Дневники

очередной прием и я- подслеповатая!

у меня уже по полгода стоят квадратные дуги! или я тормоз, или плохо вижу, но я только сегодня это увидела! это значит, что конец этим страданиям уже близок, да?
а еще оказалось, что мой орт курит! ай-яй- яй! я тут мучительно бросаю, а он приходит и пахнет от него чем- то таким терпким, с вишневым привкусом, хорошим табаком , короче. но все равно я разочарована этим фактом!
а еще он обещал меня записать к супер- пупер профессору- парадонтологу, т.к. мои траблы с деснами никуда не деваются. откачали мне один гнойничек, а тут появился новый, на сантиметр ниже предыдущего. Читать далее »

закупилась

20140115_202820.jpg
счастью моему нет предела) мелочи но приятно) спасибо бабушке чио согласилась оплатить мои покупки)))) итак, Rocs попала на акцию 2 и 1 бесплатно, грех не купить))) попала на акцию по паста Splat по 72р. Тоже решила попробовать такие, до этого покупала лечебные травы и вполне ей довольна. Пенка Splat решила попробовать с мятой, до этого использовала с малиной-довольно мило, особенно когда нет возможности почистить зубки. Эх, как я буду без пасты и пенки в самолете 7 часов(( придется водой полоскать. Читать далее »

15.01.2014 - 20:02

масло чайного дерева для отбеливания: кто пробовал?

и снова здравствуйте)
шастала я по просторах инета и нашла довольно интересную информацию - мол, масло чайного дерева может так отбелить зубки, что никакая паста тягаться не сможет. а у меня как раз флакончик масла на полке завалялся, покраснения на коже им убираю. я бы попробовала, но как-то побаиваюсь что ли...вдруг эмаль испортит или что-то вроде, знаю ведь, что натуральные концентрированные масла довольно агрессивные...
потому собственно и вопрос: кто-нибудь пробовал отбеливать зубы так? дает какой-нибудь результат? Читать далее »

15.01.2014 - 18:51

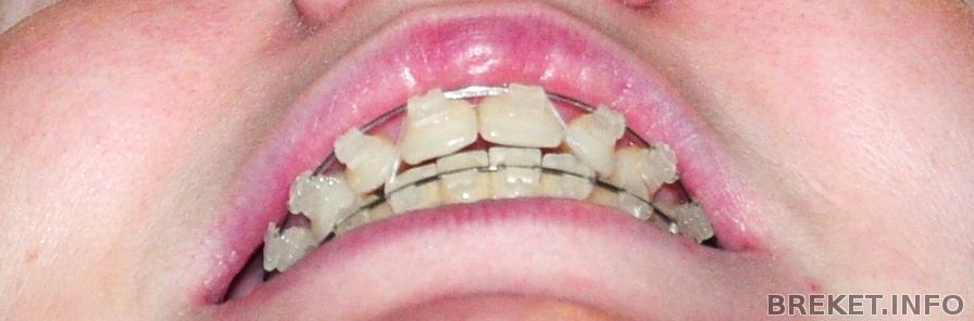
Тягам 2 дня

Искры с глаз, втрой день с тягами.
Смотрите результат))

Первый день

9 мес 4.jpg

Второй день
tyagam_2_dnya.jpg

15.01.2014 - 18:11

Ляляля, мысли материализуются!

Звонила я сегодня своему фею, чтобы записаться на первый плановый прием. Еле дотерпела ровно до середины месяца
Звоню, отвечает мне как всегда весело и вежливо. Выяснил, что устанавливали в середине декабря, говорит "Что-то я как-то маханул с февралем-то, давай ка по-раньше." И записал меня на 31 января. На две недели раньше,прям как я и хотела.
Еще две недельки подождать! Урааа!
Мысли материальны.

15.01.2014 - 18:06

Стоп...Снято))))

Вот и все...брекеты снято. Впереди еще реставрация передних зубов. Результатом я не очень довольна, но так как я беременна решили снять. Не знаю, может после кормления еще раз одену.....

novyy_kollazh.jpg

от скуки)

от нечего делать решила сделать коллаж. и увидела какие результаты произошли за два месяца! кто бы мог подумать, что это может принести столько радости и счастья))

n.jpg

15.01.2014 - 16:15

губы

Уже привыкла что с установкой брекетов на губах постоянно появляется пленочка, часто сохнуть стали. Сегодня вот проснулась и вообще не смогла пошевелить губами. Полностью сухие. К тому че начали появляться полоски на губах и при открытии рта даже не широко начинают трескаться и болеть. Полдня уже мажу всеми гигиеничками, сухость не проходит. У кого была похожая ситуация, чем вы мазали, что самое эффективное?

15.01.2014 - 15:25

Вот и познакомилась я с межчелюстными резинками

Вот сегодня уже точно ровно год,вроде все уже цевильненько выглядит,только двойку одну сегодня подпилили,чтобы ее еще немного развернуть,ну и что на счет низа,надо тянуть зуб задний,чтобы дырень закрыть,т.к. для протеза места маловато,в марте вроде как снятие есть шанс к выпускному уже быть с вах какой щикарной улыбкой

первые межчелюстные резинки

15.01.2014 - 15:03

Неужели все так ужасно?? Подскажите

Всем привет! у меня не было комплексов по поводу своей улыбки, я не прикрывала рот когда смеялась, и никто не говорил мне что у меня кривые зубы, НО я видела что не все идеально...и иногда мои не ровные клыки давали о себе знать, они ноют и болят, будто бы давая понять что они хотят на правильное место Читать далее »

15.01.2014 - 14:06