прием, 7 месяцев и вопрос
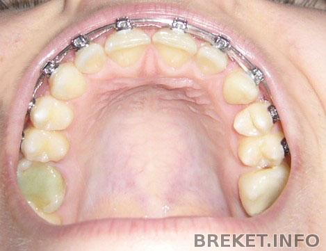
итааааак) всем привет)) нам 7 месяцев с небольшим)) сегодня я была на приеме у своей ортодонтши)) она молча сняла старые дуги, стала там что-то накручивать и в конце поставила новые дуги на обе челюсти. затем дала мне зеркало и сказала: Верхняя челюсть почти готова) осталось промежутки закрыть) и возможно скоро снимем))))))
радости моей нет предела!!!!!!!!!!!!!!!!!!!!!))))))))))))))))))))))))) кстати, накрутила мне что-то типа чейна из проволки какой-то) уж не знаю как это называется)
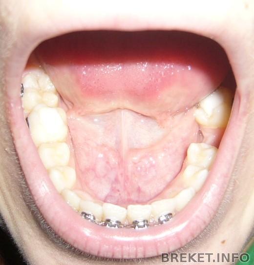
зато насчет нижней сказала, что, во-первых, левая единичка не понятно стоит, по корню правильно стоит,а по коронке нет. так что тоже еще пусть встает как надо. и самое главное!!!!! я должна решить что мне делать с местом, где раньше была шестерка (ее мне еще в детстве удалили добрые стоматологи). у меня есть два варианта: 1) это ждать когда вылупится восьмерка (а она уже чуть-чуть прорезается) и перетягивать на место шестерки семерку,а восьмерку соответственно на место семерки. скажу сразу! мне это идея не очень нравится, так как неизвестно сколько еще восьмерка вылазить будет и неизвестно сколько потом все на свои места поставится. и мне вообще кажется это оооооочень долго и может быть даже невозможно! это же семерка и восьмерка... 2) второй вариант это на место шестерки ставить имплант и оставлять восьмерку и семерку на своих местах... этот вариант мне нравится больше, но я боюсь и ,естественно, все упирается в финансы. насколько я знаю имплант не из дешевых удовольствий.
хочу спросить вашего мнения как лучше поступить??? и еще, если кто-то ставил уже, расскажите как с брекетами все это дело уживается)
и конечно выкладываю фото моего результата на сегодняшний день)
Комментарии
cake_lime, я вот тут намедни читала очень умную консультацию Вредителя - зубастика, http://breket.info/blogs/279949 , по поводу перетаскивания 8-ок. Меня эта тема тоже волнует - тянем восьмерку (правда, полноценную) на место 7-ки.
7-ка была мертвая, вот мой орт и принял решение тянуть его. Так это один зуб! А если 8-ку и 7-ку! Едет он крайне медленно! Мы то ждем, что он отдыхает, то двигается со скоростью улитки. В общем, в декабре год будет моему ношению - он сдвинулся на только на 2 миллиметра! Такими темпами, я еще 1,5 года точно ждать буду.
И мой доктор уже предупредил, что будут сложности со стыковкой 8-ки и 6-ки.
А в консультации Вредитель-зубастик написала, что 8-7 зубы наклоняются коронками, а с корнями - проблема. Тут я на сайте и не видела, чтобы два зуба тащили (7-8), и сколько вам ждать, когда вылезет 8-ка?
Если же рассматривать вариант с имплантом - то все равно нужно дождаться, пока полностью проклюнется 8-ка....
А как с другой стороны на НЧ с 8-кой дела обстоят?
Ennelyne, эх...читала я это(( а насчет восьмерки с другой стороны: она не проклевывается даже! так что мне вдвойне не понятно зачем вообще оставлять восьмерку, если с другой стороны ее еще нет. до этого я подумывала выдрать восьмерки...но я пипец как этого боюсь. через месяц на прием. предложу вариант с удалением восьмерок.
Вот и я тоже подумала об этом варианте. Послушайте еще, что ваш доктор скажет. Затянуться все может сильно. С другой стороны - там масса нюансов по имплантации: противопоказания, состояние кости, финансовая сторона дела и т.д. Вот взвесьте все за и против и хорошенько подумайте, как в данном случае лучше поступить. Кстати, можете у наших медиков спросить, какое у них мнение по вашей ситуации. Дополнительное мнение не помешает.
Я бы на вашем месте выбрала 1й вариант. С зубками всю оставшуюся жизнь жить, и по возможности пусть пока они будут свои. Решать Вам, это просто мое мнение.




на ВЧ у тебя еще очень большие промежутки, у меня вот уже больше года промежутки от удаленных 4ок закрываются...не знаю как у тебя будут, дай Бог, чтоб быстрее шел процесс...я думала, что уже как месяца 2-3 без них буду, аннет...о снятии и речи не идет..увы(
а на НЧ думаю вставлять надо, ждать можно очень долго...8ка может лезть несколько лет..