Дневники

Тяги

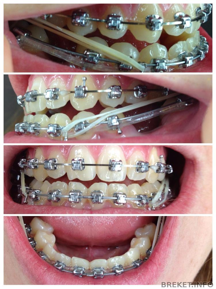
Надели тяги, вот только раньше у меня были тяги (Сretures of the Sea/Sea Lion 1/4"(6/4mm) Heavy 6/5 oz/), а сейчас надели Сretures of the Sea/Sea Otter 3/16"(4/8mm) Medium 4/5 oz Хотелось бы узнать какие тяги были сильнее. первые или вторые?

20.08.2013 - 21:47

Почти месяц

Сегодня без трех дней месяц моим брекетулям.Иногда забываю,что они у меня есть .Лопаю все,ничего не болит давно и даже не шевелиться А так хочется движухи!Простите за качество фото,пока нет фотика,пришлось на телефон.По-моему еще хуже стало

c_53d91a508fc8024407b5c19f187575d6.jpg

20.08.2013 - 20:13

начинается)

Ребятушки, всем привет))) сегодня удалили правую четверку на вч - начало положено) послезавтра удалять левую тоже на вч) Читать далее »

20.08.2013 - 19:34

Полностью укомплектована))

Сегодня мне установили брекеты на НЧ. Прошло 4 месяца после установки на ВЧ. Если честно, то установка была намного мучительнее, чем в прошлый раз. Но это далеко не самое главное. Мне поставили на низ надкусочные пломбы для поднятия прикуса, как сказала ортофея. Хотя я вообще не понимаю, зачем. У меня уже есть эти пломбы на ВЧ, и позже мне все равно прикус будут менять тягами. С нижними брекетами совсем непривычно) Неужели заново придется переживать привыкание?)) Но меня по-настоящему расстроило то, что улыбка губами стала хуже, а про улыбку зубами я вообще молчу... Читать далее »

20.08.2013 - 17:48

Семь месяцев минуло)

Всем прииивет!)))
Давно я здесь не появлялась, аж целый месяц)) Как дела, ребята?
Вчера была дата, 7 месяцев ВЧ и 4 месяца 20 дней НЧ. Дела идут хорошо, две недели, как переехала в Краснодар, новая квартира (съемная), новая работа, новые люди. Только брекеты старые
Как же я за всеми соскучилась) Чувствую на всю ночь тут залипну.
Вот вам коллажик, оцените изменения:
Первый - шесть месяцев, второй - семь.

визит.jpg

fotografiya_1.jpg
Читать далее »

20.08.2013 - 17:28

И снова перенесли квоту

Сегодня позвонили из Ханты-Мансийска, сказали, что переносят квоту на 2014... Надеюсь, что в начале года прооперируют, а не летом. А то изначально ждал в 2012, потом в 13, а теперь в 14
Но, все таки, в этом и хорошая сторона есть, ведь если бы меня оперировали в 2013, то в декабре, а это первая сессия)
Надеюсь, что по приезде в Москву, получится уговорить хирургов записать меня на январь-февраль, чтобы не ждать снова лета, хорошо, что я с некоторыми из них "на ты")

С вами! :)

Всем привеееет!
12 дней назад мне установили брекеты!
Устанавливать брекеты совсем не больно, но вот вечером началось страшное..
Было жутко не удобно и не привычно первые 3 дня. Ела в основном только супчики с лапшой, которые мама специально варила для меня.
Первое время сильно царапались губы и щеки, так все не приятно и болезненно было, что хотелось сорвать эти брекеты! Читать далее »

Как я некстати *влюбилась* в хирурга...

Помнится я уже рассказывала что все мои старания были устремлены к тому чтобы воткнуть имплантант недостающей пятерки.
Подобравшись к 10му месяцу брекетострадания, моя ортогенеральша отправила меня ТРГ а следом на консультацию к хирургу. но обо всем по порядку.
Из перемен: стальная 19 дуга на вч, лигатурки кобаяши взамен изношенным, и матьего чейн на всю Нч
Потом я сделала снимок и стала ждать консультации хирурга. ведь все 10 месяцев я не знала можно ли будет поставить имплант (толщина костной ткани и т д и т п) Читать далее »

Брекеты натирают((

Всем приветик! Поставила брекеты 2 месяца назад. Керамические. Натирают жутко, хоть волком вой. Заклеивала уже воском. Заживает все, потом снова сил моих уже нет. Привыкнуть к ним, мне кажется, НЕРЕАЛЬНО. Кушать невозможно, спать невозможно и вообще жить мешают. Врач говорит, что все быстро привыкают, а я какая-то не такая что ли?! Я тоже хочу быстро привыкнуть. Уже подумываю снять их нафиг и поставить металл. Хожу постоянно злая из-за этого. Разговаривать не могу, шепелявлю и больно. Улыбаться и зевать тоже больно. Что делать?! это ад какой-то. Читать далее »

20.08.2013 - 14:45

На шаг ближе..

сегодня залечили еще один зуб, и поставили под сомнение жизнеспособность другого.. третьего подряд в верхнем ряду((
пульпит, лечен-перелечен и огромная пломба(
через неделю, вместе с врачом ортопедом, будет решаться судьба всех уже пяти! проблемных зубов... и на данный момент шанс обойтись пусть обширной, но просто пломбой только у одного из них! ( остальные - либо штифт в корень зуба+коронка либо навылет и имплантанты... Читать далее »