нашла наконец пасту Splat =) купила ультракомплекс..будем пробовать 
я подрабатываю фотографом.. сегодня было две сьемки в студии 
одна из них -подружки,поэтому и меня капельку сняли) заметила что без улыбки не могу)
свыкаюсь потихоньку с улыбонькой железной..) преподователь по фортепиано сегодня при виде брекетов сказала " красиво, как камушки драгоценные,покажите еще раз"
воск закончился,не нашла ни в мед.технике,ни в аптеках(
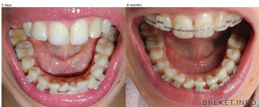
ну и фотоотчет)
Читать далее »