Дневники

Нет, ну ведь есть разница, да?

Всем привет!

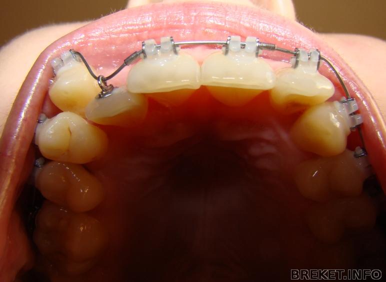
Вот и сходила я наконец таки на второй прием к своему ортодонту=) Поменяли мне мои ужасно желтые резиночки, теперь зубы белее выглядят. Врач говорит что все хорошо зубки двигаются, НЧ вобще почти ровная, не считая одного зуба, и клык на ВЧ почти встал в зубной ряд, чему я несказанно рада Брекет на клык клеить не стала, но дугу на него одела. В следующий прием через месяц, будем уже дуги менять. Скорее бы!

Ну а вы, собратья по несчастью, или наоборот счастью, что скажете? Есть изменения?м?

А эт до и 2 месяц Читать далее »

14.08.2013 - 10:11

Начало начал

Всем доброго времени суток! Сегодня зарегистрировалась на этом сайте, чтобы у меня была дополнительная мотивация. Завтра примерно в это же время буду сидеть у стоматолога и залечивать свои зубы и дыры (они у меня огромные, зубы буквально разваливаются). Это будет первый этап моего пути к ровным зубам. мои родители ещё в мои 12 хотели поставить брекеты, но как-то не удавалось. на сегодняшний день я понимаю, что отступать некуда позади Москва. Это будет новый этап в моей жизни. И я надеюсь, что у меня все получится. Впервые я настроена так решительна. Читать далее »

Ребята!!!! Есть кто нибудь из Волгограда?!!!

Эх, ну хоть кто нибудь отзовитесь....

14.08.2013 - 08:27
аватар: SH
SH
Топаз в платине

Ауууу!Аууууу!

Люди,кто нибудь есть из Новокузнецка??? Мне кажется я тут одна в этом городе сияю железячками...как то даже одиноко!Хотя очередь к орту внушительная!!Где вы все????

14.08.2013 - 07:14

Снова сон про брекеты, постоянно думаю о зубах

И вот я опять думаю про свои зубы. Мучает вопрос - попрощаюсь я в скором времени со всеми четверками или нет. Но это мне может сказать только орт. С одной стороны жду посещения, интересно будет узнать ответы на некоторые вопросы, а с другой стороны - прием 27 августа и останутся считанные дни до учебного года Из-за того, что я много думаю о зубах, мне сегодня снова они приснились. А приснилось, что у меня начали отваливаться брекеты Я была в полном шоке, пыталась их приклеить, но они продолжали отваливаться. Пора прекращать столько думать про зубы)

14.08.2013 - 05:35

(((

Эх,не знаю что они решили,но что-то у них совсем-совсем тихо. Не замечаю я ничего. Не болит,и не двигается во рту ничАво(((

dsc00952_-_kopiya.jpg

14.08.2013 - 00:14

Грозит минус 4 зуба. Есть друзья по несчастью?

Сегодня делала 3D томографию НЧ, чтобы оценить положение ретенированных восьмерок. Корни семерок рассосались. Требуется удаление 4х зубов - семерок и восьмерок, далее - имплантация семерок. В стоматологии все это выслушала с каменным лицом, дошла до метро и тут меня прорвало - разрыдалась. Но жизнь на этом не заканчивается, переживем.

13.08.2013 - 23:04

Натирают брекеты что делать??

Мне не давно поставили брекеты, мне они НАТИРАЮТ не знаю что делать воска у меня нету в аптеках спрашивала там тоже нет. Слышала можно подложить жвачку, это правда? Если есть какие нибудь способы подскажите пожалуйста.

13.08.2013 - 23:01

12. 08.2013 Брекетам 1 мес 8 дней , мне 23!

Это потрясающе! Можно улыбаться и блестеть железной улыбкой ослепляя замочками всех вокруг =)
Брекеты за месяц уже изменили мою улыбку ! Диагноз : ставить не раздумывая! Оно того стоит!

В день рождение

про изменения лица.. ХЕЛП!!!

вот кстати да, вопрос.. когда на консультации сегодня мне рассказывали о том как происходит процесс и почему в моем случае надо задействовать обе челюсти (почти прямой прикус, нет "запаса" на "раздвигание" одной только нижней челюсти) - прозвучало настораживающая меня фраза про расширение нижней челюсти и про то что надо верхнюю тоже расширить.. чтобы не получилось что нижние зубы выпирают... Читать далее »