Дневники

Брекеты и комплексы

Брекеты мои.
А комплексы чужие Читать далее »

31.10.2013 - 07:51

получила каппу

Всем привет!)) Для тех, кто не в курсе, 2 недели назад мне сняли брекеты с ВЧ) так вот, сегодня я получила каппу) оказалось, что зубки уже немного сместились(( хотя в зеркале я не замечала(( а вот когда одели каппу, стало понятно. ну в принципе не критично) прямо в каппетя и отправилась домой) кое-где на зубки чувствовалось давление) пришла домой, сняла и тааак хорошо стало но вообще буду стараться носить ее как можно чаще, не только на ночь)) Читать далее »

Свершилось!

Вчера вечером установили БС на ВЧ!!!!
Вечером в общаге был полный аншлаг!)
Никто не ожидал от меня такого и все были в диком восторге! Хотя я на самом деле ожидала большей "красоты" от моего вида с брекетульками.
Ночью немного они меня помучили. Часа в 4 хотелось их содрать, выбросить в окно или сделать ещё что-нибудь.Сейчас ощущаю дискомфорт и дикую боль если задеть зубы.
Началась веселая жизнь

Несоответствие в размерах челюстей

У меня ВЧ маленькая по сравнению к НЧ, в результате чего мезиальный прикус. Мой ортофей сказал, что когда я не сжимаю зубы, то с боку смотрится как правильный прикус, а когда сжимаю, то мезиальный (вот такая ерундень)))) Все это из-за маленьких размеров ВЧ.
Еще плюс ко всему обе 5-ки на ВЧ молочные. Причина этого- полное отсутствие постоянных 5-ых зубов. И молочные не выпадают, орт сказал, что лучше постораться сохранить их ка можно дольше, потом будут имплантанты.

100_6565.jpg
Читать далее »

31.10.2013 - 02:10

Ах какая боль, какая боль...

Ну вот наступил следуюший день после установки брекетов здравствуй боль, а думала, что меня это стороной обойдёт
В принципе если зубы не трогать не жевать а только глотать то ничего не болит только дискомфорт. Здравствуй детское питание и кашки У меня вопрос кто что ел в первые дни установки БС.

31.10.2013 - 00:25

Кто-то отмечает, кто-то - нет..

Но вот такое творчество я не могла пропустить мимо

Halloween_pumpkin

31.10.2013 - 00:18

Трейнер для брекетов

Уже недели 3 пытаюсь привыкнуть к этой штуке;( как же я ее не люблю, но она мне помогла так быстро выровнить зубки! Одеваю на ночь и за ночь 1 ка торчащая встает на место! Удивительно, но факт! Беда в том, что ночью выпадает с вч и сплю от этого с открытым ртом;(

Трейнер для брекетов

30.10.2013 - 23:26

Моя история

21 сентября поставила бс на вч и нч;) проблема с прикусом и скученность зубов;( орт сказала попробуем освободить место без удаления, методом сепорации;) завтра иду к орту впервые после установки, оч интересно, что она скажет;)

30.10.2013 - 23:19

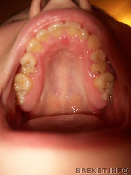
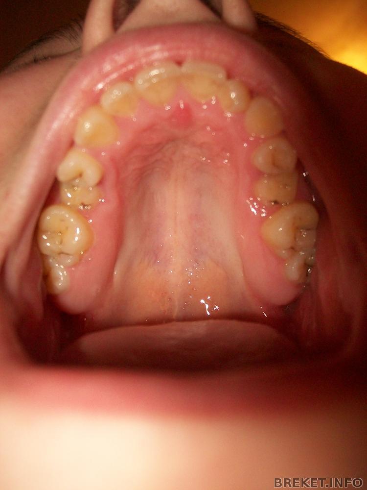
ВЧ - 3 мес.НЧ - 2 мес. все не так уж плохо)

Снова была на приеме у своей ортофеи ) Сменили дуги и она сказал,что все идет нормально..даже хорошо
ВЧ хорошо подравнялась,клык двигается в верном направлении.
Воооообщем, вот фотки.

vch-_1_mesyac.jpg

vch-3_mesyaca._nch-_2.jpg

Но все равно ещё симметрия нарушена и НЧ кривая.

А как вы считаете,есть продвижения какие-нибудь??

30.10.2013 - 22:26

Страдание и боль, или почему я теперь буду бояться ходить к ортодонту.

После сегодняшнего приёма я с уверенностью могу сказать, что моя ортофея - самая лучшая ортофея на планете!

Я пришёл к ней, она посмотрела на мои зубы и сказала, что пришло время ставить эластики на кнопочки на премолярах
И она назвала меня котиком!!! Мне 20 лет, она меня старше лет на 8 максимум, и она назвала меня котиком)))) Это было так мило, что я прямо растаял

Задал вопросы по поводу плана лечения, она мне всё объяснила и рассказала, как я и хотел. Читать далее »

30.10.2013 - 22:04