalia1039, вот хочу так же, но боюсь чувствительности и того, что мне это может не выиграть места, поскольку зубки у меня плечистые... Всё думаю об этой сепарации, но страшно. Мне уже сколько раз затирали эмаль на передних ВЧ, что теперь в каждую щель воздух словно северный шквал, а с нижними пока таких проблем не было.. по крайней мере не такая ярко выраженная чувствительность. У вас зубики покультурнее, а у меня все абсолютно в ряду, но дело в плечах. Боюсь, что если не удалю ничего, то выпрут вперед. Вобщем, буду трясти феюшку и провоцировать на сепарацию или хотя бы глянуть посе установки БС, как пойдет ситуация с прикусом, и уже тогда решать дальше. Пока она глядит на ситуацию с ВЧ, ибо пока там все более-менее не разрулится БС на НЧ не видать
вообще у меня раньше была дикая чувствительность на единицах на НЧ и двух шестерках, где оголены шейки, причем, где шейки, там даже чистить не могла. В результате на них нарос камень и снимали мне его с анестезией, речь даже шла, чтобы депульпировать шестерки, но я отказалась, потом мне сделали несколько раз фторирование и чувствительность как-то прошла. И еще орт говорила, что есть запас у эмали, который можно подпилить, если обратили внимание, то раньше у меня были сколы на зубах и на ВЧ и на НЧ, мне их обтачили, чувствительность не появилась, сейчас пишу и ем мороженое
. А еще я довольно давно частенько чищу зубы РОКС гель, мне кажется от нее есть польза для эмали.





У Вас нет такой сильной скученности, чтобы зубами разбрасываться. Как вообще врач спокойно так может заявить об удалении "на глаз", тем более предложить удалить резец! Неужели Вам эстетика лица не важна?.. Слово "например" вообще убило...
Если есть ассиметрия, вызванная зубами мудрости, то скорее всего, проблема как раз в них, поэтому удалять надо их.
Часто бывает так, что самыми выпирающими зубами в ряду бывают клыки. Однако, никто и никогда их не удаляет. И вообще, удалять то, что больше всего выпирает - зверство. И так делают только рвачи. У вас здоровые и прекрасные единицы! Удалив их, можно сильно пожалеть...