ПОСТАВИЛА!!!
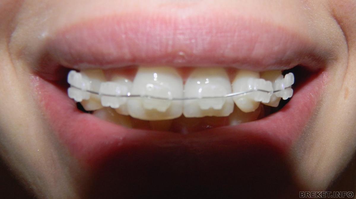
Люди добрые, свершилось! Двенадцать лет стоматологи уговаривали меня на сей подвиг, и вот оно чудо! И что я вам хочу сказать, вообще это все не так страшно как кажется. Ставить, конечно, не больно. Даже когда зуб сепарировали было вполне сносно, а главное быстро. Дает мне моя врач зеркало, говорит:"Зацени!", я так аккуратненько вглядываюсь и говорю:"Блин)))" и так смешно стало, сама не знаю откуда этот смех
но это видать хороший знак.
Вчера, вообще, больно не было. Только кушать страшно было, казалось что могу что-то сломать. Поэтому свой первый суп я проглотила не пережевывая, как голодный пес. Ночью зубы стали распирать, но терпимо, утром немножко хуже. А сейчас нормально, почти не болит. И что самое интересное, говорю я прекрасно, и обещанного фонтана слюней тоже нет.
Конечно, мне пока только на ВЧ брекеты поставили, если бы сразу две заделали я бы не так радостно порхала, но все-таки порхала бы ))
И улыбаться не стесняюсь, как вижу кого-то так улыбка сама на лице натягивается ![]()
Комментарии
Поздравляю с установочкой)))))!!! Да правда всё здорово смотрится, удачи в дальнейшем лечении))))))
фотка без бс так напоминает мою прошлую картину, но мы с вами на пути к красоте и успеху))....
А какой фирмы брекеты у тебя?
Мои поздравления ![]()
Смотрится замечательно! желаю быстрее привыкнуть ![]()
У многих читаю профили, ставят на одну челюсть, потом на другую, мне же задействовали сразу обе. В чем разница? Кому-то врачи объясняют?
Поздравляю!!! Мне тоже вчера поставили...так сказать коллеги по счастью
Желаю быстрого привыкания!!!
Поздравляю! Добро пожаловать в наши ряды ))
Ребята, спасибо огромное за поддержку и поздравления! Замоталась я маленько, семейка моя бессовестная все внимание требует. И вот сегодня прекрасным утром пока все дрыхнут, я тихонечко добралась к вам))
Nataliiiii и MARISOBEL я самая безответственная и глупая на этом форуме, потому что пошла к врачу которого давно знаю, наглядно заценила как она выровняла зубки двум своим медсестрам, доверилась и поставила то что она посчитала нужным. Единственным моим вопросом к ней был :" Это не больно?". Вот такая я непутевая и безпрофильная
Silenas, коллеги это точно! Будем делится впечатлениями)
Ирина86, мне поставили на верхнюю челюсть мотивируя это тем, что когда зубки на ней выровняются то нижнюю как бы под нее будут ровнять. Вот так мне объяснили, а еще сказали радоваться что постепенно, что так намного легче привыкнуть.



давай заполняй профиль))