Дневники

Ни мало, ни много)

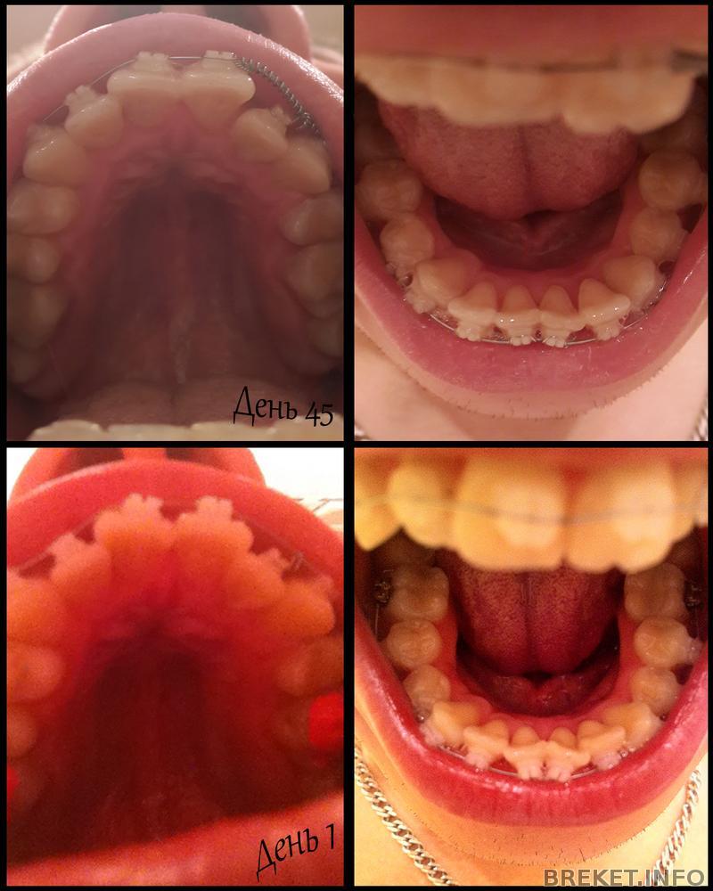
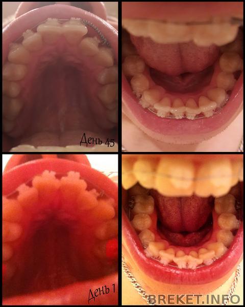
И так позади 45 дней ношения БС, результат не заставляет себя долго ждать)

untitled-1.jpg

Позади так же один прием у ортодонда, одели пружину и радостно сообщили что врач уходит в отпуск до января месяца) И на свой сразу созревший вопрос "А как быть если случится ЧП?" ответа внятного я не получил, кроме как "Старайтесь без ЧП")) Ну вот как-то так.

15.11.2013 - 21:14

Сегодня сделала операцию на ретинированные клыки!! что делать?

Поднялась темперетура 37.5! Может это быть инфекция или после анестезии ранка так вот....

15.11.2013 - 20:24

как у вас прошел первый прием после установки?

Скоро уже месяц как установила на вч. Скоро прием. Даж не знаю как он будет проходить, что орт будет добавлять и тд. Понимаю, у каждого свой случай, но интересно как у вас прошел первый прием после установки?

15.11.2013 - 20:21

Мой путь к идеальной улыбке. Часть 1.Предистория...

Уже довольно давно сижу на этом форуме, и все никак не хватало смелости написать. Вот решила написать, может быть кому то будет интересно почитать мою историю...

Мои проблемы с зубами, а точнее с прикусом преследуют меня еще с детства. Зубки с детства были кривыми, мы много раз в детстве ходили с мамой к ортодонту, вердикт один: Лечение брекетами. Но тогда средст на столь дорогостоящее удовольствие небыло, да и в детстве я не думала об этом. Читать далее »

15.11.2013 - 19:42

их осталось 30 =D

Алоха, друзья!
Решила чуть-чуть отчитаться)
- 2 зуба,полет нормальный
Вчера удаляли вторую верхнюю восьмерку. Ковыряли долго и усердно, дольше чем первую, хирург сказал,что ни с кем так не возился еще с верхними зубами. Делал аж несколько надрезов,ковырял,тянул..
Не больно,нет, только очень уж шея сегодня болит, видимо мышцу потянули) зато вытащили этот несчастный зуб,который успел отрастить вот такееееный корень!
Встала с кресла,послали умываться,я удивилась,зачем? Подошла к зеркалу и поняла.. надо было удалять 31 октября,грим бы не понадобился на Хелоуин Читать далее »

Жду заветного дня!

Всем привет!)) Ну вот и я решилась на этот не легкий шаг!Так что стану скоро брекетоносцем! Читать далее »

15.11.2013 - 18:11

Помогите!!

Оххх...долго меня тут не было...за это время столько изменилось всего...
Ну, во-первых, моя самая большая радость - мой клык левый наконец-то вылез, на него месяц назад наклеили брекет и теперь вот жду!
Ортодонт моя обещала мне, говорила что к концу года до НГ точно приточно снимут, но вчера она меня огорчила и сказала что врядли( да я и сама понимаю, что не все гладко и много чего еще исправлять, но все же!
Мне кажется что центр сместился влево! вроде все в одном ряду, но чтото не то!! рот какой то кривой, да и улыбаться неудобно както! Читать далее »

15.11.2013 - 18:11

и снова ощущения ,как в первый раз

Привет,дорогие мои Брекетоносцы!!!!!!!
Сто лет сюда не заходила-совсем обнаглела ))))
Ну-с,начнем рассказ.13 числа ездила к ортодонту.
Поставили мне новые дуги-третьи по счету.
Это получается вторые квадратные у меня. Читать далее »

лечение продолжается

Прошло три месяца как сняли брекеты.сегодня состоялся первый прием. Если честно то он меня не порадовал. Мой орт настаивает на хирургии -удаление всех восьмерок. Ужасно не хочу это переживать. Сделали чистку и орт упомянула что парадонтит не куда не делся на что я была в шоке: какой еще парадонтит откуда, когда, что это вообще. Сказали каждые полгода делать чистку. Вообщем ушла я с приема с мыслями о страшном слове - хирургия и не менее с страшным-парадонтит.

15.11.2013 - 17:31

Наклон челюсти

Ношу брекеты уже год и только недавно обратила снимания на такой вот перекос. Ортодонт говорит, что это врождённое и нельзя исправить.
У кого нибудь было такое и удалось ли это убрать?

img_1961.jpg

15.11.2013 - 17:29