Дневники

Болят зубы БЕЗ брекетов

У меня БС только на ВЧ....сейчас передние зубы уехали вперед и нижняя челюсть осталась в "свободном плавании"...так вот мои передние зубы на НЧ адски болят,да что там-они болят больше чем зубы с брекетами.....моя ОРТ так радовалась,что нижние сами начали двигаться.Из за таких движений у меня появились щели между зубами,да такие что туда пол бутерброда пролезет...при этом ставить брекеты на НЧ моя ОРТ не спешит....вообщем накипело,пожаловалась вам(

11.04.2013 - 14:04

Как долго вы чувствовали боль после удаления?

Кто удалял ретинированные восьмерки, долго ли вас сопровождала боль? И как сильно болело? Ответьте пожалуйста, а то уже неделя, а еще болит, но уже обхожусь без кетанова.

7 месяцев

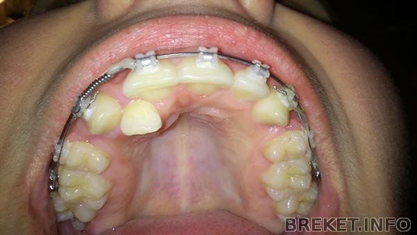
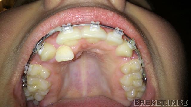
Сегодня 7 месяцев моим брекетам на ВЧ, всё ещё продолжаем освобождать место для двойки, клык очень упорный((( и центральные резцы тоже, но процесс вроде идет, готовлюсь к приему через неделю, может станет известно наконец, когда будем клеить брекет на двойку..так этого ждууу

фото три недели назад

verh_6,5_mes.jpg

фото сегодня
dsc_0304.jpg

11.04.2013 - 11:41

2 мес и 20 дней

сайт помогает считать сколько времени прошло после установки)

приснилось сегодня что отпали почти все брекеты с вч после откусывания неудачного..))
и осталась только дуга и под ней я увидела " результат" и обрадовалась. потому что в реальной жизни я его не вижу никак.. никакого движения... эх

11.04.2013 - 11:15

Активация

Вчера была на плановом приеме у орта:заменили дугу и назначили дату установки на НЧ,15го мая К вечеру, счатью не было предела!)Зубки встали на свои места)))
P.S. вечером выложу фотки

collage_1_month_17_day.jpg

11.04.2013 - 09:39

СУхарик...

И казалось бы.. почти три месяца в брекетах, уже ко всему привыкла, ем все подрят... в субботу поздно вечером в клубе решила заказать греночки к пиву... и совсем не твердые, НЕ как сухари! И бац, на поедении второй гренки отлетает брекет с лева, на 6 зубе... первые пару секунд была паника, потом успокоилась, когда поняла, что он висит на дуге и никуда не денется. На следующий день сразу записалась к орту на ближайшее время. За сутки этот брекет вертелся/крутился на дуге, натер щеку жутко, до сих пор болит.. Читать далее »

11.04.2013 - 09:36

1 год и 21 день.Очередной прием))))

Друзья мои, у меня отличные новости Читать далее »

11.04.2013 - 09:29

недовольна результатом

Всем привет.
Последнее время встречаю посты недовольных результатом людей, которые не хотят снимать, которых не устраивает результат. Но я и не думала, что сама окажусь среди таких. И вот, на последнем приеме меня записали на снятие. Я (как овца - простите, но сейчас на себя могу только так сказать), промычала, взяла бумажку с датой и ушла домой. И вот 3 дня уже сижу и понимаю, что я не дам снять с таким кошмаром. Я никогда не зацикливалась на своих зубах и брекетах, но последние дни думаю только об этом.
Это фото - что было до: Читать далее »

11.04.2013 - 08:59

почему? объясните ...плиз

Почему брекеты меня не натирали 15 дней с установке, а теперь начали? это что от изменений? У кого-то такое было?

когда вы поняли, что любите свои брекетули?...

я дней через 5 после установки, на первой неделе в общем:) знакомая назвала их фигней и мне за них стало обидно, тогда я поняла что это любовь:) а вы когда и как это поняли?

11.04.2013 - 08:38