ВСЁ, РЕШИЛАСЬ или история о том, как я размышляла над железяками
Всем здраствуйте
!Совсем недавно я ещё улыбалась во весь рот своих кривулек
...и не замечала этого.Жила себе и дальше, если не одно НО.Как-то в компании друзей пошёл разговор на тему кривых зубови всё такое...Ну они начали рассуждать почему бывают кривые зубы...никто меня не упрекнул по этому поводу,однако стало очень дискамфортно находиться там
...но после этого я задумалась! Встала одним утром и посмотрела в зеркало...с того момента я просто комплексую...улыбаюсь с закрытым ртом, когда смеюсь прикрываю рот ладонью(не всегда и получается), а смеюсь я ОЧЕНЬ МНОГО
)) смотрю на своих друзей с ровными зубами и правильным прикусом и по неволе начинаю завидовать...моей знакомой поставили пластины из-за того, что её зуб на несколько миллиметров выпирал (было даже незаметно!) а у меня такая бензопила творится
, и я ничего не делаю с этим!Поговорила с мамой, она сказала, что ей улыбка моя нравится, что она есть только у тебя. НО Я ВСЁ-РАВНО ОЧЕНЬ ХОЧУ РОВНЫЕ ЗУБЫ! Пусть у меня будет как у всех! ![]()
как-то я с родителями ездила к орту, он сказал придётся удалять 4-ки!Поскольку удаление зубов-есть моя огромная фобия
, а на тот момент мысль о брекетах приводила меня в ужас
.... я со слезами выпрашивала у мамы, чтобы мне ничего не ставили и не удаляли!а сейчас мне действительно очень хочется их поставить!!Но придётся ждать конца отпуска(Т.к. я ещё маленькая можно поносить, пускай все будут смеяться, зато потом....
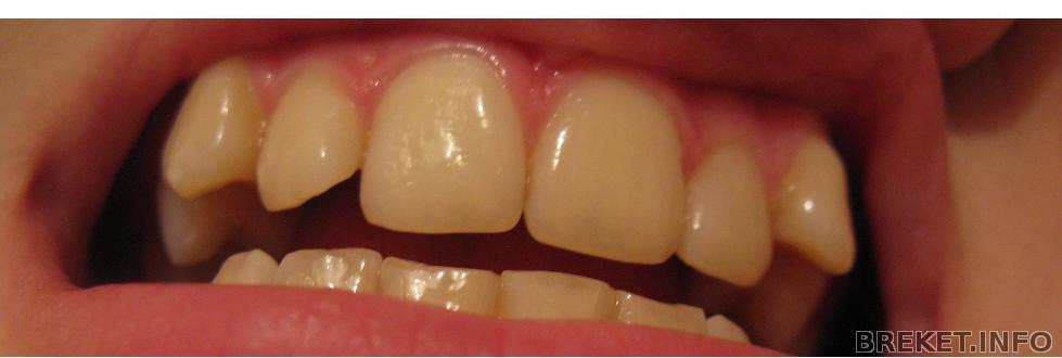
! Вот фото моей бензопилы-улыбки...как вы думаете хватит место для 3-ек, или всё-таки придётся удалять 4-ки??какой срок ношения БС??и через сколько зубки начинают хоть чуть-чуть выпрямляться?спасибо !!!
Комментарии
Вы просто герой!!!!!3 ИНЪЕКТЦИИ+2 ШВА!)
Это совсееееем не больно. Даже когда анестезия перестала действовать. Губа верхняя припухла чуток, но это норм - хирург предупреждал. Прикладывала лед. Ничего не болело. Через 2 недельки после этого я уже была в брекетах.
а зачем вообще эта пластика была сделана?
ну смеяться это точно некто не будет над брекетами, проверенно у меня сын твой ровесник относил даже никто и не заметил что носил а потом снял результат потрясающий улыбка шикарная и это у него уже смолоду будет а не то как я щас в 35 лет хожу с железяками. удалять не больно!!!! ношение от 1.5 до 2 лет, первые изменения будут через 2 месяца. удачи тебе в твоем выборе.
Елена, спасибо Вам)
Хася-_-, удалять совсем не больно. Вот только мне кажется, что у вас и без удаления можно обойтись (я, кончено не спец, но на фото вроде нет такой катастрофической скученности и нехватки места). Сходите к нескольким ортодонтам, послушайте мнения. Я, например, была у пяти ортов, но только один из них сказал, что нужно удалять 4-ки на НЧ. В итоге лечусь не у него).
А вдруг и вам другой доктор без удаления выровняет зубки?
Esperanza, спасибо за совет))
Удалять-то не больно...
Если есть возможность, пощите других врачей. И не такие случаи без удаления лечат)
Офигенно классная форма зубов. После брекетов у вас тоно будет голливуд. Срочно бегом за брекетами.
Я удалила 3 ретинированные 8-ки. Их вырезали из десны и зашивали. + удалила 4-ку. Одну. Так как вторая давно уже была удалена. Это еще ничего по сравнению с тем то мне сделали разрез ретинированого клыка. Нашли клык где-то рядом с носом и вытягивали оттуда очень долго. Причем несколько раз делали разрез так как кнопка слетала. Удаление етверки - это самый простой случай!
умничка,что решилась!мне кажется не будут удалять.не такая уж и катастрофа!насчет результатов-я на второй день заметила изменения и с каждым днем всё больше и к лучшему!не волнуйся,всё будет хорошо!
Элечка, спасибо большое)) блин...я просто удивляюсь какая ты смелая!!!!!!
katerina0508))спасибо! удачки вам
Думаю, тебе надо сходить к нескольким ортам. Когда я решилась, один мне сказал что надо удалять 5-ки, а другой - что можно обойтись без удаления. У меня ситуация хуже на ВЧ и ничего не удаляли) Я тоже долго думала устанавливать или нет. Молодец что решилась!!!
Lilithana, спасибо за поддержку))




Будет решать врач - удалять или нет. А что такого страшного в удалении? Обезболивающая инъекция? Это ж ерунда. Мне вот пластику уздечки верхней губы сделали - сначала 3 инъекции вокруг этой уздечки, потом разрезали и зашили 2 швами. И ничего))) Молодец, что решилась зубки выправить. Правильно. Зачем комплексовать и прикрывать рот ладошкой, если можно годик (ну, это плюс - минус, у всех по-разному) походить с брекетульками и обрести красивую улыбку???