Дневники

3 недельки на НЧ!

Ну вот и три недельки! О результате, конечно нечего писать, т.к. там всё идеальненько : и прикус, и зубки ровные, и с шириной всё в порядке. Пишу для чего? Да просто так, дату отметить. На ВЧ много чего уже изменилось. И главное - сбылась моя очень давняя мечта, которая на момент исполнения стала страхом. В 5 лет у меня была мечта попробовать Кока-колу. С 8 до 12 я гордилась тем, что её не пробовала. Но так вышло, что из-за моей гордости и упертости, я её попробовала. Случилось это так: я купила новые джинсы на выступление и в подарок мне колу выдали. Читать далее »

15.03.2013 - 08:11

ВТОРОЙ ДЕНЬ РОЖДЕНИЯ В БРЕКЕТАХ

Итак мне сегодня 24 .
Большая часть лечения позади, остались штрихи.
Вот он мой второй день рождения в брекетах и в следующее 15 марта я буду улыбаться уже без железяк:) Ура Ура Ура !!!

207609.jpg

ВСЕМ СЧАСТЬЯ

15.03.2013 - 08:10

Были ли у вас проблемы со снятием брекетов?

Был сегодня у ортодонта. Сказала нужно переклеить 2 брекета на передних 2х зубах. Сказала не больно. Было адски больно (как зуб на живую удалять) и брекеты так и не удалось снять кусачками. След. попытка в среду. А вдруг и тогда не получится? У кого были проблемы с этим? Я боюсь у меня зубы эти повыдираются, пока снимать эти брекеты будут...

удаление мудрости и памятка

Вчера знакомому удалили 2 зуба мудрости и 1 развалившуюся 6ку. одна мудрость была сложной, никак не хотела удаляться, врач провозился больше часа с ней, на два других зуба ушло по минут 5. сегодня ходит как хомячок)) не сильно, я бы сказала даже совсем почти не заметно, но для него это целая трагедия (парни!), вобщем все его жалеют, исполняют любые капризы. дали ему памятку что делать и как вести себя после удаления. вобщем "удаление глазами американских врачей" прилагается:

pamyatka.jpg
Читать далее »

15.03.2013 - 02:19

Первые изменения!)

Наконец-то и я дождалась своих первых изменений!)
Думала что никогда уже не дождусь))

15.03.2013 - 01:27

Каппа!

Друзья! Скажите пожалуйста, можно ли ретеционную каппу использовать для отбеливания зубов? т.е. внутрь залить этот спец гель для отбеливания и носить...
Спасибо!)

14.03.2013 - 23:44

Немного юмора=))

УУууууу, ребят, я просто ушла от этих картинок

kz55qtzqqxy.jpg

fgmcfvypv8e.jpg

2axecz2h_hw.jpg

kfn6zvbd5sa.jpg

saweyognn1k.jpg

14.03.2013 - 22:32

И меня принимайте)

Сегодня, 14/03 в 12 часов дня я стала обладательницей сапфировых брекетов на ВЧ.
Ощущения конечно не очень приятные и совсем не привычно иметь во пру что то мешающие и большое. Но боли пока нет никакой, кушаю нормально. Правда большее количество еды остаётся у меня на брекетах чем попадает внутрь)))) Но думаю привыкну) Тоже не удобно чистить зубы. Как вы вообще это делаете? У меня такое ощущение что брекеты отпадут если их чистить и вообще трогать..)) Читать далее »

14.03.2013 - 22:24

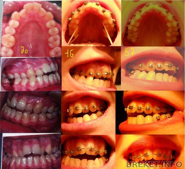
День 57)))

С каждым днем что то меняется))) и сложно ждать "круглой даты" Просто хочу с вами всеми поделиться скромными результатами и выслушать соображения

0-16-57 дни.jpg

Уже не стесняюсь улыбаться во все свои 28

14.03.2013 - 21:10

Первый день

Вот и я наконец-таки встала на путь здоровой и красивой улыбки) Сегодня мне поставили брекеты на верхнюю челюсть. Поздновато я конечно решилась взяться за свои зубки, но лучше поздно, чем никогда... Итак, мне 23 года, с брекетами ходить, по словам ортодонта год. Но, насколько мне известно, обычно с ними ходят дольше. Ну, в общем посмотрим) На самом деле меня давно смущали мои зубы, особенно верхние, челюсть маленькая, а зубы широкие, из-за этого места не хватало и они стали выпирать вперед Последние несколько лет жутко стеснялась. Читать далее »