Дневники

Кто носит каппу?

Привет всем!
Расскажите кто носит круглосуточно каппу, какие ощущения, мешает ли она? Меняет цвет?

24.05.2013 - 20:17

Конец)

Ура, ура, ура! Конец брекетам! 9 месяцев мучений вместо ожидаемых 1-1,5 года.Теперь можно грызть что угодно и улыбаться)))

24.05.2013 - 19:47

Какие брекет ы выбрать!!!?

Ребята! Подскажите пожалуйста какие брекеты лучше я выбрала сначала лигатурные брекеты но когда мне посчитали стоимоть приема я ошарашена была немного замена дуги 1500 руб и смена лигатуры на 1 зуб 160 руб аж!!! Я в шоке может самолигирующие брекеты дешевле обойдутся в плане стоимости приемов там же резиночки менять не нужно. И вообще какие лучше?

24.05.2013 - 18:48

Можно ли...

Друзья подскажите ,можно ли красить губы помадой или блеском с Damon Clear? Большинство пишут что они не окрашиваются... Есть те у кого все -таки было изменение цвета?

24.05.2013 - 16:31

зачатки восьмерок

сходили мы на конс. сказала хирург удалять зачатки обязательно - есть все показания. снизу вначале, т.к. там ретинированная пятёрка.Для начала напугала меня возможными последствиями_ паралич лицевого нерва, перелом челюсти, вывих сустава, обильное кровотечение, общий наркоз, швы........так как место было только 17 июня, а 25 мы уезжаем все перенесли на август-сентябрь. робко спросила сколько стоит (конс за 1000 руб) , ответила, что есть направление, поэтому бесплатно, только стопиццот анализов надо сдать. Читать далее »

24.05.2013 - 16:14

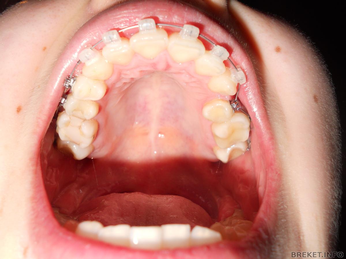
Первый прием после установки

Сегодня у меня был первый прием у орта после установки. Наконец-то поставили рабочую дугу, 14. Уже через несколько минут заметила, что щель между единичками исчезла. Я была в приятном шоке) Побаливает немного, но в основном, когда ем. Это совсем нестрашно. Главное, чтобы не болели, когда ничего ими не делаю. Думаю, к следующему приему многое выровняется)

24.05.2013 - 15:52

Моя история

И наконец после всевозможных снимков, лечений и удалений настал и мой черед - 08.05.2013. - установка на ВЧ системы Damon Clear я все-таки это сделала!
Жаль что не начала запись сразу же в день установки, прошло 2 с лишним недели, чувства и эмоции не те уже, тк привыкла к своим "новым друзьям" и никакого дискомфорта и боли не испытываю Читать далее »

Первый день.

Установка брекетов на ВЧ проводилась в 8 вечера. После установки ничего не болело. Присутствовало лишь легкое ощущение давления, натянутости, и на этом все. Когда пришла вечером домой, МЧ (который уже прошел долгий путь ношения брекетов) сказал, что болеть зубки начнут завтра, а сильнее всего, видимо, вечером. И порекомендовал завтра сразу же залепить все воском, во избежание натирания щек и губ. Читать далее »

Установили!

В день установки на ВЧ, по приходу в клинику, непосредственно перед установкой, попросили заполнить договор и внести предоплату 60% (я внесла сразу 100%, чтобы не думать об этом больше). Выдали чек, договор и контакты бугалтерии (для налогового вычета). Читать далее »