Почти 7 месяцев)
Всем привет
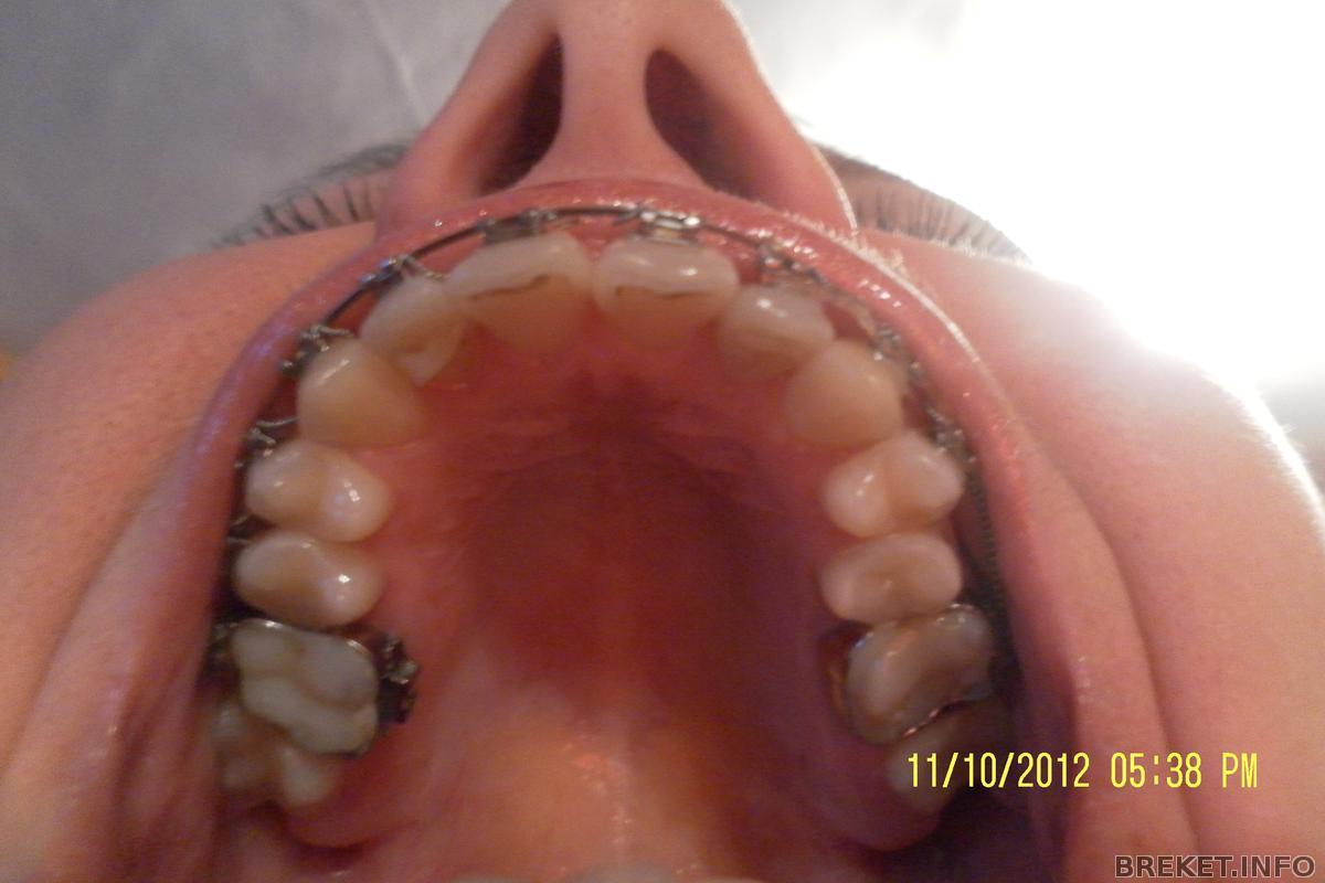
))) Вот уже почти 7 месяцев прошло после установки БС.Время пролетело быстро,это очень радует.Но зубки у меня,как говорит моя ортофея "капризные" очень медленно двигаются.После 6 месяцев,сняли мне наконец пружинки,правая двойка на месте,а вот левая сопротивляется,не хочет вставать на своё место) Через неделю иду на свадьбу к друзьям,буду свидетельницей,не знаю как буду себя чувствовать в брекетах,немного переживаю).Ну и собственно выкладываю фото (коллажи делать не умею,научите)
Комментарии
Юльчелос,спасибо) Действительно,я очень рада была,когда мне их сняли,ужасно надоели
)))
Самый простой способ делать коллажи - в стандартной программе Paint. Вставляешь туда фоточку, потом еще одну вставляешь, делаешь нужного размера и размещаешь на одной страничке как тебе нравится
. Наверно есть еще способы, но я о них не знаю



ПОЗДРАВЛЯЮ)))Помню то прекрасное чувство,когда снимают-таки пружинки...это супер)