Всем привет!!!!
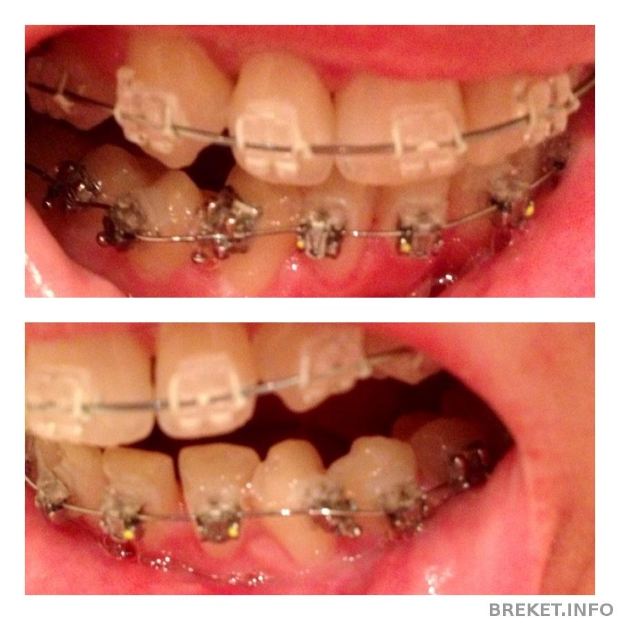
Ну вот я и вкусила всю прелесть брекетов)))
Первый месяц прошел гладко. Ничего не болело вообще и кушала все что можно и даже то что нельзя 
Но после того, как установили на НЧ жевать стало нечем))) зубы друг на друга не попадают (хех, так все запущено). Ем все мягкое. Зубки побаливают, но это меня радует!!! Процесс идет!!!!
За это время очень полюбила свой ирригатор!! Только после него чувствую чистоту во рту, Мб мне просто так кажется)))
Хотела спросить. Что вы носите с собой, когда идете кушать в общественные места?? Большое спасибо за ответы))