Внутренние разногласия (полугодичные итоги и выводы)
Вот что меня радует:
ВЧ прошло 6 месяцев 4 дня
НЧ прошло 4 месяца 28 дней
Полгода! ДА! Уже полгода!
Как-то совсем не верится... это ведь не так уж и мало уже!!!
Результаты очень даже положительные и позитивные, и рассчитываю на такое же продолжение.
Что произошло на последнем на данный момент приёме у орта:
прошёл месяц ношения тяг и о да! всё получилось просто замечательно - справа зубы ВЧ встали на своё правильное место (правильно соприкасаются с НЧ), слева тоже заметно выдвинулись, но ещё недостаточно. Но это дело поправимое. Сказали продолжать носить тяги слева весь день, справа только ночь (если днём не хочу), но мне как-то всё равно - их присутствие я не замечанию, зато замечаю хороший результат - ношу целыми днями и дальше.
Ощущение потрясающее! Наверное мне никогда не было так удобно (не знаю как объяснить, наверное, в плане прикуса), даже предположить не могу, как же хорошо должно быть после лечения! Это как-то стало даже дополнительным стимулом...
На НЧ зубки выправились и подстроились под ВЧ, только единички и двойки всё ещё "гуляют" - то в одном месте щель появится, то затянется и появляется в другом... Врач одела на них резиночку и всё чудесным образом "устаканилось". Пока дугу не меняли, почему-то орт считает, что могут брекеты отвалиться от повышения нагрузки...
Центр ВЧ чуть уехал, хотя он изначально был неочень прямой, клыки неособо правильно стыкуются - всё это будем исправлять попозже.
И так, было бы всё просто отлично, если бы не одно жирное "но".
Подняли вопрос о 7-ке НЧ. (в напоминание http://breket.info/blogs/250377)
Сделили рентген расположения зуба, оказалось, что своё положение он вообще не поменял, хоть ему сейчас ничего не мешает, похоже он решил засесть там накрепко.
Отправились к хирургу, узнать его мнение... что же делать то.
Он считает, что ничего делать не нужно. Что пусть он сидит так, как сидит, и лучше его не трогать, в том плане, что лечше не вмешиваться - когда-нибудь может сам он прорежется.
У моего орта другое мнение - нужно что-то предпринимать!
Что предполагалось - раскрыть жевательную поверхность (бррр... разрезать) и прикрепить кнопку и тянуть. Но кнопка то будет вертикально стоять, как ж её подцепить?.. Орт выдумывала конструкцию из проволоки для создания "крючочка"...
Но всё равно, так оказывается тянуть тяжело и лучше было бы прикреплять кнопку сбоку, но тогда придётся удалять (ну опять таки БББРРРрррр..) много костной ткани, на что хирург идти совсем не хочет - неправильно это.
После долгих споров (и моего молчания) они пришли к выводу, что я пока поживу так, хирург уходит в отпуск и через 3 недельки вернётся, и мы встречаемся снова и продолжаем обсуждение. За эти недели моя орт проконсультируется с разными врачами, разыщет какие-либо приспособления... Считает мой случай уникальным, т.к. ретенированных 7-рок обычно нет, и поэтому требуется какой-то новый подход к проблеме.
Вот теперь то я полна сомнений... Ужасно не хочется (вспоминая удаление, а точнее последствия удаления, зуба мудрости) мучаться - чтобы резали или удаляли что-либо.... потому как совсем не факт, что далее лечение пройдёт хорошо. Не хочется испортить всё достигнутое из-за одного лишь зуба... А с другой стороны, оставишь зуб так - и что будет потом, а вдруг заболит или т.п. - тогда мне ничем не помогут - не залечат, не вырвут и вообще ничего не смогут сделать. А вдруг не заболит? И я смогла бы спокойно прожить всю жизнь так, не маясь с ним.
Что же делать? Что же будет?
Вырывать то мне его и сейчас не захотят.
В общем... как говорится "а счастье было так близко", спокойно бы радовалась всем прошедшим и будущим позитивным резальтатам, если бы не эта проблема.
Поэтому я поражаюсь людям, которые спокойно идут к своей цели, делают операции и прочее, не задумываясь обо всех "если...", это очень впечатляет!
И вот опять, оставляю свои вопросы сотрясать воздух, стараюсь не задумываться об этом до следующего приема у врача, ведь сейчас от меня мало что зависит, только нервничать больше буду, что совсем не нужно...
надеюсь на профессионализм и изобретательность врачей, на принятие какого-либо решения, которое окажется лучшим!
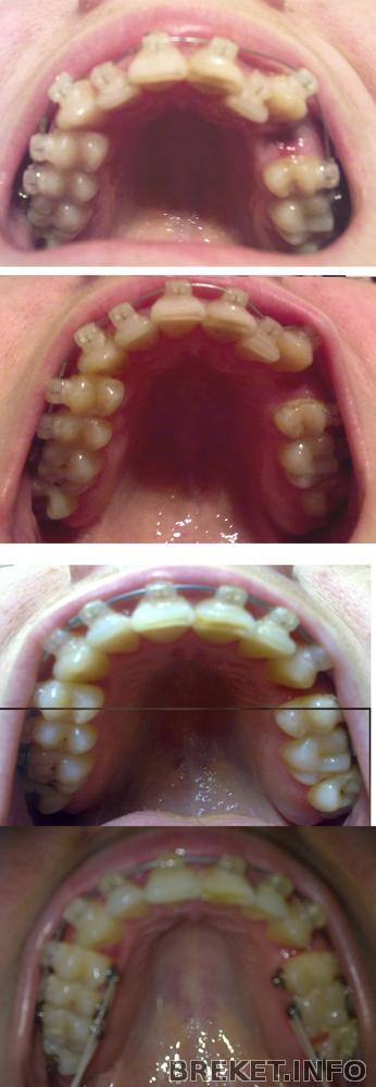
*метка для себя - сделать наконец-то коллаж!!!
1 день
1 мес 1 нед
3 мес 3 нед
5 мес 3 нед
Комментарии
ой, Ксюш... надо бы мне и правда поскорее сделать, а то уже самой интересно-нагляднее на фото увидеть изменения, как всё было..)
спасибо большое!)
Машик, раньше времени не переживайте, у вас до конца лечения (снятия брекетов) еще есть время. Хирург по своему прав, если 7-ка расположена правильно, не давит на соседний зуб, то и трогать его не стоит. Орта тоже можно понять, если можно вытащить, значит надо тащить! лишним этот зуб точно не будет. Вообщем, остается довериться вашим врачам. Я бы на вашем месте, если вдруг с вытягиванием не получиться, оставила бы зуб в покое, пока он не начнет беспокоить.
И фотки новенькие я бы тоже посмотрела)
Спасибо!
Да о том, когда будет снятие брекетов - даже не думаю) Просто хирург напугал тем, что занимаясь этим зубом, можно поплатиться соседними зубами да и здоровьем, но и вы правильно размышляете - орта можно понять, кто же знает что потом то будет, если есть возможность, то надо как-то исправлять ситуацию.
Да и если ждать, что начнёт беспокоить... сразу наведывается мысль - а как тогда зубу можно будет помочь? даже если в состоянии покоя с ним ничего сделать не могут...
Вообще, всё мной написано на эмоциях) Сейчас уже подуспокоилась и пока не думаю о том, что будет - это ведь бестолку)
Эх, будь что будет!! А должно быть всё хорошо!
Настраиваюсь на то, чтобы заняться фотографиями на выходных! Нужное это дело)

Поздравляю!)
Да уж,с семеркой такие проблемы,надеюсь чего-нибудь придумают не сильно страшное;)
и хочется посмотреть на результаты на фото:)