Дневники

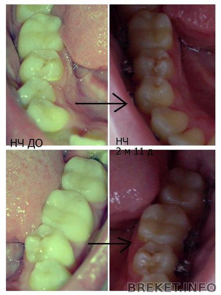
ВЧ И НЧ КОЛЛАЖ ИЗМЕНЕНИЙ

Таких ракурсов я еще не постила
Для удобства восприятия сделала стрелочки переходные))
На НЧ с одной стороны даже виден зуб мудрости, который мне потом удаляли))))

Особенно зацените ВЧ: как выровнялись единички! Они были унылые опущенные, а теперь стали гордыми и поднятыми о_О

3a4e8c4fa975.jpg

de289c0ca0d2.jpg

10.02.2014 - 16:08

Скарлетт Йоханссон

Сегодня увидела в новостях фото Скарлет Йохансон( тема звезды без макияжа). Явно смещенный центр! Я думаю, ее этот факт нисколько не смущает!

image.jpg

10.02.2014 - 15:46

О ЧУДО!!!!!

Всем привет! Я не любитель выкладывать фото. Ношу брекеты почти 4 месяца, а похвастаться особо нечем. Сфотографирую анфас, сравню, с тем что было и прямо плакать хочется - ни-че-го, все также: стоят мои кривульки как вкопанные(((. А на днях муж, видя мое подавленное состояние, предложил сфотографировать с других ракурсов...И, дорогие мои друзья, О ЧУДО...они есть, есть изменения!!! Ура!!! Конечно они не такие уж впечатляющие, но это придало мне сил. Ну и, конечно, мой первый фотоотчет:

picsart_1392032889765.jpg

10.02.2014 - 15:09

Установка брекетов и подготовка к ним

Привет всем!)
Я давно мечтала о том что выравняю наконец свои зубки...) Читать далее »

10.02.2014 - 14:30

Врач не торопиться с приемами!

Всем привет! У меня вот такая проблема: брекеты стоят с конца ноября, то есть ношу первую дугу почти 2,5 месяца. Доктор сообщила что администратор сама позвонит и пригласит на прием через 2 мес. Только мне никто не звонит, и вот сегодня набрала сама и меня записали на конец февраля. Это будет почти 3 месяца с первой дугой. Хочу послушать ваше мнение, это нормально, как вы думаете. Приемы с DAMON Q с таким промежутком. Везде пишут 1,5-2 мес. А тут не спешат. Это может привезти к длительному ношению брекетов, и приемов получится больше и только?

10.02.2014 - 13:02

очередной прием

Сегодня была на очередном приеме, орт сказал, что нашел мой старый снимок с ретенированным клыком и что сейчас всё выглядит так, что даж и не сказал бы, что мы его тянули- на месте в общем))
Клык почти опустился, но естественно имеет подвижность, из-за чего ждем еще 3 недели и работаем дальше- скорее всего удаляем нижнюю левую четверку- жевательная часть у нее почти прямая, орт называет его полешком) жаль конечно, но нужно место для моего резца, который выдвинут вперед, чтоб он встал в ряд. Читать далее »

Даже моргнуть не успела...

Всем привет!
В пт на очередном приеме мой врач сказал, что поставит кнопки или брекеты на несколько зубов НЧ. В моей голове сразу начали скапливаться мысли по поводу лечения и последующей установки на след. приеме. Не успела даже пикнуть, как он начал чистить зубы, сушить и т.д. Бац-бац, и я с тремя брекетами на НЧ!
Думаю, вот она, долгожданная боль от ношения тяг... Но меня снова обделили
Вот такой вопрос созрел: на какое время вам хватает этих резиночек? У меня они рвутся и постоянно трескаются(

10.02.2014 - 06:01

Ужас, снимите это немедленно! ©

Истории из серии "берекеты - фуфуфу".

Приехала в родной город к бабушке погостить. Бабушка с порога: покажи зубы (она не видела мои железяки). *рассматривала-рассматривала*. "Кошмар какой! И надо оно тебе было?!"

Встречалась с подругами, с которыми училась в школе и с которыми не виделась лет 5-6.
Первое, что они заметили, - естественно, брекеты.
Вердикт: кто влюбится в тебя с этим ужасом ужасным, за того и выходи замуж, не раздумывая.

А я, честно, думала, что брекеты вообще симпатяжные и няшные И до сих пор так думаю

10.02.2014 - 01:38

Лечение зубов в брекетах

Ношу БС на ВЧуже 3 недели, мало того, что все болит после вчерашней удаленной ретинированной 8-ки на НЧ, так вот сегодня обнаружила потемнение на верхней 6-ке. Ну е-мае! Кто лечил зубы в брекетах, поделитесь как сложно это проходит? Как колоть будут обезболивающее, а сверлить как? Сильно геморойно? И вообще какого черта он потемнел?! Ведь было же все тип-топ до установки БС!

10.02.2014 - 00:52

Установка брекетов и предварительная подготовка(немного о ценах)

Наконец свершилось и после нескольких лет раздумий я установил брекеты, собственно изначально это мероприятия казалось не совсем приемлемым по цене(на самом деле все не так страшно, либо я еще не ощутил тяжесть регулярных посещений стоматолога для замены дуг и прочего).
Подготовительный этап: Читать далее »