Дневники

Пролетело полгода...))

уже почти как 2 недели назад было полгода моего брекетоношения (19 сентября). сказать, что эти полгода пролетели - ничего не сказать! они просто пронеслись... хотя честно говоря, после 18 лет жизнь вообще как-то набирает обороты и годы просто-таки летят .... дак о чем это я? о брекетах))) что мы имеем на данный момент? за это время удалила пока только 2 зуба: 8-ку сверху и 5-ку внизу (неделю назад). один из зубов, изначально планировавшийся на удаление, решили оставить, ура! тянем его в зубной ряд.. вчера орт переклеила 3 брекета на ВЧ (2-е единицы и двойка). Читать далее »

02.10.2013 - 19:05

Лоси , прекратите , вы делаете мне больно

Только что пришла после приёма. Решила сразу написать пост ,а то потом поленилась бы
это бы такой продуктивный приём , что по-моему за все 8 месяцев со мной столько не делали )
орт посмотрела на мои зубы и сказала " не все так страшно , как казалось ... )))"
делали проф. чистку, после чего сделали сепарацию верхних передних зубов ( чтобы встали все в ряд )
думала будут пилить мне по форме , ноо не сегодня видимо позже
натянули мне цепочки(чейны) на ВЧ и НЧ , одели дуги новые )) Читать далее »

02.10.2013 - 17:41

Прикольные реакции окружающих на брекеты

Предлагаю поделиться прикольными реакциями друзей и родственников на вашу улыбку в брекетах!

- ОоОо, а ты когда зубы чистишь брекеты снимаешь?
- Натирает? Ну тогда сними их!
- Дааа... у меня тоже после родов зубы крошились

02.10.2013 - 17:10

Начало

Много лет шла к установке БС, раньше пугали челюстно-лицевой хирургией, и я отказывалась от лечения, да и финансовой возможности не было. Наконец-то 6 дней назад установили на ВЧ + надкусочные пломбы. Доктор обещала обойтись без удаления зубов, что меня очень радует. Несколько дней болели те зубы, на которые налепили пломбы. Из-за пломб не могу жевать, т.к. челюсти не смыкаются, поэтому ем все только протертое и мелко нашинкованное. Сегодня начала очень явно шепелявить, на работе смотрят косо ))), но это же означает, что процесс пошел, и я радуюсь!

02.10.2013 - 16:14

Черные лигатуры

Меня интересует вопрос!есть ли у кого нибудь черные лигатуры?никогда не видела как на зубах смотрится,скиньте фотографии в комментарии если у кого то есть)

02.10.2013 - 15:56

Вопрос к удалившим ретинированную мудрость.Очень нужен совет.

Добрый привет.

Мне сегодня сняли швы после удаления 25.09.2013 спустя неделю. Больно снимать ( аж скальпелем мне разрезали чувство было что по живому режут((( и я не понимала что нитки или кожа. В общем не в этом вопрос. Читать далее »

осень-школа

Моё осеннее настроение
решила написать сюда. Ибо я ужасная пациентка. Началась школа и я не ношу тяги) в конце октября на прием, думаю орт не убьет)

была на приеме

Ну вот я и сходила к орту, вчера была на приеме) Сказал, то что зубки мои очень хорошо двигаются, поменял мне лигатурки, теперь все беленькое, как в 1-ый день после установки А вот установку БС на НЧ сказал придется отложить, т, к низ у меня достаточно ровный))) все хорошо записалась на следующий прием на 31 октября) буду ждать теперь, ну а пока, вот фотки)

image.jpg

Первый шаг к красивой улыбке:)

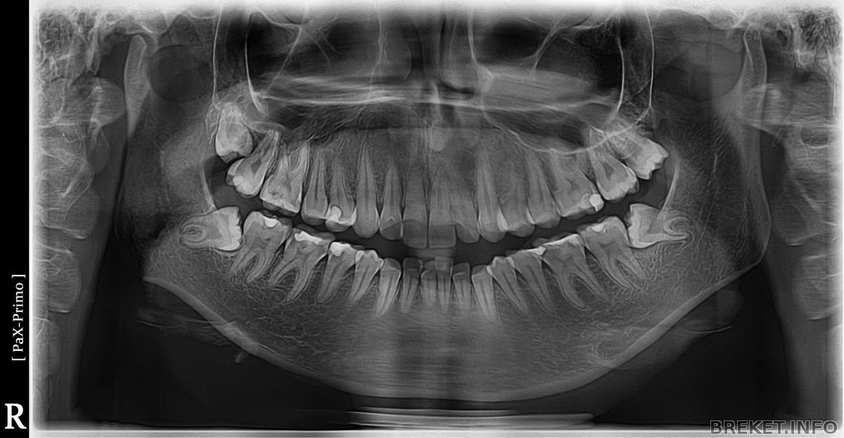
Панорамный

Панорамный снимок
снимок.

02.10.2013 - 14:11

есть ли продвижение?

Прошу высказать мнение! Это мне кажется, или левая сторона действительно чуть-чуть опустилась? Можете называть меня мнительной или какой-нибудь еще, но у меня уже, кажется, началась паранойя - я каждое утро первым делом языком проверяю расстояние между челюстями
разница в фото примерно месяц

почти 6 месяцев. если проводить прямую, то центр уже близок к идеалу!

6 месяцев

02.10.2013 - 13:53