Дневники

07.06.2013 Первая встреча.

Привет читающим. Вчера я зарегистрировалась тут, а вот сегодня уже пишу первую запись в дневнике. Как думаю о зубах сразу начинают болеть. Дело в том что у меня все спрятанные 8 (ретенированные и дистопированные зубы), а с моим недавним решением иметь красивые зубы....с ними придется расстаться. Не смотря на то, что я всю свою детскую жизнь мечтала иметь "зубы мудрости" ради мудрости. Все лечение впереди. С самого нуля. Сегодня сделала панорамный снимок, побывала у терапефта -стоматолога, теперь через 3 дня к отртодонту, . Читать далее »

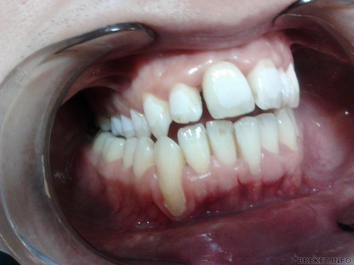
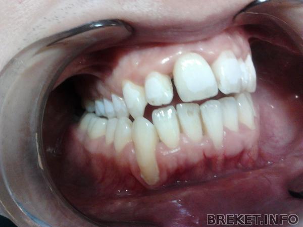
До установки брекетов

В таком состоянии все было до установки

2012-07-17_11.35.29.jpg
2012-07-17_11.35.41.jpg
2012-07-17_11.35.51.jpg

07.06.2013 - 13:36

ополаскиватели и пасты

У многих видела на фото, что есть различные ополаскиватели и пасты. Мой орт ничего толком не рассказала про это. Можете подсказать, что нужно обязательно приобрести, кроме щеток и ершиков (это имеется уже). Заранее спасибо за помощь!

07.06.2013 - 12:55

не прошло и года...

Всем привет) Моим брекетам 1 год и 2 дня. Изменения радуют, особенно в сравнении)) Даже не верится, что прошел год..Как будто все было вчера.. Читать далее »

07.06.2013 - 10:55

3 месяца НЧ

Прошло 3 месяца (НЧ)
сегодня 7.06.2013г. моим брекам на НЧ- 3 месяца, после смены дуги пошел наконец то процесс и на НЧ, 11.06.- иду к орту- может дуги сменят на ВЧ, но на НЧ видимо еще буду с этой дугой)

07.06.2013 - 05:12

Дождалась:) Брекеты на мне:)

Теперь и я с вами!! Полноценный обладатель БС 06.06.2013г. обзавелась брекетами на обе челюсти! 2 часа в кресле и пол часа на оформление документов и все! Вечером уже начала побаливать НЧ. Сегодня утром боли на НЧ уже не чувствую, ноет теперь ВЧ, но все терпимо и таблетки пока не нужны, сильнее болеть надеюсь не будет. Чистила зубы кучей щеток и паст, нитью уже научилась пользоваться с брекетами. Кушать пока не очень хорошо получается, ем что помягче (плавленный сыр, бананы, сосиску даже ела и вареники домашние))) Вообщем я счастлива!! Читать далее »

Брекеты еще не сняли, а улыбка уже почти голливуд)

Первая серия фотографий, где улыбка уже не сходит с "уст")... я себе кажусь совсем другой, кажется, что и зубы не мои вовсе..до установки я все переживала, что они маленькие по размеру, надеяласбь, что они станут чуть побольше, когда выпрямятся... теперь они мне кажутся очень здоровыми,большими в смысле..до сих пор не могу привыкнуть.. 9 месяцев хожу в брекетах..по срокам обещали 2, 5...то есть еще даже не середина пути.. но за счет лингвальных брекетов сверху, можно улыбаться , улыбаться и ничего не стеснятся))) я счастлива!!!! Читать далее »

06.06.2013 - 23:35

Вылетела дуга с 2х брекетов,фото в альбоме.

вчера поставила брекеты Вылетела дуга с 2х брекетов и съехали лигатурки,фото в альбоме. бежать срочно к орту?

06.06.2013 - 22:41

Полгода или волшебство в картинках)

Отмечаю сегодня полгода! Подкрались они незаметно,хотя в начале лечения мне казалось, что дни будут тянуться очень медленно
За полгода мне сменили всего 1 дугу,с 14 на 18.Я познакомилась с тягами и чейном. Отличные ребята я вам скажу А также дождалась таки установку БС на НЧ!
На ВЧ картина следующая:

Сравнение 5-6 месяцев

Сравнение 5-6 месяцев
Читать далее »

установка

Вчера установили БС на ВЧ! Как я этого ждала уже сотни фото здесь пересмотрела и столько же комментариев перечитала))) сколько хэппи-эндов здесь увидела! теперь начала ждать такого же чуда и для себя
Готовилась к болям и дискомфорту, но как мне установили, такое ощущение, что БС на своем месте, как будто так и нужно! Никаких болей нет, только по прошествии суток начал немного нить передний зуб и 5-ка правая болеть и все! Разве это нормально? Читала, что многие от болей на стены лезут.
Теперь буду вливаться в ваши ряды

06.06.2013 - 21:41