Дневники

8 месяцев! и первая печалька :(

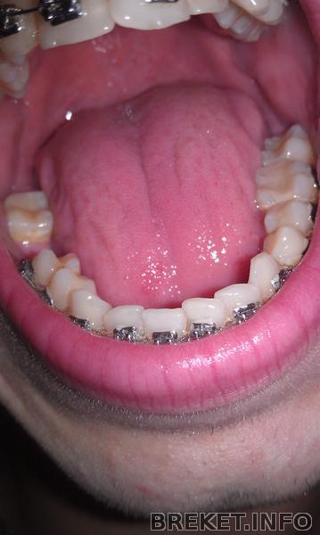
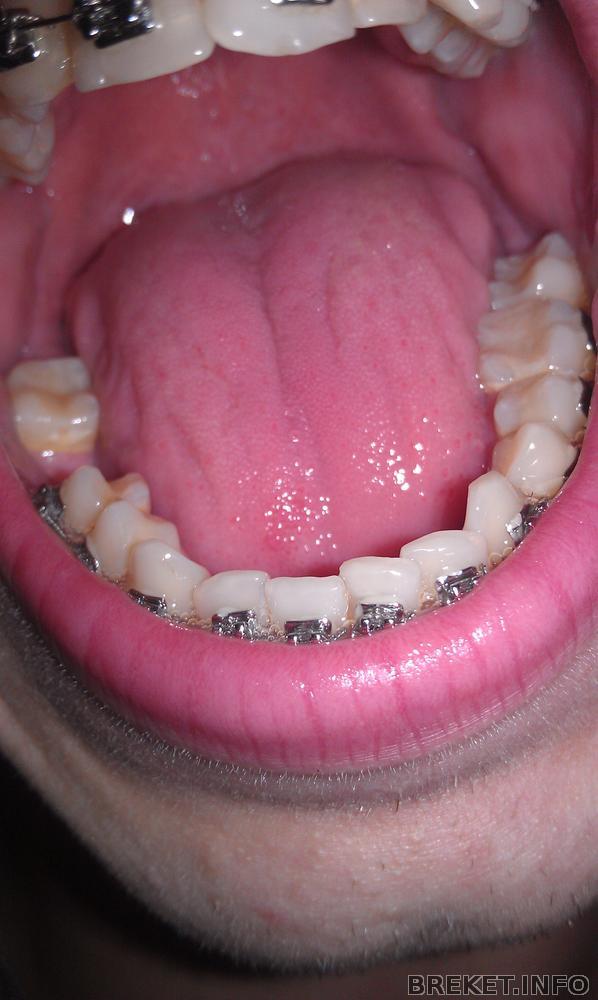
Еще один месяц прошел! Нахожусь на отметке 8 месяцев ВЧ и 2 месяца 17 дней НЧ.
Смотрю сейчас в основном на НЧ,так как дуга там еще не выпрямилась и на прикус.
Месячные его изменения:

8 месяцев

8 месяцев

8 месяцев

Но вот печаль,выскочила дуга из 7-ки на НЧ Самой вставить обратно не получается,завтра буду звонить орту,надеюсь он вышел из отпуска.. Читать далее »

Совсем не по теме но очень нужно!

Кто увлекается ароматерапией, ответьте на один вопросик! Вот есть цель - снятие стресса, расслабление, избавление от беспричинной тревоги. Есть целый букет масел (что я нашла: мандарин, роза, пачули, лаванда, ромашка, жасмин и т.д.). На аромалампу надо 3 капли, на ванну - 4. А нельзя вот, допустим, 6 масел смешать в каком-нибудь пузьрьке и капнуть 3-4 капли этой гремучей смеси? Или это плохо? А сколько масел смешивать можно? Или вообще лучше "сегодня одно, завтра другое"? Может какие ещё масла посоветуете? И ещё - какой фирмы хорошие, натуральные?

06.08.2013 - 21:58

2 месяца

Вот и наступил 2 месяц с брекетулями) Чему я несказанно рада. Сильных подвижек пока нет, но это только пока. А пока коллаж-сравнение 15 дней и 2 месяца.

kollazh_1.jpg

Извиняюсь за качество, особенно первого фото, но, уж что есть, назад время не воротишь, чтобы переснять)

P.S. Кроме как зубы бегемота, у меня моя ВЧ других ассоциаций не вызывает)

06.08.2013 - 20:05

наконец-то радость))

если кто читает, то всем добрый вечер)) сегодня нам 1год и 4месяца)))) и был очередной прием)))) поменяли дуги, надели чейн на обе челюсти) и ортша сказала, что ВЧ снимем через 2 месяцат через месяц я просто покажусь,а потом еще через месяц снятие)))) а вот с НЧ все глухо и медленно((( ждем когда 8ка полностью вылезет и подвинет 7ку (6ки нет с той стороны). так что никому неизвестно на сколько это еще затянется(( Читать далее »

Неделя после установки БС

Верхнее фото
1.
2.На верхнем фото это , когда установили.
Нижнее
2.

imag0387.jpg

2.На нижнем фото неделя! после установки.
3.день установки
установили.jpg

4.7 день после установки
7дней.jpg

5. установка
imag0350.jpg
Читать далее »

06.08.2013 - 18:51

А давайте померяемся... дугами. :)

Сижу я тут, рассматриваю по альбомам чудесные фотографии пользователей, читаю разные-разные истории. И вспоминаю, что БС и дуги у всех стоят разные.)
Давайте что ли припомним, какие у кого стояли, интересно же.))
У меня вот чего только не было. Началось с обычных 14x0.25 с постепенным утолщением. Потом стояли дуги 17 и 19 0.25 торк. Потом с петельками, Сейчас вроде 19х0.25 c крючками (помимо тех, что навешали дополнительно) ВЧ и 16х0.25 НЧ. Скучаю по своим первым дугам, такие тоненькие были, слабенькие, незаметные.) А сейчас стоят мощные, хотя привыкла к ним, как к родным. Читать далее »

Мнения

Хочу посоветоваться с вами.Мой ортодонт говорит,что можно уже снимать брекеты,по снимку все хорошо,ровно.Ношу брекеты 10 месяцев,вот сомневаюсь снимать их сейчас или дождаться 12 месяцев,хотя бы год будет.Ну конечно приклеят ретейнеры на обе челюсти,но все равно боюсь чтобы не искривились снова.Не знаю,что делать.Посоветуйте,пожалуйста))

sdc15580.jpg

sdc15584.jpg

sdc15586.jpg
Читать далее »

06.08.2013 - 18:05

Моя брекет история.

Сегодня 6 августа 13 года, и как раз в этот день... МНЕ ПОСТАВИЛИ БРЕКЕТЫ НА ВЧ!!!!!! На НЧ мне брекеты пока не ставят, потому что надо поднять прикус . Устанавливали брекетушки мне где то час. Что бы их чистить мне купили илигатор или как там его называют ! Позже выложу свои фотографии . Брекеты у меня кирамичиские. Поначалу всё было нормально. Через 4 часа начали жать. Мама сказала:
-Раз болит значит, зубы начинают выравниваться! Читать далее »

06.08.2013 - 17:33

Завершающий этап

Сегодня 1 год и 5 месяцев и 13 дней как я ношу брекеты. За это время многое изменилось : улыбка, внешность, внутренняя самоуверенность. Как говорит мой уже очень любимый, а точнее любимАЯ ОРТ зимой будем снимать брекеты! Осталось пол года.. Я уже себя и не представляю без брекетов, сроднилась с ними)))) Но снятия всё равно с нетерпением жду. Писать про всякие стоматологические штучки уже не охото, поэтому просто кидаю фотку ;)

2013-08-06-3690.jpg

06.08.2013 - 15:55

Мысли в слух)

Вот сфотографировала свои зубы и думаю...
неужели они такие ужасные((((
не повезло очень просто - не зародился второй зуб на ВЧ. Молочный выпал, а коренного - нет.
Вот так и живу 26 лет.. привыкла.. если раньше хотелось красивую улыбку, то теперь еще приходят мысли: как будут протезировать зубы и ставить всякие мосты и тд. в старости))) не судите строго, смотрю на родителей, на их проблемы..
понимаю, что моей ситуации точно нужны брекеты.. но вот что потом? имплантант?