Мне почти 29 и я, наконец-то, ставлю себе брекеты. .В моем случае думаю на долго((((((
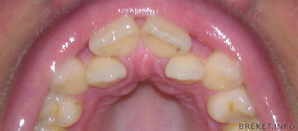
Самые проблемные у меня двойки, они совсем сзади( еще и перекрестный прикус( Снизу заборчик, но он меня меньше всего волнует. При этом один орт сказал, что за год сделаем. Но что то не верится. Читала дневник с похожей ситуацией, больше двух лет(( как же не хочется(

Комментарии
не хлчется, так не лечитесь) а вообще у всех все индивидуально)) необязательно 2 года носить будете, может у вас зубы очень послушные будут и быстрее исправятся) позитивнее настрой!)
ну за год-то точно не справитесь. Ситуация очень похожа на мою. Можете у меня посмотреть. Я год уже относила и думаю, что ещё столько же надо. А вообще оно все индивидуально.
C удалением лечитесь?
да, но только восьмерки нижние, верхние четверки не трогаем пока, читала у некоторых .что сначала не удаляли, а потом в процессе лечения все равно пришлось убирать четверки
Юля, да, похоже на ваш случай, но мне несколько ортов говорили, что четверки не трогать, а места двойкам совсем нет, куда они влезут ,не представляю...
не расстраивайтесь раньше времени, это все так индивидуально, куча нюансов всяких, не ставьте себе сами диагноз, ориентируясь на чужие фото пусть даже с "похожей ситуацией". даже врач не сможет Вам назвать сроки с точностью до недели, ведь только после начала лечения станет ясно, с какой скоростью будут перемещаться конкретно Ваши зубки. и вообще, настраивайтесь на результат, тогда не так тягостно будет
Спасибо, Девочки) Да, когда смотришь на результаты других, то настроение улучшается,глядя на такую красоту. так что ВПЕРЕД!! как говориться))) назад уже дороги нет)
Вы только представьте, что эти 2 года (ну, возьмем по максимуму, тот срок, который Вас так пугает) вместо надоевших кривых зубов Вы будете видеть реальные изменения в лучшую сторону, реальный прогресс, происходящий с Вашими зубками, о чем Вы так мечтали! уверена, это вдохновит Вас и утешит в трудные моменты лучше, чем любые чужие фотографии ))
Да, у меня двойки меньше провалены были.... ношу пол года, и пока еще до конца они в ряд не встали. Орт сказала, что медленно зубы движутся ((( Но результат меня уже реально радует )..
Kanka, что верно, то верно) вид моих кривулин уже достал меня окончательно, ни улыбнуться нормально, ничего. Мне кажется когда увижу хоть маленькие изменения, то радости до ж*пы (извините
) будет
будет-будет, непременно! даже не сомневайтесь. зато потом будете улыбаться только так
Linka, я о таком результате как у Вас мечтаю только)) все познается в сравнении, они и правда не так сильно были у вас углублены, да и правда результат хороший. У многих стоят-стоят, а потом раз и встали куда нужно
Ого себе! Верхние двойки у вас конечно хороши. По идее без удаления обходятся случаи, когда дефицит места до 5 мм, у вас же явно больше, так что лучше заранее готовтесь, что бы не было сюрпризов.
У меня, к примеру, насколько мне известно, пограничный случай, и то...чисто теоретически я предполагаю, что в итоге возможно удаление, хоть конечно очень не хочется.
Улик, как мне говорили все орты ,с которыми я консультировалась, что у меня узкое лицо и если они удалят четверки, то совсем плохо скажется на внешнем виде. На след неделе еще к одной пойду, вроде хороший орт, посмотрю что она скажет. Просто если уж надо удалять, то лучше бы сразу сказали, а не в процессе.
Я вот тоже боюсь, что после удаления может "провалиться" физиономия, Но не увидев результат без удаления врядли можно сказать - хорошо будет или нет. Зубы могут стать веером, кому-то это идет, а кому-то наоборот - плохо. Не зря, видимо, сначала пытаются слепить из того что есть, а потом уже применять кардинальные меры)
Будем надеется на лучшее, что и удалять не придется, и зубки встанут красиво
Привет. У меня случай тоже похож. Брекеты уже сняла., лечение тоже было без удаления, только 8ки. Результат в альбоме. Время пролетело быстро, а в конце вобще начинается гонка за перфекционизмом, тянула не хотела снимать, пока все устраивать не будет. так что удачи и терпения!
ха, мне 31 и я 14 иду на установку. Для этого убрала все зубы мудрости. Последние были 2 нижних. Удалила оба за месяц, с промежутком 2 недели. Подготовка полным ходом)) Дым карамыслом))) Уже 2 раза бегала к орту со своими вопросами)) Составила целый список) Вот до установки опять с вопросами пойду, пусть не расслабляется)))))))
а еще у меня знакомая ровняла в 45 лет и счастлива, и носила не больше 1,5 лет. Хотя там даже что-то с прикусом было
Anetka, Да у вас потрясающий результат
Я пока лазила по сайту нашла вас) очень похожи на мои) но у меня прикус перекрестный еще( но ваш результат это нечто! смотрю и вдохновляюсь на дальнейшую работу
JyLiA, по поводу возраста я переживаю не за процесс лечения, а за ретенционный период( зубы встанут на место, рано или поздно) а вот удается ли в таком возрасте сохранить,то что поставили, вот в чем вопрос
А так да, период подготовки это тоже отдельная тема
Мне повезло с восьмерками, стояли ровно и удалились на раз-два,а вот кому долбят, пилят и режут, тем не повезло конечно. Пластика тоже прошла нормально. Мне осталось сделать чистку и ВПЕРЕД! Правда хочу еще к одному орту сходить, для успокоения души, по поводу расширения ВЧ, потому что одна из консультирующих меня ортов говорила что мне нужен этот Дерихсвайнер (вроде так) .а остальные сказали не надо. Вот и думай...
Sarbona, а я так поняла ретейнер потом на внутреннюю часть зубного ряда наклеят или все)
Все от случая к случаю. Моя коллега (28 лет), например, ставила одновременно со мной и у неё подобная Вашей ситуация(даже хуже) удаляли (не по положению, а из за кист) два зуба внизу (5-ки) и общей сложности у нее преварительно через пол года снятие. Т.е. всего 1,5 года. Это кажется что долго, на самом деле время летит, главное не заморачиваться
и верить в результат!
Ой, я на все согласна) и на ретейнер и на капу, лишь бы назад не вернулось. И скорее бы уже поставили,что бы тоже отсчитывать сколько прошло
А в результат я верю, насмотрелась всего здесь, есть и правда по сложнее моего случаи и ничего, ходят теперь улыбаются во все 28 (ну или сколько там у кого осталось)))
помню, когда только изучала эту тему, в смысле про брекеты вообще, то попалась мне в сети фотография какого-то пациента с лицевой дугой - вот это жееесть, на мой взгляд
решила для себя, что готова носить все, что потребуется, лишь бы не это орудие для пыток
Kanka, Да, это жесть! и с этой конструкцией еще как то спать надо ,кому прописывают носить на ночь
да..не дай бог конечно
да уж )) но или мне кажется, или я где-то читала, что благодаря современным брекетам необходимость в этой штуке отпала. ну, может, за редким исключением, по каким-нибудь ооочень особым показаниям если только
а раньше только ими и лечили) представляю, сидят в школе ученики, у каждого третьего эта хрень на голове
кто-нибудь сзади толкнет и вообще без зубов останешься