Дневники

Дождалась!

Знакомые посоветовали плотно пообедать перед установкой, потому что потом будет ну очень неприятно кушать. Решила перед приемом зайти куда-нибудь вкусно поесть, повгрызаться со всей силы в еду, так сказать) Но планы мои порушились, ужасно опаздывала к врачу, успела захватить какой-то слоеный пирожок по дороге и съесть его в метро. Вот моя последняя добрекетная еда - слойка с сыром и брынзой, спасибо, что подогрели)
Как ни странно, после установки удалось отлично поесть супа и до сих пор ничего не болит. Есть небольшое чувство дискомфорта, и все... Приятно удивлена)

17.10.2014 - 17:34

Еще чуть-чуть и я в ваших рядах)

И снова здрасте В последнее время стала думать, что что-то "из вне" мешает мне поставить эти несчастные брекеты:D Сначала мне собирали "набор" для брекетов неделю, потом наконец-то мы его выкупили Я очень удивилась сколько там всего о.о И дуги (в ассортименте ), и замочки, и эластики, и инструкция (ну как сказать инструкция, просто описание) к этим щеткам, а еще список ограничений в еде (посмотрела я, погрустила, и решила жрать все подряд,пока можно ), и много еще всякого непонятного, а также специальная щетка ортодонтическая, ёршики, и как я поняла, щетка для ч Читать далее »

17.10.2014 - 17:25

Установочка на НЧ!)

Ура-ура, неужели мне поставили брекеты на НЧ?) Спустя 1 год и 3 месяца) Орт подтвердил, что носить даже меньше года, а значит, срок возможно сократится с 2,5 до двух лет)) Все прошло хорошо, к боли и неудобствам готова. Всем процесс установки известен, так что, просто оставлю фото.

novyy_kollazh.jpg

img_20141017_195634.jpg

img_20141017_195521.jpg
Читать далее »

17.10.2014 - 16:17

Обо всем и ни о чем.

Всем привет! С кем общались и скорее всего с кем не общались
Уже 10 месяцев я без железных оков и поживаю неплохо.
Но... Читать далее »

17.10.2014 - 14:41

Неделька..)

Сегодня ровно неделя, как мне установили брекеты на ВЧ. Изменений пока особых не видно... А так хотелось))))) Если честно, то на фото мне кажется, что зубы еще больше искривились.... могу сказать, что между зубками стало появляться пространство. Наверное, они раздвигаются на место удаленных четверок... Иногда побаливают пятерки и шестерки. Первые дни залепляла некоторые брекеты воском, но потом они перестали натирать и воском залеплять я не стала больше. Но сегодня опять проснулась с порезами на щеке. Читать далее »

17.10.2014 - 14:35

#давно не писала....

Всем привет... давно я тут не писала, но читаю дневники исправно.... сегодня у меня очередной прием, а завтра праздник, нам будет 1 ГОД Сделаю коллажик, хотя по мне, что в мае, что сейчас.... разницы уже не вижу.... работаем над прикусом... тяги почти 5 месяцев ношу.... ну поглядим посмотрим, что к чему...!!

17.10.2014 - 13:46

Второй прием у ортодонта)

Всем привет! У меня получилось сделать нормальные фотки моих успехов в исправлении прикуса (правда успехов практически нет).

fotor01017113956.jpg

Вчера была на втором приеме у орта! Мне заменили мою первую дугу на нижней челюсти, теперь она с ками-то странными колечками по середине.. Правда на фото не видно этих колечек(((( Новая дуга заставила зубки снова болеть и я если честно этому рада, поскольку на НЧ зубки, как мне кажется, совсем не двигаются.... Читать далее »

17.10.2014 - 11:18

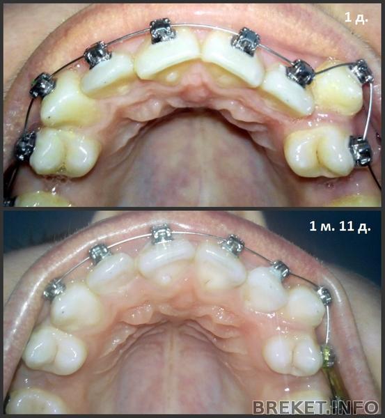
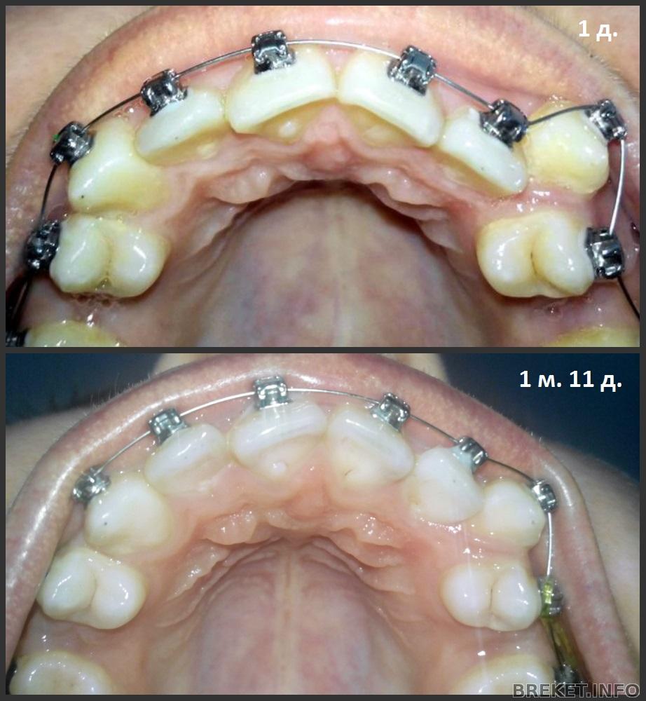
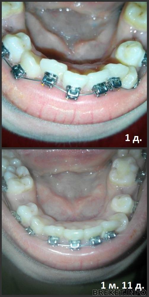
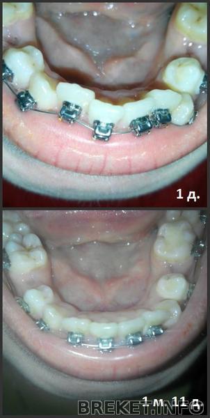
такие дела

novyy_kollazhgg.jpg

novyy_kollazhhhh.jpg

Не спец я делать коллажи, к сожалению.
Но изменения я чувствую и вижу. НЧ двигается хорошо, а вот на ВЧ меня радуют только клыки. Единицы странно загнулись вовнутрь, а двойки вылезли вперед( По-моему стало хуже, чем было.
Орту спрашивать не хочу, а-то один раз она уже поворчала на меня. Не любят все-таки врачи, когда им надоедают глупыми вопросами и советами. Читать далее »

17.10.2014 - 11:03

Тянем-потянем!

А у нас сегодня праздник! (ох, чувствую, завтра я по-другому запою...)
Угадайте-ка, что мне сегодня нацепили на зубы вместе с новой дугой.
Да, правильно, целую одну тягу!

imag5642.jpg

И это не какая-нибудь зверушка неведомая, а паровозик с вагончиком).

Тяги Паровозик

Сказали носить круглосуточно, снимать только на время еды и чтобы почистить зубья. Читать далее »

Керамика или метал?

Всем привет! Уже вот месяц как ношу на ВЧ керамику! Мне оч нравится! Главное красивая и зубки двигаются) Послезавтра идти к орту ставить НЧ. Сначала думала металл поставить, а вот теперь засомневалась! Что посоветуете? Просто я себя сейчас так комфортно чувствую с керамикой, улыбаюсь и знаю, что никто особо мои брекеты не замечает! А с другой стороны на НЧ керамика очень хрупкая и может отваливаться периодически! Ээээхххх..... Никак не могу решиться что же поставить!!!

хээээлпп!!!!

_____________________________________ Читать далее »

16.10.2014 - 18:40