Дневники

Помогите советом новичку!

НЕ могу определиться какую систему ставить на ВЧ. Соответственно потом буду ставить на низ. Выбираю между Даймон кью и Даймон клеар.Сомнения в комфорте, Т. к. клеар намного больше кью не будут ли они сильно натирать? Уважаемые брекетоносцы у кого такие системы стоят посоветуйте пожалуйста.

12.01.2013 - 10:59

Если натерли брекеты...

Решил поделиться секретом, может его тут уже и упоминали... В общем никакого воска покупать за кучу денег не надо... берете церковную "восковую" свечу, отковыриваете кусочек воска, разогреваете в руке чтобы он стал мягким, выкатываете шарик, и аккуратненько на травмирующий брекет... не сваливается! Не пропускает острую часть на губу или щеку, безвкусный, ну эстетического эффекта правда мало... И если аллергия на продукты пчеловодства...тоже не надо.
А так у меня за сутки после постановки БС на НЧ все прошло, правда пришлось "красивым" походить...и ночь поспать. Читать далее »

12.01.2013 - 02:27
аватар: Mel
Mel
Бриллиант в платине

Я люблю её за то, что могу делать так!

Ну не могла не похвалиться! Глядите, у меня теперь две резинки на одной стороне! Тащим симметрию

2013-01-11_23.27.19.jpg
2013-01-11_23.21.09.jpg
2013-01-11_23.23.15.jpg
2013-01-11_23.33.46.jpg

И вконтакте выложила))

12.01.2013 - 01:25

SOS,очень болят губы...

Здравствуйте, подскажите пожалуйста чем можно помочь губам-от постоянной чистки зубов у меня губы уже распухли как у Джоли))), а серьезно -очень болят губы, особенно уголки, их уже не видно, по кроям огромные красные пятна с обеих сторон. Ничего не помогает, никакие помады и крема. Может какие то лекарста надо использовать? Заранее спасибо)))

11.01.2013 - 22:33

Приключения моих зубов

У меня история с брекитами началась 2 года назад. Пришла я к врачу по знакомству, сказали хороший. У меня была несложная ситуация, нужно было исправить прикус и на передней верхней челюсти у меня зуб на зуб наваливался. Ну мне поставили самолигирующиеся брекиты(точно не помню название, может ошибку допустила). И вот так я ходила год, в итоге у меня зуб на зуб перестал налазить, но зубы начали внутрь уходить и кривиться, я поняла, что что то не то, в итоге перешла к другому врачу. И вот уже как 8 месяцев лечусь у него. Вот посмотрите мой результат. У меня к сожалению нету начальных фоток(. Читать далее »

11.01.2013 - 22:17

непослушная дуга)

Добрый вечер всем!хочу спросить, была ли у кого такая ситуация: перед новым годом вылетела дуга с семёрки(он у меня последний зуб), вставила его на место, до недавнего времени всё нормально ходила, а сейчас только вставлю её, похожу чуть-чуть, она обратно вылетает. может это мои зубки подвинулись, и из-за этого она выскакивает постоянно. на приём к орту только 25. раньше ну вообще ни как. ничего страшного сильно не случится?

11.01.2013 - 21:07

Кому исправляли дистальный прикус тягами?

Кому тяги помогли при дистальном прикусе?

11.01.2013 - 20:50

Вот и мои кривульки скоро обзаведутся брекетами))

Начну с того,что я ооочень мечтала о брекетах. Не знаю почему многие люди так боятся ставить БС,стесняются,боятся боли при ношении. Читать далее »

11.01.2013 - 20:10

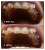
Ровно месяц с брекетами

Сегодня ровно 1 месяц я дружу со своими брекетами. Сегодня видимо с честь маленького юбилея болели единички, хотя весь месяц все было тихо, даже в первые дни ношения, только десна жутко чесались. Изменения небольшие, но есть. Честно говоря, от первого месяца ожидала бОльшего и по дискомфорту и по эффекту. Вредный клык не двигается, двойка немного подтянулась в ряд, но не разворачивается. Уж очень хочется видимых результатов. А пока немножко расстроилась. Фото:

picsart_1357644658072.jpg
Читать далее »

11.01.2013 - 20:03

Я в шоке!

Сходила на прием вчера и до сих пор в шоке.... брекеты ношу 7месяцев на ВЧ и 6 месяцев на НЧ, во рту еще полный кошмар, а орт хотела меня на снятие записать на след.неделю! я чуть с кресла не упала! еще даже дуги последние мне не одела, а говорит о снятии. когда же я заикнулась про последние дуги она сказала, что они уже и не нужны! да как же не нужны?! говорит: ну если хочешь давай сменим дуги.... ну что же она не видит, что единицы разной длины, что с одной стороны дырень, внизу забор?? а она о двойках говорит! сказала ей про единички,так она будто и не слышит меня. Читать далее »

11.01.2013 - 19:12