Дневники

Резинка слетела

Девчонки, у меня прямо сейчас резинка слетела, которые ставят до брекетов, чтобы расстояние было. Врач сказала, чтобы я не ела ириски и жвачки. Ела только пюрешки и кашки. Зубы болели страшно, все. Сейчас смотрю одной резинки нет, а там уже дырка образовалась, и это за один день! Врач сегодня не работает.

07.09.2013 - 12:50

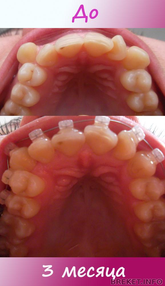
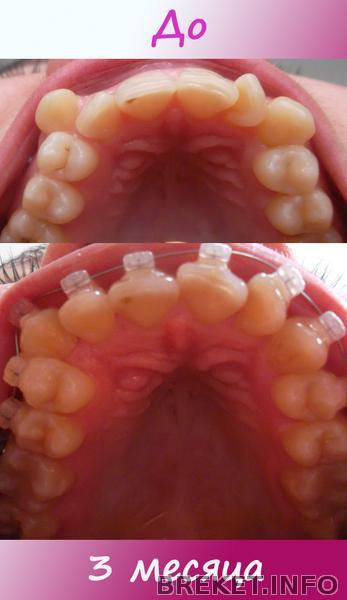
3 месяца прошло)

Привет друзья-коллеги) Пришла отметиться на очередной месяц, уже третий) Рассказать то и нечего, двигаемся к цели потихоньку)) Рассказывать не буду, буду показывать!

3 месяца

Вот собственно зубки

Скулы

Эт я, лицо стало худее, или кажется, но мне все говорят что я похудела)) А для меня это не комплимент - меня полненькой не назовешь, скорее наоборот)

Улыбка в брекетах
Читать далее »

07.09.2013 - 11:47

Поддержите...

Люди, всем привет))) 27 числа мне ставят брекеты, только еще не знаю какие. Врач сказал, что по комп. диагностике узнают, можно ли лингвальные или нет? Правда ли это? Хочу только лингвальные, но если вдруг нельзя-то будут ставить сапфировые....мне кажется, я не вытерплю...мечтаю только о внутренних(((((((((( настроения нет...

07.09.2013 - 09:37

1 месяц

Вот и прошел месяц... У многих, я смотрю , результаты ощутимы к этому времени, а у меня что-то нет...
Фото в дневнике.

07.09.2013 - 08:04

нам 2 месяца)))

Привет, мои дорогие!) Моим брекетам недавно исполнилось 2 месяца) спешу показать вам результаты)
ДО:

ПОСЛЕ:

Может показаться, что зубы не доконца выровнялись, но это не так. Они практически встали, как нужно, но одна единичка немного меньше другой, но это заметно только с ооочень близкого ракурса, так что я не зацикливаюсь на ней)))
И вот моя новая фотка в брекетах) Читать далее »

06.09.2013 - 23:07

Отклеился третий

Не прошло и три месяца, а у меня отклеился очередной брекет. Третий уже. Опять идти, опять платить. Через неделю менять дугу. Наверное, специально клеить не пойду, подожду неделю.
Сказать, что я уже привыкла, и меня подобный факт не расстраивает... Наверное, да. Но это, что я так весь год-полтора-два раз в три недели буду ходить, какой-нибудь косяк исправлять((
Пять недель: три отклеившихся брекета и болтающаяся с краю дуга. Мне кажется, или моя врач могла бы работать и лучше?

ПАНИКА!!

что мне делаать?
брекит отвалился
сам квадратик этот
на дуге держится
просто от зуба отклеился
на заднем зубу
в орту нет возможности еще 3 дня:ооо

06.09.2013 - 21:48

Вопрос про деформацию дуги.

Поход к ортофее был 30 августа. Ставили БС на нижнюю челюсть. Меняли чейн и дугу на ВЧ. Когда меняли дугу орт спросила "Про горячее/холодное помним?" Я говорю "Да конечно". Если бы этот вопрос я не услышала второй раз меня бы ничто не смутило, но я у неё поинтересовалась почему она спрашивает, она ответила что дуга деформирована. Я не пью/ем горячее или холодное потому что эмаль слабая на единичках и мне больно. Почему тогда она деформируется? И как сильно это влияет на движение зубиков? Ответьте пожалуйста очень волнует этот вопрос...

06.09.2013 - 21:46

...и вот так оно и получилось

Свою улыбку в виде покосившегося забора я помню столько же сколько и себя. Меня это не особенно парило, парило маму. Лет эдак в десять мне удалили 4-й зуб на ВЧ, я относила пару пластинок, а потом перестала. Как и зачем прекратилось то лечение ни я ни мама уже не помним т.к. это было давно и неправда. Читать далее »

Депрессия

Короче, я хандрю... Орт пообещал мне на Новый год снятие - а результат и близко не такой, как я ожидала...а проблема не в лечении и не в брекетах - из-за прошлой травмы получился неисправляемый перекос, тяги не помогают исправить прикус...короче, мне просто нечему радоваться. Наверно, лучше было вообще не ставить. Орт говорить, что кривизну можно исправить только операцией, и не факт, что она поможет. Десневую улыбку же ничем не исправишь. И мне не с кем поговорить об этом. Я так мечтала о голливудской улыбке.

Извините за грустные мысли...

06.09.2013 - 20:27