Дневники

2 месяца + установка НЧ

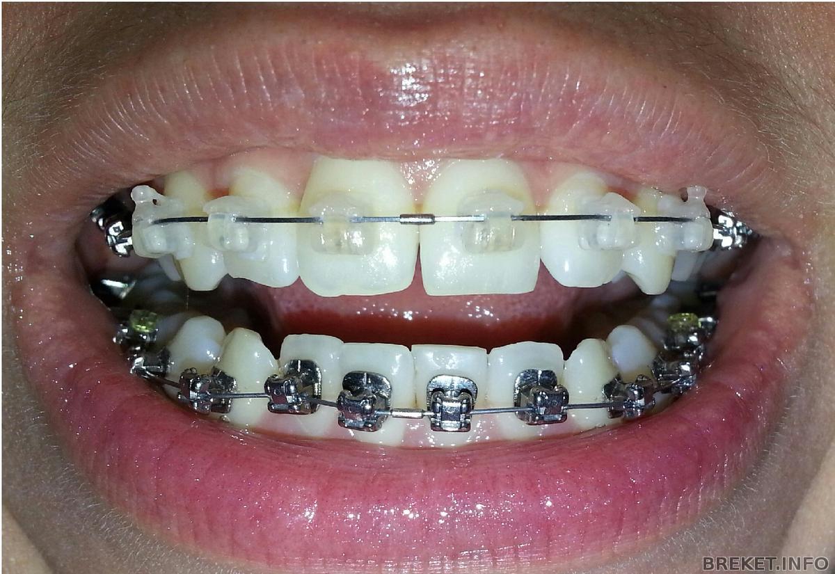
Привет всем! Итак, 15-го ноября установили брекеты на НЧ и заменили дугу на ВЧ. Привыкать гораздо труднее, чем к верхним. 4-ый день болят зубы при надавливании. При жевании c одной стороны зажевывается щека, с другой - колет дуга, которую оставили с учетом расширения зубного ряда. На четверках внизу сделали резиновые подушечки и смыкание челюстей частично нарушилось. Что радует и вселяет надежду, это то, что практически расправился верхний ряд

2 месяца.jpg

18.11.2013 - 12:41

Только для девочек.деликатный вопрос

Как вы спасаетесь в период менструац.цикла без шоколада?
я пробую различные мусы,шоко молоко.но все не то..
нутела из мягкого,а всё остальное далеко не вкусняшка)

18.11.2013 - 12:37

Брекеты вне дома

Очень интересно как вы чистите брекеты после еды вне дома?!
Утром после йогурта и чая на работе я просто полоскалкой воспользовалась, а после супчика пюре паста и щетка, с зеркалом на работе бяда, так что чистила на ощупь на основательно вроде, минут так 7 точно.
Самое обидно было что смотрят как на дуру, комплексов хоть и нет, но все равно не приятно

18.11.2013 - 12:33

1 МЕСЯЦ.......

Привет!!! У меня первая дата, сегодня ровно месяц как я нацепила БС на ВЧ))))) Полет нормальный... изменений как таковых пока нет.... разве, что стали щели появляться , особенно между единичкой и двоечкой... 22 ноября назначет первый визит к орту... будет подключать мне 8 на ВЧ и ставить БС на НЧ..... жду с нетерпением.... !!!

Пару дней назад обзавелась зверем .... купила себе Ирригатор..... отзывы себя оправдали...рекомендации тоже.... вещь в быту незаменимая))))

Всем хорошего полета и не болеть!!!

18.11.2013 - 11:18

Вопрос всем, кто ставил импланты

На 28 ноября у меня запланирована установка импланта, а 2 декабря снятие брекетов.
Вот сижу и думаю, буду ли я в состоянии через 4 дня открыть рот)) Есть вероятность, что будет отек, или еще что… А с другой стороны, совсем не хочется откладывать снятие.. Поделитесь опытом?

18.11.2013 - 10:37

воск

Привет Всем,а вы все пользуетесь воском?
мой док сказал что потерпи,и полощи ромашкой и шалфеем,в субботу мне установили,вроде норм терпимо.

18.11.2013 - 10:21

Мое первое День рождение с брекетулями (и видимо не последнее)

Так уж сложилось,что сегодня мое первое ДР с брекетулями. Мне кажется,что и не последнее. Все-таки носить мне их 1,5 года (а еще даже месяц не проходила). Уже привыкла и даже их не замечаю, они таки керамические. Посмотрим что будет уже в след году в этот же день

И снова в бой..

Привет всем!
Ну вот и сбылась моя теперь уже мечта. 15.11 мне одели брекеты на ВЧ во второй раз (на нижней пока их так и не снимали).
23.08 мне сняли брекеты, тут же зубы поехали (хотя были закреплены ретейнером и капой). После напрасно потраченных почти 10 тыс руб на 3 капы, которыми пытались вернуть уползшую единицу на место, я сказала, что все, хватит, давайте я оплачу брекеты и вы мне долечите нормально.
В общем, теперь я спокойна. На сколько брекеты поставили врач загадывать не стал, но моя б воля - я б их вообще теперь не снимала.))
Удачи вам)

От любви до ненависти.

В последнее время стало неудобно "перемалывать" пищу на жевательных зубах(6-7). После последнего приема это стало очень явно. 6-ка стоит с брекетом-замочком, а на 7-ках ничего нет, поэтому получается, что 6-ка вместе с рядом стоит, а 7-ка уплыла во внутреннюю сторону и не стоит в одном ряду. Из-за этого чувствую неудобность и как-то...не очень.
На след приеме обязательно спрошу, что будем с этим делать.
А пока только поставили последнюю вроде стальную дугу и закрываем чуток оставшиеся щели после 4-ок. Читать далее »

Казус)

Привет! Избавился на прошлой неделе от верхней восьмёрки. Удаление прошло вполне терпимо, учитывая, что зуб был уже проклюнувшимся и было за что ухватиться. Лунка уже практически не беспокоила, пока вчера меня постигло одно приключение))
Вчера, уже вечером, решил подкрепиться аскорбинкой-кто забыл-такая круглая жёлтая горошина) ну и как бы это вам сказать...она аккурат в лунку то и попала! И ни туда, ни сюда.. В ход пошло полоскание, зубная щётка, зубочистка.. Читать далее »

18.11.2013 - 07:57