Дневники

?

А вот и правда интересно, как скоро надевают дугу обратно после удаления четверок?

07.02.2014 - 15:01

Новенький с мезиальным прикусом

Всем привет! мне 18 лет
где-то лет с 15 у меня начал расти клык, выше того места, где он должен расти( дистопия), тогда особого значения, этому не придавал, думал, сразу не исправлять. Этим летом, когда мне было 17 лет уже, я пошел к ортодонту. Она посмотрела, и сказала, что ситуация у меня сложная : мезиальный прикус. Сказала, что он очень сложный, и таких пациентов, как я было только 2 или 1. Посоветовала операцию. Орт была молодая, и из-за того, что ее стаж был мал, я решил пойти к другому орту, в частную клинику. Читать далее »

07.02.2014 - 14:46

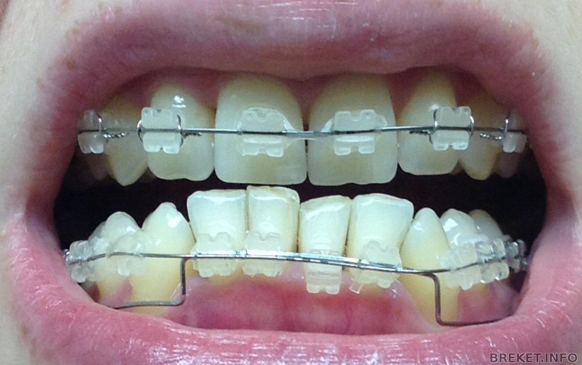
Изменения на последней дуге

ношу последние дуги
орт сказала мол на этой дуге исправляем всякие мелочи, будут пожелания мол - говори

а я даже не знаю, вроде ровные зубы, прикус и в Африке - ровные) ?
а может я чего-то не замечаю..

bez_imeni-1k.jpg

дорогие брекетобратья, если вы что-то видите( куда что-то можно довернуть) - напишите пожалуйста)

dsc_0018k.jpg

07.02.2014 - 14:09

Минус один

Распрощалась с одной из четверек сегодня. Читать далее »

07.02.2014 - 14:01

Зуб сьехал, дуга вылезла

Смотрю, зуб начал уползать, оказалось под лигатуркой дуга не стоит в брекете. Как только затолкнула дугу в брекет, сразу зуб начала тянуть дуга.
Ох уж эти брекеты и дуги) Полезно часто смотреть на свои зубы, наконец то я нашла хотя бы что -то полезное, в том, тчо пялюсь на свои зубки)
Всем хорошего дня!

брекеты и дырки

Котики, сильно ли у вас ухудшилась ситуация во рту после установки.
До установки у меня была одна единственная пломба, на сегодняшний момент у меня уже + 5 пломб. я ходила к гастроэнтерологу , думаю мало ли из за желудка, там все ок. а когда начинаю заглядывать в рот с зеркалом и фонариком вижу новые черные точки, чищу как сумасшедшая всем, а толку ноль

07.02.2014 - 13:00

Компьютерное моделирование

Подскажите делал ли кто из Вас компьютерное моделирование лица до установки брекетов??

07.02.2014 - 12:32

Привет всем! Я новобранец!

5 февраля вечером исполнилась моя давняя мечта! Мне 27, долго решалась и вот наконец-то!)))
До этого был месяц всяких манипуляций и подготовок к установке брекетов на вч Damon Clear, а на нч Damon Q. Перелечивали больной зуб, залечивали кариес и чистка, куда-же без нее!? и вот теперь я в железочках, мне очень нравится, прям как украшения на зубах))) Коллеги на работе оценили!
Теперь я красивая-красивая)))
Сегодня можно считать второй день. Зубки начали свое движение, все болит, ничего жевать невозможно, хотя кому я рассказываю))) Читать далее »

07.02.2014 - 12:23

Минус второй

Позавчера избавилась от второго тайного пакостника.
Удаление было чуть более сложным, т.к. зуб после многократных сверлений никак не хотел поддаваться и покинуть свой уютный дом)) Доктор со всех сил его крутил -вертел - высверливал. Вкололи 2 укола анстезии, потому что во время этих раскручиваний появились тянущие болевые ощущения.
Еще казалось ,что челюсть у меня отпадет вместе с зубом. В итоге было принято решение распилить этого негодяя)) И тогда зубик наконец-то извлекли. Читать далее »

Они хрустят((((((

Чем ближе к установке... тем больше начинают хрустеть зубы.... я слышала что во время ношения БС такое бывает когда они двигаются. а тут я же ее еще не поставила... я этот хруст начала замечать еще года три назад.... я то понимаю что зубы не вкопанные в челюсти и подвижные.... но чтоб во время этого движения был хруст (его не слышно, но чувствуется такое "щелк".....) кстати после удаления 6-ки также начала "хрустеть" 5-ка.....
скажите мне что от БС они не повыпадают!!!!!((((((((((

07.02.2014 - 11:49