Дневники

Приём)

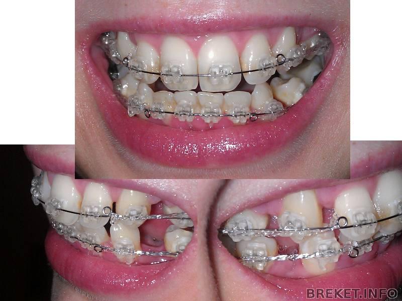
zuby_2.aps_.jpg
И так я с брекетами чуть больше 7 месяцев наверху и болше полугода внизу) Навязали мне сегодня резины и да здравствует больььь) Ортодонт сказал в 2013 думаю тебе уже снимут ))) Ещё думаю полечить зубы ... они когда были задвинуты я и не видела проблем... или же уже до снятия отложить... Вот коллаж)

14.12.2012 - 15:49

Мой год!

Значится так.

Отметила свою годовщину в Египте:

in_egypt.jpg
Читать далее »

14.12.2012 - 13:47

Зубки чешутся...

...после удаления восьмерки. Это нормально? И на ВЧ и на НЧ чешутся . Неужели ряд начал ехать? А БС еще не ставили...

14.12.2012 - 09:20

Достал этот налет!!!!

Ношу брекеты всего 20 дней!!! Но зубы свои не узнаю: сильно начал образовываться желтый налет, раньше никогда такого не было! Чищу зубы 3-4 раза в день, стараюсь тщательно это сделать, налета немного стало меньше, но все равно он есть! Что же будет с моими зубами дальше? Аж страшно становится! А как вы боретесь с налетом? Просто у некоторых посмотришь фотки: зубки такие чистенькие. Этого налета я и боялась до постановки брекетов, меня успокаивали, но все так и получилось!!!! ((((((

14.12.2012 - 02:12

Уже скучаю за ними...

Вчера, 12.12.12 сняли мои брекетушки и сделали реставрацию двух передних зубов. Результат, конечно есть, но не такой как хотелось бы, но если сравнивать с тем что было, то да, намного лучше, особенно отреставрированные зубики.
Так как я и предполагала многие и не заметили снятие, на работе - только те с которыми близко общаюсь. Да что там коллеги! Я поспорила с подружкой что мой МЧ тоже ничего не заметит, хотя он очень ждал когда уже снимут. Читать далее »

14.12.2012 - 00:27

Досрочный предновогодний прием

В выходные вдруг отклеился брекет - заметила лишь после чистки зубов. Но хотя бы заметила - в прошлый раз брекет исчез незаметно и бесследно. В остальном всё почти так же - продолжается постепенная работа над прикусом. А окружающие всё чаще спрашивают, сколько же мне ещё носить брекеты. Читать далее »

И снова здравствуйте)))

Друзья мои и новички брекетоношения, всем привет!
Ох, что-то полгода я не открывала этот любимый мною сайт.... У меня всё идёт по плану (в плане исправления зубов:)), НЧ уже стоит "закреплённая" 4 месяца, её не трогаем, просто держим результат. На ВЧ уже всё лавно ровно, сейчас последние 4 месяца занимаемся выравниванием центра!!! Мой золотой доктор В.В. всё так опупенско делает, а я ведь ужасно переживала, что центр будет невозможно уравнять. В ближайшие дни сфотографирую свои ротовые изменения и выложу вам.
Смотрю на старые фото - вот ведь уродство.... Беее. Читать далее »

13.12.2012 - 22:11

7 месяцев, поставили цепочку

Прошло 7 месяцев, поставили эластичную цепочку на ВЧ. После НГ на НЧ поставят. С ужасом жду, когда будут резинки(перекрестные по центру).

Скорее бы зубы ровные стали.

Игра!

в общем я пишу действие, следующий человек должен меня обломать и задать свое. пример:
-кусаю яблоко. -отвалился брекет. пошла к орту. -у него сегодня выходной.начала смотреть телевизор..... ну и так далее)начинаем.
Налила попить кофе.

13.12.2012 - 20:25

Спортивная каппа!

Задался вопросом преобретиян спортивной каппы , чтоб ходить на трени по боксу!
но тут же появилось еще больше вопросов где взять ? фирма? нужно ли ее будет как и обычное кипяточком ополостнуть?
нужны советы .....

13.12.2012 - 20:22