полный комплект)
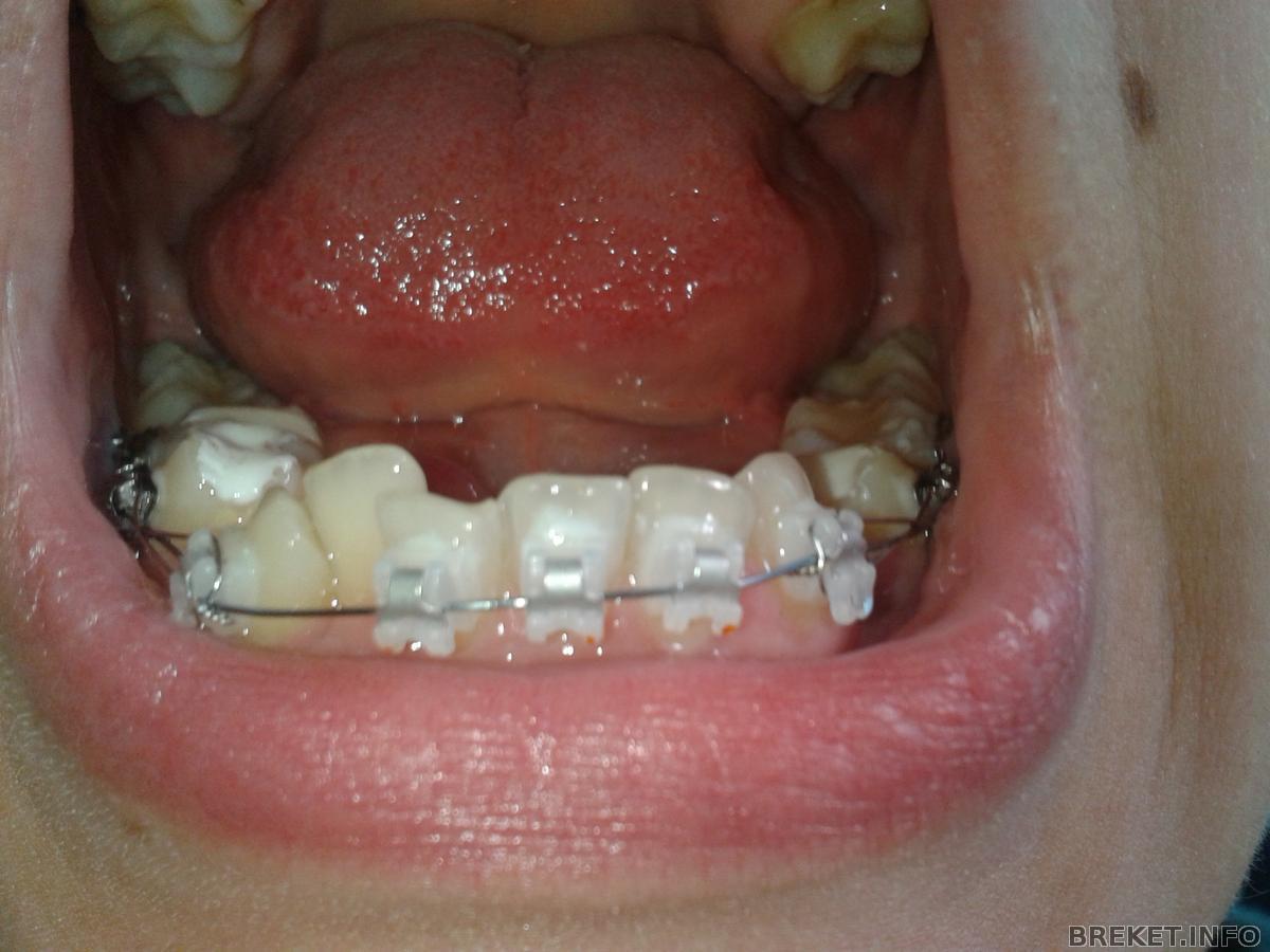
Ну вот настал долгожданный день установки на НЧ. час в кресле и вот меня полностью забрекетили) и даже прицепили сразу 2 тяги на НЧ для того,чтобы раздвинуть зубки, задействовать правую двойку. Сейчас все болит, чешется, в общем приятного мало. Плюс еще эти дурацкие надкусочные пломбы, на пятерках и на одной шестерке. В общем и целом, врач процессом довольна, следующий прием через 3 недели. единственное,что меня пугает так это внешний вид нижней челюсти..Это ужас какой то, прям страшно заглядывать в рот) а мне еще лекции читать на этой неделе..Интересно, какая реакция у студентов будет?)))
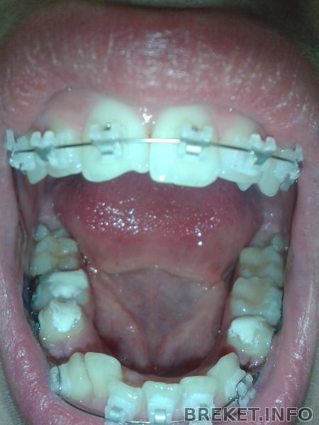
Вот так вот идет процесс на ВЧ :
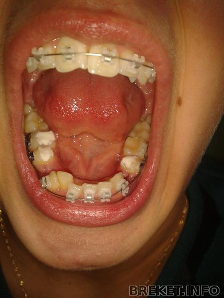
А так выглядит НЧ в день установки
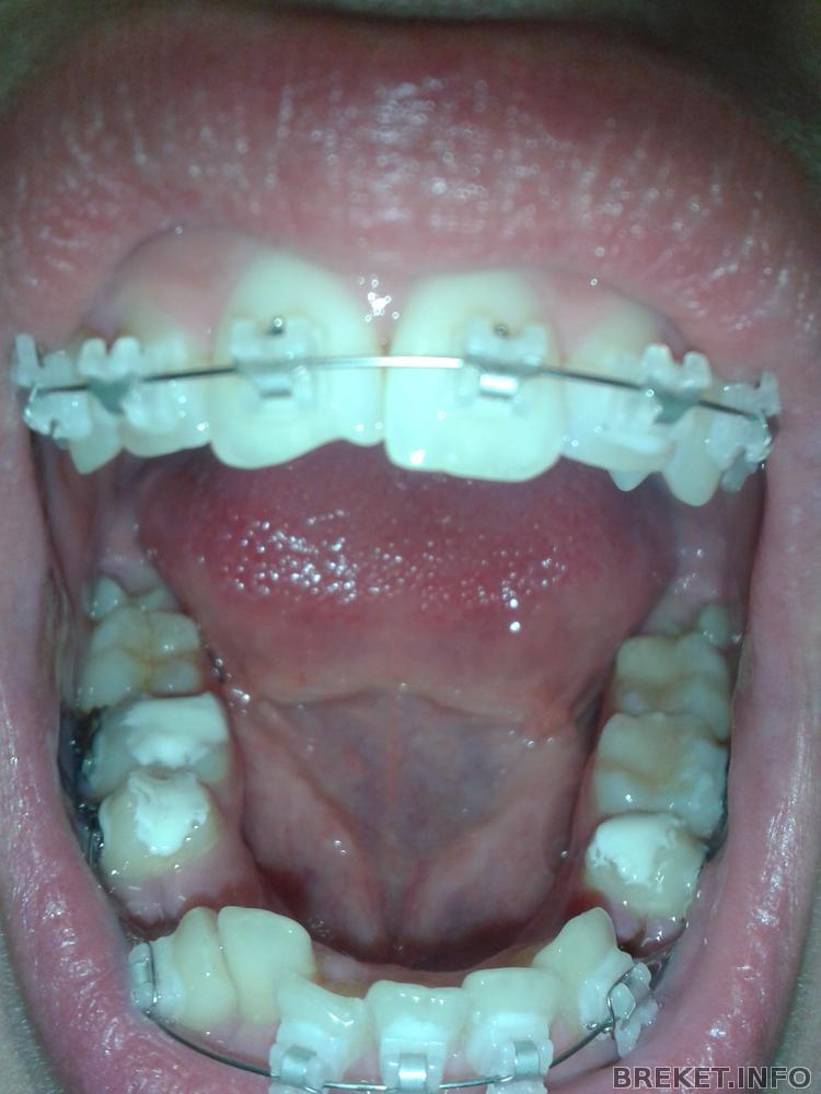
Ну и полный комплект:
Комментарии
ничего не говорит!а я каждый раз забываю спросить..(видимо позже от этом будем думать..что самое интересное,она у меня такой формы выросла с самого начала..как так?)))))





вот подскажи что тебе сказала доктор по поводу единички на ВЧ?
у меня тоже она отколота, мне ее малость под пилили и все
а хочется ровных одинаковых зубиков