Дневники

4 месяца ВЧ

Добрый вечер всем)))
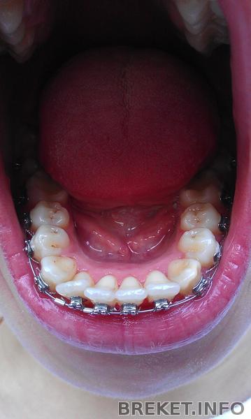
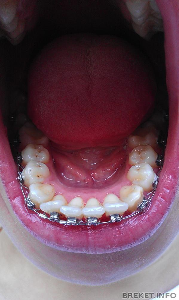
Очередной рубеж - 4 месяца ВЧ, 1 месяц 20 дней НЧ. Что могу сказать... верхней челюстью я довольна, а вот нижняя продолжает меня расстраивать... Между зубками организовались хорошие такие щели, 8ка и 7ка никак не хотят двигаться в тандеме, центр сместился еще сильнее... 21го мая прием,послушаем, что скажет орт.
Фото прилагаю, смотрим, высказываем соображения

4 м ВЧ.jpg

4 м ВЧ 1м20д НЧ.jpg

Учимся улыбаться: Читать далее »

19.05.2013 - 19:29

Все права защищены)))

качественно писать сейчас некогда, поэтому так, экспромт... потом может перепишу)))

Во дворе моем цветет акация
Я иду улыбки не тая
Состоялась только что фиксация
И теперь брекетоносец я!
Мне навстречу – пара улыбается,
Без стыда смотрю им прямо в рот:
Я ж теперь в зубах-то разбираюся,
Я ж теперь почтишто ортодонт!

©

Из лунки могут быть гнойные выделения???

В среду удалили неретинированную восьмерку, до вечера пятницы лунка болела весьма ощутимо, было покраснение, к врачу не попала, с пятницы кладу метрогил гель 1-2 раза в день. Теперь болит не сильно и не часто, несколько раз в день. Сейчас посмотрела в зеркальце, подумала что остатки еды... полезла ватной палочкой доставать и поняла что это точно не еда и очень похоже на гной... такое возможно?... к врачу надо, да?... положила метрогил гель снова...

19.05.2013 - 17:32

Будни..

ВСЕМ ЗДРЯМКИ!!!!!!
Очень ленька делать коллажики, так что покажу так,что имели после установки НЧ

niz_nedelya_14.jpg

а вот,что имеем через 3 месяца
34.jpg
Читать далее »

19.05.2013 - 16:32

Открыла для себя зубную нить)

Сегодня купила то, без чего вполне можно было обойтись (как я раньше считала): зубную нить ОралБи и пасту черненькую Сплат Блэквуд. Приобрела все это дело из любопытства)))

Зубной нитью никогда раньше не пользовалась, т.к. у меня промежутков между зубами в принципе немного было, все ж в кучку собрано заборчиком Ну и в принципе не понимала смысла в этой штуке. В общем, я почистила промежутки и поняла, как недооценивала флосс. Читать далее »

19.05.2013 - 15:26

Прогресс

Сорри не нашла промежуточных результатов почему-то

collage.jpg

19.05.2013 - 10:59

4-мес

Вот уже 4 месяца как меня заковали. и результат не заставил себя ждать. Последний прием у старого орта новые лигатуры и новая дуга 16х22. собственно обновочки!

dscf3004.jpg

19.05.2013 - 10:56

фото

Вот, смотрите.

s1340004.jpg

Не знаю, насколько изменения значительны, но заметны ведь!

19.05.2013 - 08:36

на пороге 4 месяцев

ого! зашла на сайт глянуть сколько времени прошло с установки, а уже,оказывается осталось пару дней до 4 месяцев!
огого. месяцы бегут все быстрее..
недавно любимый заезжал утром,вручил мне пасту

splat-lave.jpg

19.05.2013 - 02:05