Дневники

Загадка

Что это такое: прекрасное и ужасное одновременно?

Ответ: новая цепочка на ВЧ.
Промежутки закрываются прекрасно, на глазах практически.
Болит ужасно. Вот пожалуй первый раз за почти полгода (*не забыть отметить полгода БС 18го числа*) когда хочется лезть на стенку. Болеутоляющее не помогает. А ведь надо как то спать. Вставать рано и все такое. Мечусь между повторной дозой болеутоляющего или ударной дозой снотворного. Что же выбрать...

12.02.2013 - 22:18

Прощайте, все мои восьмерочки

Подготовка к установке брекетов идет полным ходом. Снимки сделаны, ортодонт выбран, все необходимые рассчеты проведены. От установки брекетов меня отделяют (отделяли) только мои ретинированные восьмеки (врач рекомендовал удалить их именно ДО установки). Расскажу о самом удалении, моих ощущениях и о поисках хирурга. Чтобы самой при случае вспомнить о своей храбрости, а заодно и, возможно, чем-то помочь тем, кому это только предстоит))) Читать далее »

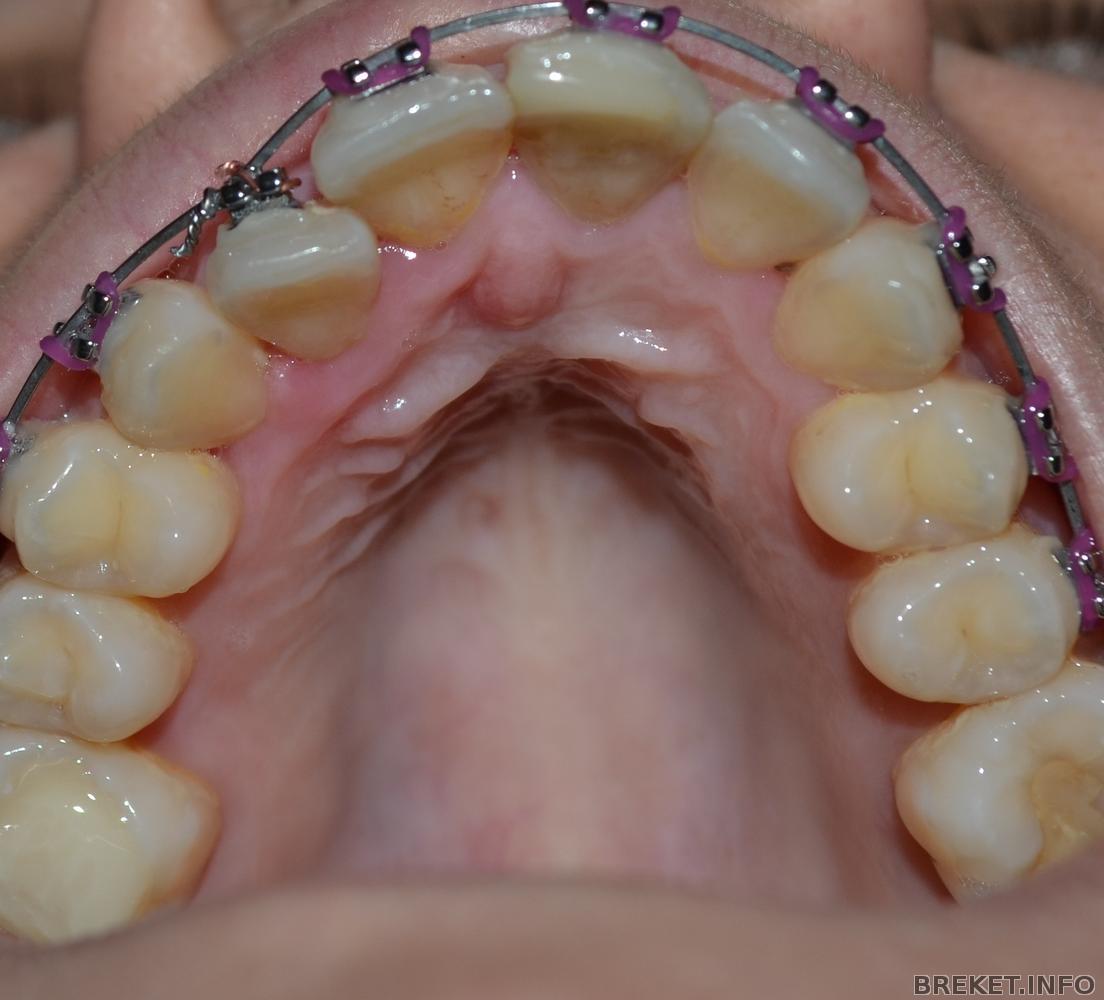
очередной визит к любимому орту :3

из нового:
-мне наконец то заклеили брекеты которые отвалились за эти 2 месяца (а то уже раздражали жуть как,весь язык об них исцарапала >:C)
-поменяли дугу на ВЧ с 14:25 на 16:25 , так что зубки немного побаливают,тут там потягивает,но это если честно только радует :3
следующий визит через месяц)

picachoo_c34f0a.jpg

12.02.2013 - 21:48

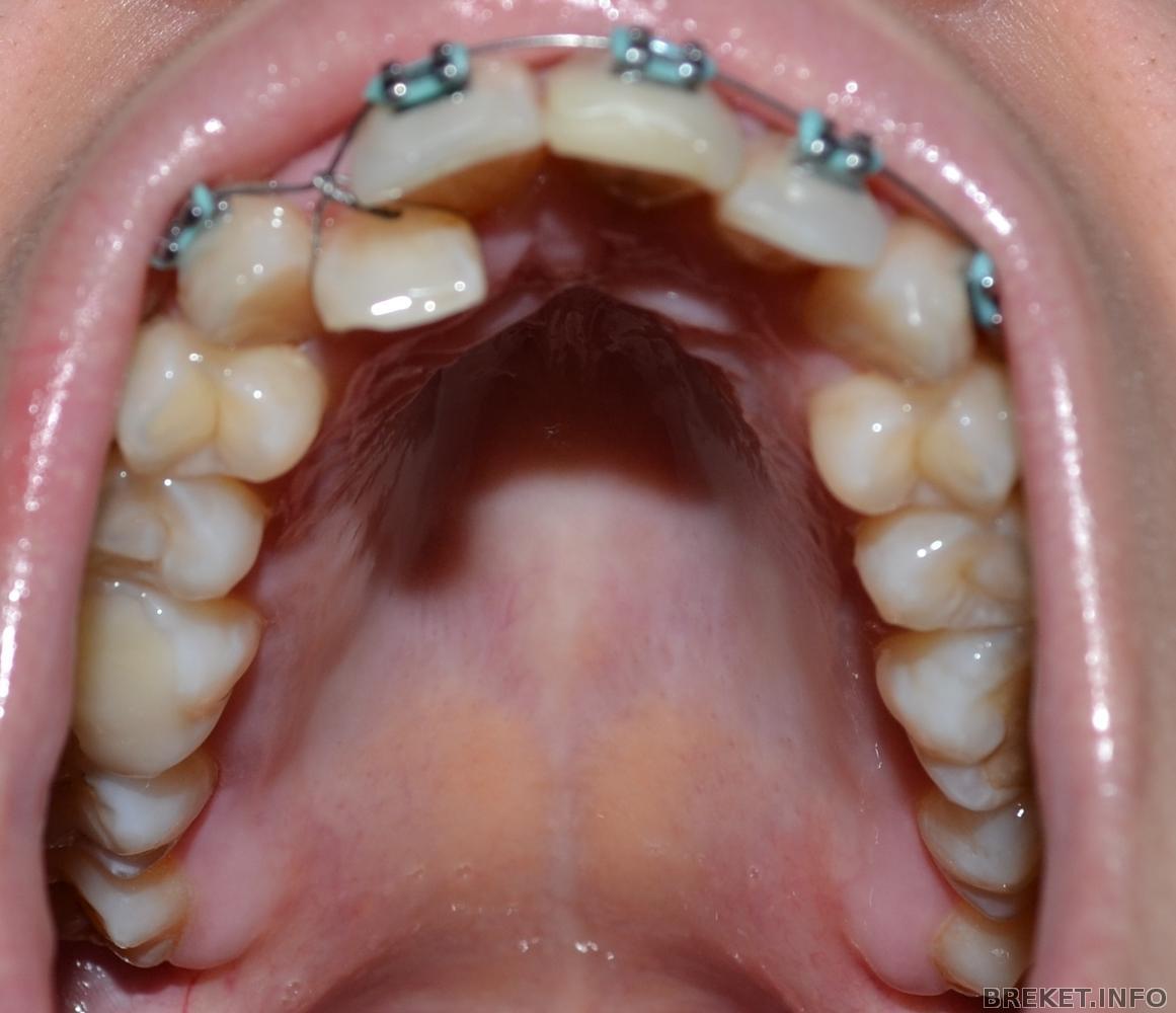
Ура!нам сегодня 2 месяца!!!

Нам сегодня два месяца

dsc_0333.jpg
dsc_0005.jpg
скоро установка на низ! наконец-то спилили надкусочные пломбы!!!!

12.02.2013 - 21:27
аватар: Vi
Vi
Хрусталь в платине

После снятия брекетов начали появляться щели

Добрый день! Я мучительно носила брекеты на верхней челюсти 9 месяцев, мне удалили две четверки. И вот, наконец-то мне их сняли вчера! Результатом в принципе довольна, но сегодня начала замечать что зубы "поплыли" . То есть образовались щели. Между единичкой и двойкой и посредине между единичками. Скажите, от чего это произошло? Послезавтра сказали прийти за каппой. Она поможет вернуть прежнее состояние и закрыть щели? Или щели так и останутся после такого длительного и мучительного лечения?... Обидно ведь...Заранее спасибо вам за ответ!))

Гель реминерализующий

Вопрос - какой лучше?
R.O.C.S. или LACALUT

12.02.2013 - 18:14

неделя)

Хочу поделиться маленькой радостью: Вот уже как неделю я брекетоносец! (первая моя круглая дата ) Зубки уже не так сильно ноют, но кусать больновато. Результатов что-то пока не вижу эх... Но ничего через месяц сделаю коллаж и посмотрим что там, да как. А на верх ставить буду в апреле)так что жду апрель и результатов

12.02.2013 - 16:42

Кого же слушать?

dsc_0752.jpeg
Была на консультации у нескольких врачей. Что зубы мудрости нужно удалять сказали все. Первый сказал, что ещё нужно удалять все 4-и, второй, что ничего удалять не нужно. Третий сказал, что пока ничего удалять не будем, поставим БСна ВЧ месяца на 4, зубы и так выровняются, но передние зубы пойдут немного вперёд, щель между ВЧ и НЧ станет больше. А если мне не понравится, как это будет выглядеть, вырвим левую 4-ку на ВЧ, и всё станет как надо. Читать далее »

12.02.2013 - 16:21

Решилась на установку БС

Жила я жила 24 года со своими неровными зубками и наконец решилась поставить брекеты!))) Еще в детстве удаляли все молочные четверки для улучшения обстановки и сказали делать массаж десен и будет вам счастье))), не тут-то было! Ситуация скорее усугубилась!((( Но будучи маленькой закапризничала и на пластинку уже не согласилась! Росла я росла, комплексов от неровных зубок не испытывала, и где-то в 19 лет полезли 8-кииии!!! Вот тут-то ситуация изменилась еще в более худшую сторону, передние единички ушли вперед да и низ заплясал! Читать далее »

12.02.2013 - 13:56