Дневники

Снятие через месяц-дождалась!!!

Приветик Всем пользователям сайта !!!Мне через месяц снимают брекеты с верхней и нижней челюсти!Будут ставить ретейнеры на обе челюсти!Расскажите как ощущения,состояние,понятно эмоций у меня много будет,но все же?Носила 1 год и 3 месяца!

16.07.2013 - 03:47

первый день(

Брекеты с ВЧ сняли еще на прошлой недельке) а сегодня с НЧ ) так же, я получила съемную капу на ВЧ ) а на нижнюю несъемную) ужасно болят зубы на ВЧ от капы(
Орт сказал, что бы первую неделю носила не снимая, ( снимать только когда кушаю) и чистить их ..))
Боюсь не смогу привыкнуть даже в интернете прочитала, что некоторым и пожизненно ставят ретейнеры может кто сталкивался с подобной проблемкой?) И как вы привыкли?) Тяжело ли было?)

15.07.2013 - 23:33

Каждый понедельник я огурцом :)

Давайте все на позитифф:)))

15.07.2013 - 21:55

Второй сет капп пошёл

Надела 2 набор капп. Очень странные ощущения. Пока не болит, но такое чувство, что сидит неправильно. Может я слишком мало носила предыдущий сет? Я его вынимала в среднем на 3-4 часа в день (то есть максимум разрешённых часов), а не на 2, как рекомендовано...

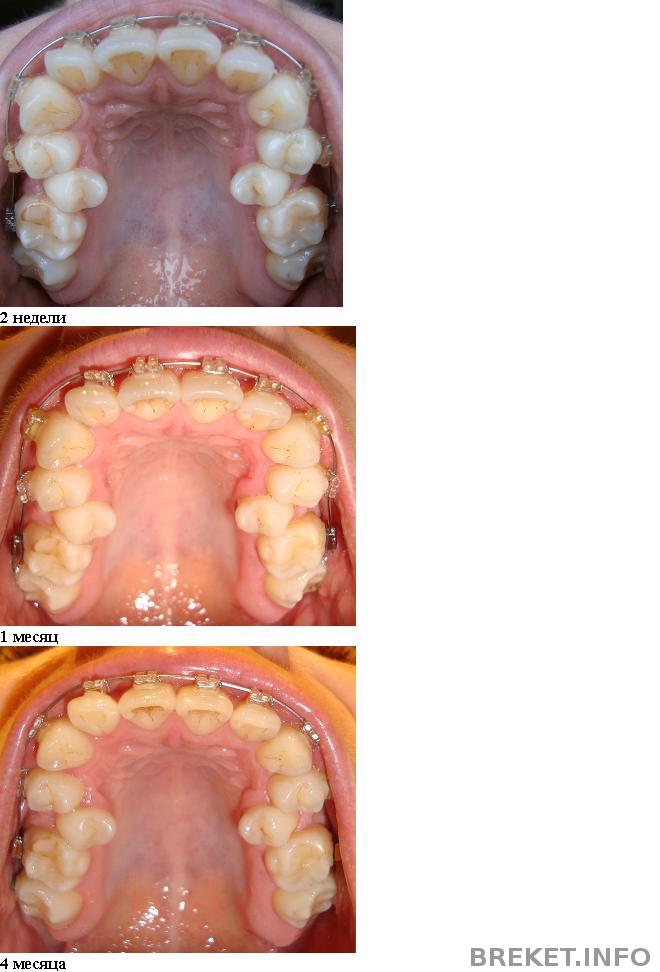
4 месяца

Четыре месяца прошло. Очень хотелось бы узнать ваше мнение. Спасибо!

фото 2i.jpg

Задние зубы как будто не двигаются.
фото 1.jpg

15.07.2013 - 20:46

Общественное мнение

Почему многие люди спрашивают:Зачем ты поставила брекеты?Пришла сегодня одна на работе и говорит:Что у меня на зубах?я ей говорю брекеты.Она в непонятках зачем ты их носишь..они же видны и это некрасиво..вообщем я ей пыталась объяснить но она осталась при своем мнении..хотя у самой ну такие кривые зубы..жуть.Был парень еще говорит зачем?почему?у меня мол тоже кривые и ничего живу и не стесняюсь..короче вывод такой:многие люди предпочитают ходить всю жизнь с кривыми зубами но не ставить брекеты,потому что это уродство,некрасиво и т.д.((

15.07.2013 - 20:02

Коллаж НЧ

Коллажик по НЧ через месяц и 11 дней, сменено 2 дуги, завтра прием у орта )) может быть сменит дугу на следующий размер

kollazh_nch_1.jpg

kollazh_nch.jpg

8 месяцев, прием, установка.

Сегодня 8 месяцев моим брекетулькам на ВЧ. Сегодня, так получилось, установили брекеты на НЧ. Прием пришлось сдвинуть на более ранний срок из-за того, что мне надо было поставить пломбу на 2 слева. Для этого надо было снять чейн и дугу. Несколько дней проведенных без дуги и чейна показались блаженством! Даже как-то не привычно было. 11.07 сняли чей и дугу, уже по дороге домой поняла что зубы стали двигаться по принципу кто в лес кто по дрова=) и ощущения были какие-то странные, непривычные. Читать далее »

15.07.2013 - 19:09

Двойка упрямая!

Решила накатать очередной пост о своей двойке, чтобы потом читать и вспоминать свои страдания я утрирую конечно)) Читать далее »

15.07.2013 - 16:21

Походный набор брекетоносца=)

Решила поделиться с вами, коллеги, своим походным набором, который всегда при мне в различных разъездах, предполагающих ночевку вне дома=) Итак, он включает в себя следующее:
- орто-щетка, - монопучковая щетка (оочень ее люблю), - ершик, - коробочка воска, -зеркальце, -маленький флакончик ополаскивателя, - зубная нить, - зубная паста, ииии... - мой новый друг портативный ирригатор!! , клевая вещь!! я безумно люблю свой домашний Акваджет, но таскать его повсюду с собой просто нереально. так что теперь этот малыш будет сопровождать меня во всех разъездах! Читать далее »

15.07.2013 - 16:09