удаление невыросших зубов мудрости, поделитесь опытом)
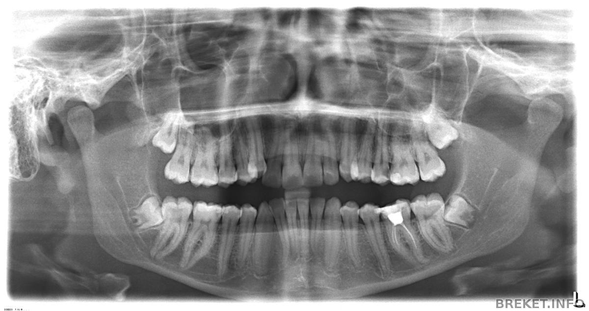
Доктор отправил на круговую панораму, сделала снимок, на нижней челюсти оба зуба мудрости ретенированные, наклонены в сторону остальных зубов, прям-таки расположены горизонтально, а не вертикально, как должны были бы быть. пришла со снимком, врач сказал что их нужно вырезать пока они не начали расти, т.к. если начнут движение искривят остальные зубы. Сказал удалить 2 на НЧ , написал направление к др. доктору в отделение челюстно-лицевой хирургии, говорит удалять будут под общим наркозом!... очень боюсь, именно сам наркоз больше всего пугает, как от него отходят....на консультацию пойду в скором времени.. кому вырезали уже зубы мудрости? расскажите.
Комментарии
ретинированные и зачатки - не одно и то же?
ЗУБ РЕТИНИРОВАННЫЙ-зуб, который по тем или иным причинам не способен прорезаться нужным образом, так как для него нет свободного места в зубном ряду, и он частично или полностью закрыт костью либо десневой тканью
Зачатки-это те что еще корни не пустили
Думаю,что есть различия
хм, врачи называли мои зубы ретинированными, хотя места им было достаточно
MaryLU26 я одна из тех, кто удалял под общим) не пожалела. мои нижние было больше ваших и губже сидели, и более под наклоном к 7кам, от чего сделали дырку в одной 7-ке возле корня
свою историю уже много раз где писала (мне просто инетерсно наблюдать, отговаривают и пугают общим именно те люди, которые делали под местным, да еще и с большими последствиями, а те которые делали под общим наоборот довольны что именно его выбрали)
никого не призываю под общим или местным, решать вам, как вам будет лучше и как вы себя настроите. я трусиха, меня даже в кресле дантиста может трусить и колотить, удалять по одному зубу и под местной я бы наверное никогда не решилась. если вы бесстрашны и готовы удалять по одному и под местной - вперед
поделюсь еще раз своим опытом, кому интересно взгляд изнутри как это удалять под общим. лично я не жалею, что выбрала общий наркоз ( у нас он так же очень распространен, каждому второму наверное а то и чаще удаляют 8-ки именно под общим, т.е. обычное дело, обычная операция) вся операция (удаление 4-х зубов мудрости, 2 нижних ретенированных горизонтальных) длилась минут 45 - час. у нас эта операция проходит просто в стоматологии на обычном стоматологическом кресле. приехала, села в кресло (как есть, не переодеваясь или еще что и т.д.), приклеили датчики на сердце, вкололи в вену анастезию (меня немного трусило и пульс был учащенным, это мое обычное состояние у дантистов), чтобы я расслабилась и пульс успокоился дали немного подышать газом каким то... потом отдаление звуков и..... я проснулась уже без всех 4-х зубов с ватой во рту. состояние как буд-то ты проснулся, но тебя еще полностью не разбудили, непонятное, посидела минут 30 в кресле, пока окончательно не пришла в себя, встала и мы поехали домой. по пути заехали понакупляли антибиотиков и обезбаливающего. дома прикладывала немного лед и пила антибиотики. обезбаливающие не понадобились вобще. никакого ужасного состояния, тошноты или еще чего от наркоза совершенно не было, никому в любви не признавалась (и да, я тоже худая, при росте 174 вешу 50 не более) мне зашивали 4 дырки саморассасывающимися нитками. на следующий день я поехала сама уже на машине к хирургу на осмотр (ехать около часа), он посмотрел, сказал что все замечательно, показал как промывать если что застрянет и что ждет через неделю. через дня 3-4 вышла на работу. ни синяков, ни страшных опухлостей, ни боли не было. единственное было трудно улыбаться и нитки как бы тянули, ощущение что тебе щеки пришили там))
да, возможно мне просто повезло, а так же попался хирург от Бога с золотыми руками. впрочем чего желаю и всем! под общим или под местным решите удалять, главное найдите своего хорошего хирурга!
Kristi_26, я не хирург, но похоже что у тебя тоже близко..
JimmyRock, ретинированный - это целый зуб с корнями, который не вылез. -я так поняла со слов хирурга)
Anetka, "мне просто инетерсно наблюдать, отговаривают и пугают общим именно те люди, которые делали под местным, да еще и с большими последствиями, а те которые делали под общим наоборот довольны что именно его выбрали". Совершенно согласна!!!! у всех есть выбор, страхи и прочее. есть из чег выбирать..
общий, предмедикация и местная.
я рада что тебе повезло с хирургом)))
Kristi_26, желаю найти такого же))) лучше по отзывам поищи...
спасибо вам, я тоже так считаю что каждый советует ТО, ЧЕРЕЗ ЧТО ПРОШЕЛ ОН САМ. Жаль что тут нет никого кто удалял бы 8-ки и под общим и под местной хД))).............сегодня была у того врача, которого советовал мой орт., работает в больнице,заведующий отделением челюстно-лицевой хирургии. Он предложил 2 варианта мне на выбор удалить под общим, или под местной 2 зуба за раз. ВЫБРАЛА МЕСТНУЮ АНЕСТИЗИЮ, т.к. он сказал что прежде чем удалять под общим нужно пройти исследование на наркоз , сдать кучу анализов, да и по деньгам это выйдет почти в 2 раза дороже. дороже и дольше по времени, а у меня учеба на носу.... сначала обрадовалась, что оба за 1 раз вырежут, и что это не дорого, а потом радость ушла, и пришли сомнения на счет местной анестезии. выдержу ли я. сестра еще начала говорить что лучше под общим,что лучше подумай хорошо..... вобщем не знаю, но думаю все -таки лучше собрать свое мужество в кулак и на следующей неделе пойти их вырезать под местной)))))) ....................................
и все таки стренно, предыдущий врач отказался вырезать 2 за раз, сказал нужен перерыв.
http://ipic.su/img/img5/fs/IMAG0057.1345812351.jpg у меня так было


Kristi_26,
правее от восьмерки проходит полосочка. это и есть нерв. это двухмерное изображение. но он большой и находится близко. если бы ортодонту приспичило бы удалять. то я бы делала снимок с другого угла, что бы увидеть как далеко находится нерв. но это всего пару мм.. а это опасно.
зачатки ретинированые - такого не бывает. ретинированые - когда зуб с корнями под десной. а зачатки как на фото.
походи по еще двум хирургам! а то они такие колбасы деловые. им лишь бы удалить..