Дневники

Урра!! заковали полностью!

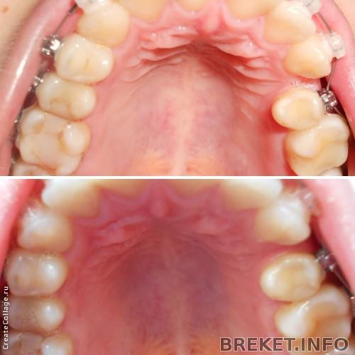
наконец-то дождалась - сегодня, 19 июня 2013, мне наконец-то установили брекеты и на НЧ теперь чувствую что процесс идет на максимальном режиме - характерное тянущее движение но к сожалению со всеми вытекающими последствиями - пюрешки, кашки итд.. ну и соответственно фоторепортаж

фиксация на НЧ день 1

и пользуясь случаем сделала фото явного прогресса ВЧ
ВЧ спустя 1 месяц 11 дней
Читать далее »

19.06.2013 - 14:19

О! зубные боги

ну неужели и у меня началось движения?? 3,5 месяца я жду-жду, жду-жду, а они как стояли, так и стоят..и вот после всех мучений, дипломов, экзаменов и прочего я сделала фото..и моя любимейшая двоечка, кажется выравнивает свое положение!
Ведь правда? мне не кажется? скажите пожалуйста, посмотрите свежим взглядом)
дуга на ВЧ у меня вторая, и на следующем приеме будут менять на следующую)
я так рада)))
а в пятницу устанавливаю на НЧ, готовлюсь к болям и мукам, все как по инструкции:)

3,5 месяца.jpg
Читать далее »

19.06.2013 - 13:32

ДВИГАЮТСЯ, ДВИГАЮТСЯ, ЧЕРТЯКИ \О/

[АРХИВНОЕ]

вчера, а точнее уже сегодня, во время ночной чистки ёршиком заметила существенные сдвиги - правый клык на НЧ РЕАЛЬНО СДВИГАЕТСЯ НЕХИЛЫМИ ТАКИМИ ТЕМПАМИ *ОООООООООООООООООООО* раньше между зубами на НЧ никаких щелей вообще не было, а теперь буквально за 4 дня между клыком и 2-кой образовалась приличная щёлка и туда можно уже просунуть большой ёршик для чистки \о/
с ВЧ тоже самое, заметно отъезжают мои клычушки обрааааааатно, к дырищам Q~~~~~~~~~~Q ЭХЪ Читать далее »

Результаты за месяц)))

Результаты за месяц))вроде неплохо)))

1 месяц

Прошло 2 года и 3 месяца

Как же быстро пролетело время.
Прошло 2 с небольшим года и вот мой результат. Столько слез. Терпения... Сил и нервов. Результат на лицо.

17012011003.jpg

image-19-06-13-02-56.jpeg

И вот он долгожданный момент, когда нужно вставлять имплантант.
Очень волнительно.

19.06.2013 - 11:05

Нужен совет

Помогите определиться. Я в вечных поисках хорошей зубной пасты. От всяких отбеливающих паст у меня очень повысилась чувствительность зубов и больше я ими пользоваться не стану. По крайней мере до снятия точно. Я немного наслышана о вот такой Индийской зубной пасте Dabur Red

red_tooth_paste1.jpg

я если честно думала,что у нас такой пасты не продаётся и вот сегодня я увидела её в зелёной аптеке.Сразу покупать не стала ,решила спросить.
Кто пользовался? скажите,стоит покупать или нет ?
может если не стоит ,то какую посоветуете ?

19.06.2013 - 11:01

Первый день

Всем привет. Сегодня мой первый день на этом сайте и первый день ношения брекетов на ВЧ. До сих пор я не могу понять свои ощущения,так как я думала,что будет гораздо больнее зубкамно все не так плохо,как я думала. Зубы тянет,болят задние зубы,ну естественно жевать и откусывать проблематично,а так норм вроде...Ну может и заболит еще..Ведь всего 19 часов с установки прошло...Короче,принимайте меня в ряды брекетоносцев

19.06.2013 - 10:44

Очередной прием. Или снятие откладывается...

Всем привет.
Сегодня был плановый прием. Ну или предполагаемая дата снятия, которая обговаривалась при установке брекетов((( следовательно снятие откладывается до лучших времен (((((.
Итоги: прикус почти выровнялся, начала щелкать единичка(незнаю, хорошо это или плохо).

Дали новые тяги "Страус", большие такие... с хитрой схемой шнуровки н6-в5-н5-в4-н4-в3. Носить сказали ежедневно (((
Лигатуры поменяли, зашнуровали и отправили до 18 июля. Эх блин, пол-лета точняк прохожу в железяках (((

18.06.2013 - 23:15

очередной 8 прием

сегодня была на очередном приеме. дуги оставила те же внизу вроде квадратного сечения 16х22, вверху была тоже 16х22 , но сейчас поставила тонкую (погнула специально),и одела Чейны на обе челюсти....Я спросила за сепарацию, но мне ответили что делать ее не будет. только в конце подпилит длину зубов. а щели есть, но вроде как потом они уйдут. скорее бы. хочется хорошего результата и окончания лечения

18.06.2013 - 23:13

Плановый приём, третий, 2 месяца и 20 дней

Поставили мне снова чейн, тянуть клык назад... за день зубы снова разъехались в общей сложности миллиметра на 1,5... Фотографировать лень, натянут так же. Изначально Ортофея говорила, что на НЧ через месяц-полтора после ВЧ ставить будем... На носу три месяца, я спросила не пора ли - она сказала пока нет и хорошая новость, возможно обойдемся без удаления на НЧ!!! (изначально был вердикт что удаление необходимо из-за риска выхода в прямой или перекрестный прикус и малого количества костной ткани) Это был Читать далее »

18.06.2013 - 21:49