Дневники

Скоро

Привет всем. Моим брекетам уже 1 год 11 месяцев 12 дней. Ездила недавно в Хабаровск к своему стоматологу, сказали что будем снимать либо в августе либо в октябре. Я аж воспылала от счастья

01.08.2013 - 08:16

Всё почти выровнялось, а тут вдруг...

Ношу брекеты на ВЧ три с половиной месяца. В начале так сказать пути образовалась щель между единичками. Позже мне ее закрыли чейном. Зубки постепенно стали практически ровными, за исключением левой двойки. Никак она не хочет становиться так же красиво, как правая. Она чуть повернута не туда, а еще между ней и левой единичкой небольшая щель. А сегодня я заметила, что щель начала появляться снова между единичками((( А ведь мне ее недавно закрыли((( Качество фото не очень. Просто уже почти ночь, и освещение плохое

sam_7217.jpg

31.07.2013 - 23:50

Брекеты и лечение зубов у терапевта!

Расскажите пожалуйста,кто лечил зубы,какие ощущения,когда бор машинкой ездят по зубам в брекетах? И вообще,врачи хоть берутся лечить зубы тем,кто в брекетах?
Хочу в скором времени записаться к терапевту,т.к думаю,что есть кариес и зубной камень обнаружился после сдвига зубов,но очень боюсь.На зубах цепочка железная(очень сильно стянуто)+пружина

31.07.2013 - 22:18

Полгода отмотала)

Точнее - полгода ВЧ, а НЧ только три месяца. Ну что сказать, первые полгода моего лечения пролетели незаметно и безмерно меня радуют. Зубки встали в ряд почти все (один еще через месяц, думаю, точно подтянется), осталось закрыть промежутки и работать с жутким прикусом. Читать далее »

31.07.2013 - 21:15

эта тема...

Ну вот и началось...Эта старая тема....УЛЫБКА... я не стесняюсь улыбаться с брекетвми(а по другому и никак) а когда фотографируюсь...ООО это наверное кошмар,в общем,оцените.помогите,посоветуйте.

бред.

бред.

9rbsugne-7mppppppppppp.jpg

jsipr_ursri.jpg

6cykm2zus-w.jpg
Читать далее »

31.07.2013 - 20:21

Первый прием после установки

Всем привет Сегодня был первый прием,после установки брекетов. Мне поменяли лигатуры и что-то сделали с десной,т.к. Читать далее »

31.07.2013 - 19:11

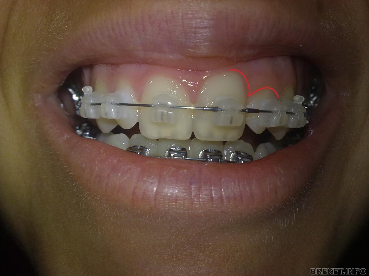
Разные двойки!

1.jpg
Во-первых одна двойка хоть и стоит уже ровно,она как будто опущена вниз(я выделила красной линией),во-вторых двойки разных размеров!
И так вопрос) Поднимется ли эта двойка с помощью брекетов? И если поднимется,придется ли делать реставрацию,чтобы двойки были одинаковыми?

31.07.2013 - 16:19

Свежачок накануне юбилея ВЧ

img_1158.jpg

Сорри,не поворачивается((
img_1151.jpg

31.07.2013 - 16:11

Толи кариес толи что

Всем привет ! Зубы двигаются , месяца не прошло, двойка слезает с единицы и о май гад- вверху между ними щель , толи от того что единица сверху от двойки сточилась толи от кариеса!! Самое стремное что эта единица снизу заходит за двойку то есть получается полная фигня ! Еще этот налет ....у кого так было???? Что вам делали с зубом стачивали по краю или пломбу ставили???????

image.jpg

31.07.2013 - 16:03

Первые ощущения

БС поставили мне ещё неделю назад (24 июля). Но добралась до интернета только сейчас, т.к. установка брекетов никак не остановила бурного течения моей жизни
Заехала к ортодонту ставить БС так, между прочим, по пути на соревнования под Краковом. Потом сутки добирания на перекладных, естественно с вытекающим неудобством чистки зубов в туалете поездов и на перевалочных пунктах Читать далее »

31.07.2013 - 15:37