Дневники

Пломба.

В прошлом году мне стоматолог поставил пломбу.А сейчас она меня оочень болит.А15 мне будт брекеты ставить...может сначала вылечить этот зуб?И еще, брекеты не будут мешать когда буду идти к стоматологу?

10.03.2013 - 10:35

3 месяца

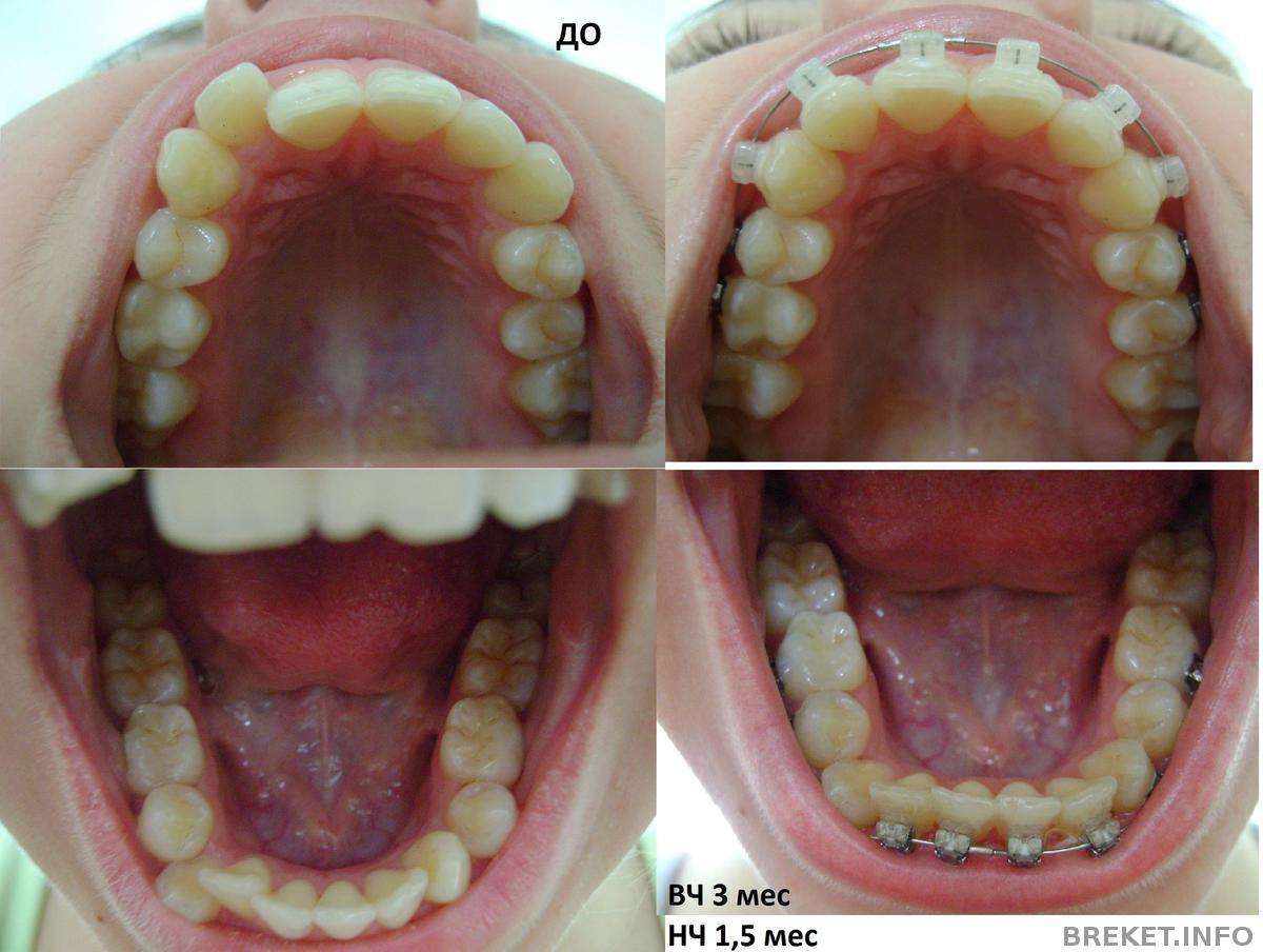
И вот 3 месяца уже позади. На вч результаты очень радуют, на нч пока не очень, да еще и дуга с последнего замочка постоянно выпадает, заколебалась ее уже обратно запихивать
Через 2 недели смена дуги наверху,и пока все

3_mes.jpg

10.03.2013 - 09:38

трейнер Т4В и мимика

Прошел 1 месяц 8 дней
Приём №2 после установки БС:

1) замена лигатур
2) установка 4 сепарационных кольца
3) примерка и вручение трейнера Т4В, инструктаж
4) наращивание накусочных пломб

Итого : 650 грн

Следующий прием через 2 недели, будет первая замена дуги и установка
Ехала в машине домой, натянув капу. Ощущения неприятные, слюни приходится заглатывать, губы сомкнуть не могу.

Товарищи, таков вопрос: мимика не нарушится, губы в обезьяньи не превратятся от ношения трейнера Т4В?
Зачем нужны пупырышки на внешней стороне трейнера?
Читать далее »

09.03.2013 - 23:24

Первые впечатления

Бурные эмоции уже поутихли, но все равно: Ура! Мне несколько дней назад одели брекеты (инвизилайн). Я безумно довольна. Хочется рассказать обо всем, и я постараюсь постепенно это сделать. 07.03.13 Окружающие брекеты не замечают, пока я не начинаю с ними говорить. У меня пока нарушена дикция, сложность с глухими согласным. Зубы практически не болят. То есть болят, но в легком фоновом режиме, совершенно не обращаю на это внимание. А вот все вокруг болит, потому что натерли мне каппы не только внутреннюю сторону губ и щек как обычно поступают металлические, но и язык. Читать далее »

ааа

Привет всем. Опухла верхняя десна, цветом стала белого-розового цвета. Что делать незнаю.

09.03.2013 - 20:48

Тест на выносливость, или Две брекетулечки

А теперь по порядку, почему такое название. Начнем с конца. Две брекетулечки, потому что сегодня наконец-то встретились с братиком, который уже три ода является завсегдатаем ортодонтического кабинета (я лечусь у его же ортофеи)

foto1135.jpg
Он сказал, что завидует моим самолигирующимся железячкам. А бабушки нас встретили словами: "Ещё одна железяк в рот запихала" (Разумеется, с шуткой). Читать далее »

09.03.2013 - 19:32

конпка

не подскажите, что такое кнопка в БС и как она устанавливается?

09.03.2013 - 10:41

Седина в голову - брекет в зуб)

Ну вот, прошла ровно неделя с установки на ВЧ. Ничего так, терпимо, вчера даже пожевала салатик из свежих овощей. Самый большой минус от установки - не могу теперь откусывать заусенцы на пальцах зубами) и во время еды за щеками, как у хомячка, скапливается стратегический запас пищи (наверно, процентов тридцать от обеда)) А самый большой плюс - я милашка) Сапфиры бесспорно украшают мою челюсть)
Хочу рассказать, почему я решилась на установку. Надеюсь, моя история кому-нибудь пригодится. Особенно, тётям моего возраста, которые вроде хотят, но никак не решатся)

Итак, предыстория... Читать далее »

09.03.2013 - 10:07

вопросик

привет всем! у меня возник тут вопрос. мне поставили БС на ВЧ. а почему нижние зубы не заходят за верхние как обычно я раньше закрывала рот. это так и должно быть?

09.03.2013 - 08:15

Мне кажется или есть изменения?!

Привет всем))) уже почти 2 недели с брекетами (а если точнее 12 дней)ничего не болит))Это радует,но кусать не могу)))Но сегодня я все таки поела шашлык.Порезала на кусочки и ела(хотя,мне показалось,что такими маленькими кусочками шашлык не такой вкусный)Уже люблю свои брекетульки.Парень уже привык к моим сапфирчикам. А я все жду изменений))) Сегодня сделала фото и мне показалось маленькие изменения есть. Или мне кажется???

kollazh.jpg