Не получается одеть тяги! Помогите советом!
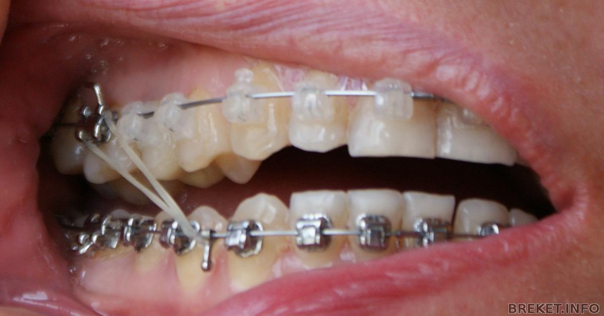
Помогите советом, у кого такое было. Мне моя ортофея прописала одеть тяги на 4 зуба - 6, 7 верх и 6, 7 низ. У меня не получается их одеть, потому что на этих зубах приклеены брекеты крючечками назад и резиночке просто не за что зацепиться, она соскакивает! Че делать???
Комментарии
Сказала начать носить тяги через неделю, не показала. Так-то я тяги ношу, но на других зубах. Там брекеты с вертикальными крючочками. А здесь вообще ничего не получается. Может надо тягу вокруг крючка наматывать?
Мне доктор, назначая тяги сам надел, чтобы я поняла, как мне их цеплять, очень наглядно. Если совсем неудобно и они соскакивают - рекомендую обратиться таки к орту. Посмотрите на фото - орт закрепил металлическую палочку на БС гораздо позже установки. Эта металлическая палочка приурочена была именно к ношению тяг. Он их может снимать, а может удалять по мере надобности. У меня хвостик на замке тоже повернут назад, как и у всех, как я вижу. Вот для удобства при ношении тяг такие палочки, как я поняла и лепят.
Все понятно, спасибо! Видимо придется сходить в поликлинику чтобы мне установили такие палочки.
На здоровье! рада была помочь!
Мне тоже как-то назначалали тяги (крест накрест передние зубы), орт тоже нацепила их на приёме, потом я сняла и сама одеть уже не смогла - тоже соскальзывали с крючков на брекетах. Я их не стала носить, а потом недели через 1,5 думаю дай-ка попробую надеть - и они слава богу оделись и стала носить (зубы наверное переместились).
У меня так и не получилось их одеть. Пришла к орту, она их просто взяла и отменила (( Сказала что никаких палочек у нее нет. Обиииидно


А ваша орт когда прописывала - для первого раза сама на вас тяги одевала? Для образца.