еженедельный отчет)
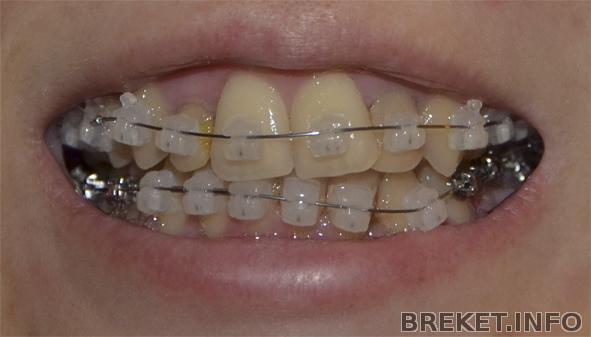
На прошлой неделе я закрутилась и забыла сделать фотки для отчета. Сегодня отчет за 2 недели. После замены дуги с 12 на 14 левая двойка поползла вперед со скоростью электропоезда типа экспресс) вылезая, она показала налет на том боку, который был спрятан за единичкой, вот почему стоит ставить брекеты и исправлять прикус. Теперь я понимаю, почему у меня эти места постоянно были проблемными(
Также начали побаливать жевательные зубы левой стороны, значит там тоже начинается движение)
Вообще я рада, что мы с ортодонтом решили заменить дугу, на 12 я уже не ощущала давления, а на 14 зубки не расслабляются - работают трудяги)
Проблема с прилипанием брекетов к губам и щекам ночью становится все неприятнее и неприятнее, я начала просыпаться от того, что губы болят, и во сне языком провожу между ними, разлепляя(
Скорее бы уже привезли мои бамперы, ибо это уже совсем грустно.
+ нижняя губа очень сильно подвергается воздействию от дуги между 2 и 3 зубами правой стороны. Дуга разрезает губу чуть ли не до крови и постоянно цепляет при разговоре или употреблении пищи, приходится заклеивать( Я понимаю, что красота и здоровье требуют жертв, но постоянно ходить с огромной блямбой воска на видимой стороне зубного ряда я не могу - она очень видна при разговоре, так что приходится мучиться(
далее фотки
Комментарии
они у тебя действительно движутся со скоростью поезда експресс=)))поздравляю
спасибо девочки) я радуюсь, как ребенок) верно говорит орт, все зависит от настроя) я очень хочу за год все закончить, вот они и бегут) мне теперь даже следующее посещение назначили не через 2 месяца, а через 1,5)






отличные результаты)))